Locations:
Search IconSearch

News & Insight

Hospital Doctor  Talks To Male Patient
December 17, 2021/Orthopaedics/News & Insight

Orthopaedics Makes Widespread Changes to Advance Care Quality and Patient Safety

Cross-team efforts improve plan-of-care visits, update readmission strategies and increase compliance with Universal Protocol

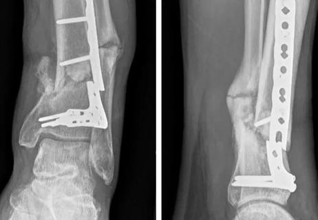
19-ORT-1067-Leg-Repair-Hero

Reconstructing Nonunions of the Distal Tibia

Approaching distal tibial nonunions

19-ORT-1189-Mesko-CQD-Hero
August 14, 2019/Cancer

Leaders in Orthopaedic Oncology Collaborate on National Tumor Registry to Improve Treatments

Cleveland Clinic is one of six hospitals nationwide leading the Musculoskeletal Tumor Registry initiative

Advertisement

Cleveland Clinic is a non-profit academic medical center. Advertising on our site helps support our mission. We do not endorse non-Cleveland Clinic products or services. Policy

16-ORT-1508-Tejpar-Hero-Image-650x450pxl

Orthobiologics Update: The Search for Reproducible Evidence Continues

Progress has been made, but there is still no categorical evidence of efficacy

16-DDI-227-Florida-CQD-650×450
April 11, 2019/Leadership

Bringing Specialty Care to New Communities with Improved Integration and Expanded Use of Telemedicine

Joseph Iannotti, MD, PhD, on scaling telemedicine and engaging caregivers in the growing Cleveland Clinic Florida region

18-ORT-1197-Higuera-Hero-Image-650x450pxl
September 4, 2018/Orthopaedics/News & Insight

A Potential Treatment for Periprosthetic Joint Infection after Total Joint Arthroplasty

Novel approach combines magnetic hyperthermia, amino acid gel to disrupt bacterial biofilm

17-ORT-1165-Mont-Hero-Image-650x450pxl

Cleveland Clinic Joint Preservation Center Now Up and Running

Organizing and overseeing joint preservation efforts

17-OR-1164-King-Hero-Image-650x450pxl

Orthobiologics and Orthobiologic Research: The Current State

Understanding applications, tracking outcomes and creating standards for use

17-ORT-1161-Saluan-650×450

Elevating Arthroscopy Skills

High-tech educational program scores well

BackPage 1 of 2Next

Advertisement

Ad