Locations:
Search IconSearch
February 23, 2016/Cancer

Radiation Heart Disease: A Few Learnings on a Diverse, Daunting Entity

Only commonality is a need for individualized, expert care

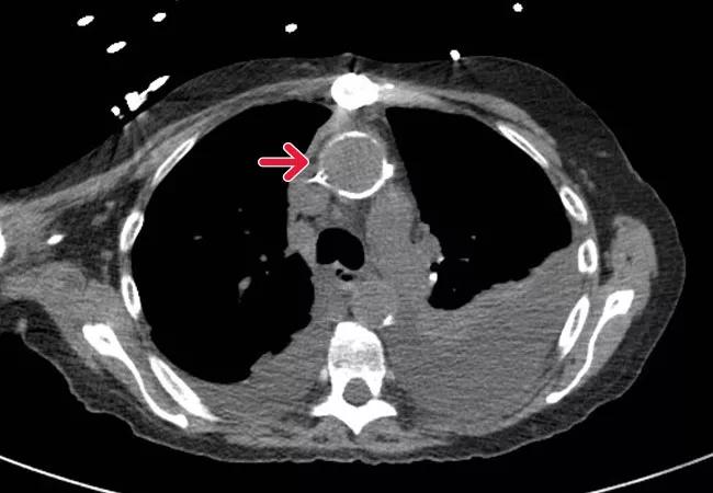
A noncontrast CT of the ascending aorta

The overlap between cancer and heart disease in recent years has been a mix of bad and good news. On one hand, cancer diagnoses are on the rise. On the other hand, improved cancer therapies are resulting in the largest cohort of cancer survivors we’ve ever seen. At the same time, those survivors often face a secondary battle 15 to 25 years later in the form of radiation-associated heart disease.

Advertisement

Cleveland Clinic is a non-profit academic medical center. Advertising on our site helps support our mission. We do not endorse non-Cleveland Clinic products or services. Policy

The heart as collateral damage

“Radiation therapy for some forms of cancer involves a large dose of radiation to the chest,” says Milind Desai, MD, Director of Cardiovascular Imaging Research at Cleveland Clinic. “The heart can suffer collateral damage as a result.”

Although improved radiation therapy techniques enable reduced dosage and volume of radiation exposure, radiation-treated cancer survivors remain at increased risk of cardiovascular diseases. These patients are increasingly presenting with complicated cases of coronary artery disease, valve disease, cardiomyopathy and lung fibrosis. “There is not one unique entity,” Dr. Desai says. “It can cover the spectrum of cardiovascular disease.”

The one thing most cases have in common is that they require individualized care at an experienced multidisciplinary center of excellence, he adds.

Close follow-up is imperative

While it’s important for patients to make their cardiovascular providers aware of past radiation treatments, it’s just as important for providers to adopt a multidisciplinary approach that begins with close clinical follow-up of cancer survivors. Dr. Desai recommends a management strategy that involves multiple screening modalities, including echocardiography to look for peculiar patterns, ischemic evaluation, pulmonary function tests and pulmonary evaluation.

A noncontrast CT of the ascending aorta

A noncontrast CT of the ascending aorta (porecelain aorta) in a 58-year-old woman with a history of radiation-associated heart disease.

“Because everybody is different and the extent of radiation therapy varies among patients, it’s important to understand the full spectrum,” he says. “These patients do not just have a coronary artery problem or a valve problem or a lung problem. A given individual may have everything wrong, or everything wrong in moderation.”

Advertisement

Guideposts for identification

The key to identifying true radiation-associated heart disease, says Dr. Desai, is later injury — whether constrictive pericarditis, coronary artery disease, valvular disease or conduction abnormalities. He adds that the prevalence of radiation-associated heart disease is difficult to ascertain, due in part to its considerable latency, although it appears to be increasing.

Risk factors for radiation-associated heart disease include:

  • Total radiation dose > 20-35 Gy
  • Doses > 2 Gy/day
  • Increased volume of heart irradiated
  • Younger age
  • Time since exposure
  • Concomitant cardiotoxic chemotherapy
  • Other cardiovascular risk factors (diabetes mellitus, smoking)
  • Radiation source (cobalt)

Management: Surgery often needed, but more risky

“A lot of these patients will end up needing heart surgery because of the damage to their heart,” Dr. Desai says, but he notes that their surgical outcomes are typically worse than for other heart surgery patients.

Consider an observational study he and his colleagues published in Circulation a few years ago. It demonstrated that patients undergoing cardiothoracic surgery at Cleveland Clinic over a three-year period had a 2.5-fold elevated mortality risk if they had a history of malignancy requiring chest irradiation compared with matched controls who underwent the same surgery but did not have a history of malignancy or chest irradiation. Most of the patients with the cancer history had had either breast cancer (53 percent) or Hodgkin lymphoma (27 percent).

In light of outcomes like these, Dr. Desai recommends judicious use of surgical intervention in cases of radiation-associated heart disease. Alternative treatment approaches, including transcatheter aortic valve replacement or other percutaneous interventions, may be more appropriate after identifying risk. That argues all the more, he notes, for management at a versatile center of excellence with broad diagnostic and therapeutic offerings and a deep experience base.

Advertisement

Related Articles

Doctors working on MGUS screening study
March 18, 2024/Cancer/Research

Pilot Study Aims for Early Identification of Multiple Myeloma Precursor Among Black Patients

First-of-its-kind research investigates the viability of standard screening to reduce the burden of late-stage cancer diagnoses

Hematologist at Cleveland Clinic
March 14, 2024/Cancer/Blood Cancers

Advances in Mantle Cell Lymphoma Treatment (Podcast)

Global R&D efforts expanding first-line and relapse therapy options for patients

Physician with patient
March 6, 2024/Cancer/Research

Targeting Uncontrolled Erythrocytosis in Polycythemia Vera with Rusfertide

Study demonstrates ability to reduce patients’ reliance on phlebotomies to stabilize hematocrit levels

Dr. Jagadeesh at Cleveland Clinic
February 28, 2024/Cancer/Blood Cancers

Treating Patient with Systemic T-Cell Lymphoma and Graft-Versus-Host Disease

A case study on the value of access to novel therapies through clinical trials

Doctor measuring patient's waist size
February 26, 2024/Cancer/Research

Impact of Obesity on GVHD & Transplant Outcomes in Hematologic Malignancies

Findings highlight an association between obesity and an increased incidence of moderate-severe disease

Physician with patient
February 21, 2024/Cancer/Research

Strategies for Improving Clinical Trial Equity

Cleveland Clinic Cancer Institute takes multi-faceted approach to increasing clinical trial access 23456

How antibody drug conjugates work
February 13, 2024/Cancer/Research

Real-World Use of Trastuzumab Deruxtecan

Key learnings from DESTINY trials

CQD-4445459-rotz-650×450
February 7, 2024/Cancer

Advances in Bone Marrow Transplant Have Improved Outcomes in Fanconi Anemia

Overall survival in patients treated since 2008 is nearly 20% higher than in earlier patients

Ad