Locations:
Search IconSearch
July 13, 2016/Cancer

Should Radiation Therapy Be Avoided in Choroid Plexus Carcinoma Patients with Li-Fraumeni Syndrome?

Recent meta-analysis suggests a survival disadvantage

15-NEU-2532-Tekautz-650×450

By Tanya Tekautz, MD; Michal Bahar, MD; and Johannes Wolff, MD

Advertisement

Cleveland Clinic is a non-profit academic medical center. Advertising on our site helps support our mission. We do not endorse non-Cleveland Clinic products or services. Policy

The rare, highly invasive pediatric brain tumors known as choroid plexus carcinomas (CPCs; Figure 1) are often associated with Li-Fraumeni syndrome (LFS). This hereditary disorder, usually characterized by an underlying germline mutation of the TP53 tumor suppressor gene, predisposes carriers to sarcomas and malignancies of the brain, breast and adrenal glands.

CPC cases, which primarily involve infants and children younger than 2 years of age, account for less than 5 percent of all brain tumors. Their scarcity has precluded randomized trials, requiring that treatment guidance for patients with CPC be derived from a limited record of case studies, small series reports and expert opinion.

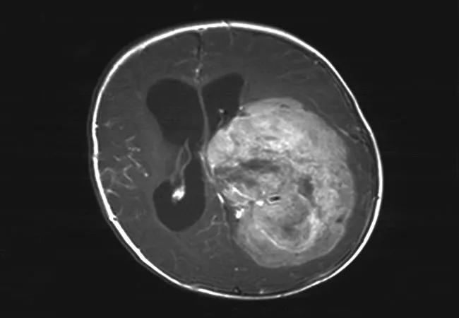
15-NEU-2532-Tekautz-inset

Figure 1. T1-weighted MRI with contrast showing a choroid plexus carcinoma.

Radiation therapy: Often recommended, but tradeoffs unknown

Surgical resection of the tumor to the maximal extent possible is generally considered preferred initial treatment, followed by adjuvant therapy, although the role and benefits of chemotherapy and radiation therapy are not well-defined. Radiation therapy improves survival in many patients with high-grade embryonal brain tumors and is often recommended for patients with CPC. However, the significant, irreversible and progressive neurocognitive deficits and growth impairment that radiation causes, especially in very young children, make its use controversial.

Previous research has demonstrated the crucial role of TP53 in cell cycle control, genomic stability and response to DNA damage, such as from ionizing radiation. Mutation of TP53, as occurs in LFS, not only abrogates the P53 protein’s normal tumor suppressive function but also may disrupt cellular regulatory networks, thus enabling tumor cells to avoid genotoxic signals such as from gamma radiation, circumventing senescence and programmed cell death.

Advertisement

Testing the radioresistance hypothesis

In light of that research, we hypothesized that LFS patients who harbor the TP53 mutation will have primary radioresistance, with resulting implications for treatment and survival.

Supportive evidence comes from research by Boyle and colleagues demonstrating that eight TP53 mutation-carrying fibroblast strains from seven LFS donors showed increased cellular resistance to ionizing radiation, although at varying levels. Also, Tabori and colleagues reported a 22 percent five-year overall survival rate among nine CPC patients with LFS and TP53 germline mutations, compared with 100 percent five-year overall survival for 11 non-LFS CPC patients with TP53 wild-type tumors — a difference presumably due to heightened chemo- and radiation therapy resistance in the TP53-mutant strains.

We conducted a literature analysis to test our supposition that radiation therapy should be avoided in CPC patients with LFS, using a database of 11 research articles chronicling the treatment outcomes of 28 CPC patients with LFS. We compared overall survival among patients treated with radiation therapy, chemotherapy or surgery alone. The results of our meta-analysis were recently published in Anticancer Research.

Our findings by the numbers

Among the 28-patient cohort, 24 patients had germline TP53 mutations, two had phenotypic characteristics of LFS (one without TP53 mutation, the other untested), and two had positive p53 staining but no TP53 mutations. Median age at diagnosis was 12 months. All patients underwent surgical resection, with gross total resection of the primary tumor achieved in 15 cases, partial resection in one case and unknown results in 10 cases.

Advertisement

Twenty-seven patients received chemotherapy treatment at diagnosis, using a variety of regimens.

Eleven patients received radiation therapy, including five who were treated after tumor recurrence. Of those 11, six died from disease recurrence or progression and three from secondary malignancies. Two radiation recipients were alive and disease-free at the study’s completion.

Seventeen patients did not receive radiation therapy. One of those developed a secondary malignancy, seven died of cancer progression and nine remained alive at the study’s completion.

Concerns around survival and tumor progression

Analysis showed a marginally significant (P = .056) two-year overall survival advantage for patients who did not receive radiation compared with those who did (0.58 ± 0.12 percent vs. 0.18 ± 0.1 percent, respectively).

It is possible that cancer deaths among patients who underwent deferred radiation therapy may actually reflect instances where radioresistance developed at relapse, rather than representing primary radiation therapy failure. Therefore, we reanalyzed our data by excluding the five patients who received treatment at recurrence.

Our results continued to show a survival advantage for the patients not undergoing radiation therapy, although at a level that did not reach statistical significance (P = .3), likely due to the small sample size.

The heightened rate of tumor progression or relapse after radiation therapy apparent from our analysis is worrisome. The above-cited research by Boyle and colleagues suggests a mechanism of action: Doses of gamma radiation below the level required for universal cellular lethality may induce selective survival of tumor cells with additional genetic aberrations, accelerating tumor growth potential. Also, cells from LFS patients with or without TP53 mutation have been shown to have a reduced capacity to repair or eliminate chromosomal damage of the sort caused by ionizing radiation, which may contribute to these patients’ cancer predisposition.

Advertisement

Admittedly, a retrospective literature review such as ours has limitations imposed by the publication bias of the case reports and series upon which it is based. However, a prospective randomized clinical study also would have inherent reliability limits due to the rarity of CPC cases and the resultant small sample size. Our meta-analysis provides the best possible evidence to date regarding radiation therapy outcomes in CPC patients with LFS.

Bottom line: Avoiding radiation is recommended

In summary:

  • LFS-derived cells are radioresistant.
  • There is an apparent survival disadvantage with the use of radiation therapy for LFS patients with CPC.
  • There is an increased risk of secondary malignancies associated with radiation therapy in patients with both LFS and CPC.
  • Radiation therapy causes detrimental pediatric neurological effects.
  • Long-term survival in LFS patients with CPC is possible without radiation therapy.

In light of the foregoing considerations, we propose that radiation therapy should be avoided in all LFS patients with CPC (i.e., those with TP53 mutations). These patients should be classified separately and treated with radiation-sparing protocols.

At a meeting organized by Cleveland Clinic Children’s in conjunction with the 2014 International Society of Paediatric Oncology Annual Congress in Toronto, an international group of pediatric oncologists concurred with this proposal, deciding to no longer recommend radiation as first-line treatment for CPC with LFS. Testing for TP53 mutations and assessing family histories are vital in the management of newly diagnosed CPC patients.

Advertisement

Dr. Tekautz is a pediatric and young adult neuro-oncologist in Cleveland Clinic Children’s Department of Pediatric Hematology, Oncology and Blood and Marrow Transplantation. Dr. Bahar is a fellow in the department, and Dr. Wolff is formerly its chairman.

Related Articles

Doctors working on MGUS screening study
March 18, 2024/Cancer/Research

Pilot Study Aims for Early Identification of Multiple Myeloma Precursor Among Black Patients

First-of-its-kind research investigates the viability of standard screening to reduce the burden of late-stage cancer diagnoses

Hematologist at Cleveland Clinic
March 14, 2024/Cancer/Blood Cancers

Advances in Mantle Cell Lymphoma Treatment (Podcast)

Global R&D efforts expanding first-line and relapse therapy options for patients

Physician with patient
March 6, 2024/Cancer/Research

Targeting Uncontrolled Erythrocytosis in Polycythemia Vera with Rusfertide

Study demonstrates ability to reduce patients’ reliance on phlebotomies to stabilize hematocrit levels

Dr. Jagadeesh at Cleveland Clinic
February 28, 2024/Cancer/Blood Cancers

Treating Patient with Systemic T-Cell Lymphoma and Graft-Versus-Host Disease

A case study on the value of access to novel therapies through clinical trials

Doctor measuring patient's waist size
February 26, 2024/Cancer/Research

Impact of Obesity on GVHD & Transplant Outcomes in Hematologic Malignancies

Findings highlight an association between obesity and an increased incidence of moderate-severe disease

Physician with patient
February 21, 2024/Cancer/Research

Strategies for Improving Clinical Trial Equity

Cleveland Clinic Cancer Institute takes multi-faceted approach to increasing clinical trial access 23456

How antibody drug conjugates work
February 13, 2024/Cancer/Research

Real-World Use of Trastuzumab Deruxtecan

Key learnings from DESTINY trials

CQD-4445459-rotz-650×450
February 7, 2024/Cancer

Advances in Bone Marrow Transplant Have Improved Outcomes in Fanconi Anemia

Overall survival in patients treated since 2008 is nearly 20% higher than in earlier patients

Ad