Locations:
Search IconSearch
April 20, 2017/Cancer

Study Examines Effectiveness and Accuracy of Prostate Cancer Prognostication

Could a new risk-stratification system improve decision-making?

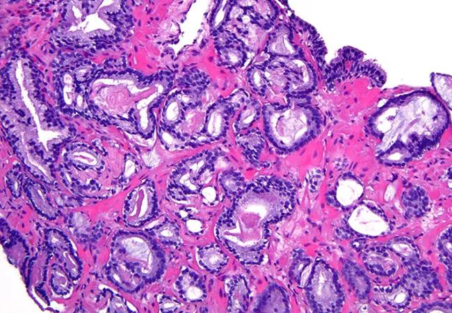
650×450-McKenney Prostate

It might be worth a second look at the pathology report for that man with a Gleason score 3+4=7 who just elected active surveillance. Then again, he may be preparing for radical prostatectomy despite having indolent disease that is unlikely to progress.

Advertisement

Cleveland Clinic is a non-profit academic medical center. Advertising on our site helps support our mission. We do not endorse non-Cleveland Clinic products or services. Policy

These apprehensions and second guesses regularly plague urologists and other providers—and for good reason. Men with Gleason scores of 3+4=7 (grade group 2) have increasingly become candidates for active surveillance, but the current grading system is inadequate to account for many structural variations of prostate cancer histology.

Gleason can under- and over-diagnose

A recent study in the American Journal of Surgical Pathology, led by Cleveland Clinic anatomic pathologist Jesse McKenney, MD, provides a detailed accounting of the various histological patterns in prostate cancer and matches them with prognostic clinical outcomes.

“This study shows several histological patterns where the current Gleason system misses patients with aggressive cancers,” says Dr. McKenney. “Simultaneously, we identified structures where patients had more indolent disease and were likely over-graded.”

The study included 1,275 patients from the Canary radical prostatectomy cohort. Dr. McKenney’s team put tissue samples from prostatectomy under the microscope in an unbiased environment to evaluate their architecture without prior knowledge of the patients’ pathology reports.

They classified the various architectures, placed them into the traditional Gleason scoring system, compared and ranked their relative prognostic predictive strengths, and then offered analysis of where the current system falls short.

Altogether, the study team evaluated the relative prognostic strength of 21 distinct histological architectures based on their ability to predict clinical outcomes. A detailed accounting of the patterns, including visuals, frequency and links to clinical outcomes appears in the published study.

Advertisement

Their results show that 25 percent of patients on active surveillance have architectural patterns in their tumors that could have potentially changed the overall Gleason score (i.e., Gleason score 3+3=6 vs. 3+4=7) depending on a pathologist’s individual diagnostic threshold.

Furthermore, among men who are rightly classified as having Gleason grade 4 disease, there are diverse variations predictive of clinical outcomes and disease aggressiveness.

Histology reclassified

Comparison of tumor histology to long-term clinical outcomes among men in the study cohort revealed three noteworthy and frequent patterns that could better inform treatment decisions:

  • Cribiform patterns, which signify more aggressive disease
  • Stromogenic carcinoma, which signifies more aggressive disease
  • Extravasated mucin, which signifies less aggressive disease

Study data suggest that focal poorly formed gland and cribriform patterns, currently classified as Gleason pattern 4, should be in separate prognostic groups, as the latter is associated with worse outcome.

Patterns with extravasated mucin are likely overgraded in a subset of cases with more complex epithelial bridges, whereas stromogenic cancers have a worse outcome than conveyed by Gleason grade alone.

A better risk-stratification system?

Ultimately, the goal is to create a histological risk-stratification system that pathologists can use to further personalize medicine that does not add additional healthcare costs and that can be applied worldwide in any setting regardless of available resources.

“My hope is that ultimately all of this information will be incorporated into grading system standards so that we can more accurately characterize the aggressiveness of prostate cancer and allow urologists to make more informed decisions,” Dr. McKenney says.

Advertisement

805x-Inset-McKenney Prostate

Example of mucinous fibroplasia in prostate cancer histology. A study by Jesse McKenney, MD, and collaborators places this subtype of disease along a broad spectrum that has not been previously addressed. Data from this study suggest that cancers with mucin rupture have a relatively low risk of recurrence after prostatectomy and may be a frequent source of cancer over-grading and over treatment.

Advertisement

Related Articles

Doctors working on MGUS screening study
March 18, 2024/Cancer/Research

Pilot Study Aims for Early Identification of Multiple Myeloma Precursor Among Black Patients

First-of-its-kind research investigates the viability of standard screening to reduce the burden of late-stage cancer diagnoses

Hematologist at Cleveland Clinic
March 14, 2024/Cancer/Blood Cancers

Advances in Mantle Cell Lymphoma Treatment (Podcast)

Global R&D efforts expanding first-line and relapse therapy options for patients

Physician with patient
March 6, 2024/Cancer/Research

Targeting Uncontrolled Erythrocytosis in Polycythemia Vera with Rusfertide

Study demonstrates ability to reduce patients’ reliance on phlebotomies to stabilize hematocrit levels

Dr. Jagadeesh at Cleveland Clinic
February 28, 2024/Cancer/Blood Cancers

Treating Patient with Systemic T-Cell Lymphoma and Graft-Versus-Host Disease

A case study on the value of access to novel therapies through clinical trials

Doctor measuring patient's waist size
February 26, 2024/Cancer/Research

Impact of Obesity on GVHD & Transplant Outcomes in Hematologic Malignancies

Findings highlight an association between obesity and an increased incidence of moderate-severe disease

Physician with patient
February 21, 2024/Cancer/Research

Strategies for Improving Clinical Trial Equity

Cleveland Clinic Cancer Institute takes multi-faceted approach to increasing clinical trial access 23456

How antibody drug conjugates work
February 13, 2024/Cancer/Research

Real-World Use of Trastuzumab Deruxtecan

Key learnings from DESTINY trials

CQD-4445459-rotz-650×450
February 7, 2024/Cancer

Advances in Bone Marrow Transplant Have Improved Outcomes in Fanconi Anemia

Overall survival in patients treated since 2008 is nearly 20% higher than in earlier patients

Ad