Locations:
Search IconSearch
June 29, 2015/Cancer

Preserving Kidney Function in Renal Cell Carcinoma

TKI therapy can shrink tumor, make partial nephrectomy feasible

15-URL-1133 Research Notes Images w Badge_690x380pxl3

By Steven C. Campbell, MD, PhD; Brian I. Rini, MD; Zhiling Zhang, MD; and Juping Zhao, MD

Advertisement

Cleveland Clinic is a non-profit academic medical center. Advertising on our site helps support our mission. We do not endorse non-Cleveland Clinic products or services. Policy

15-URL-1133-Campbell_590pxl-width_Inset

Steven C. Campbell, MD

Rini_Brian

Brian I. Rini, MD

Some patients with renal cell carcinoma (RCC) present extraordinary treatment challenges because of unfavorable tumor size and location that places their remaining parenchymal mass in jeopardy during tumor excision.

In these patients, many of whom have extensive hilar tumor within a solitary kidney, partial nephrectomy (PN) may not be feasible, leaving the patient between a rock and a hard place: either accepting radical nephrectomy (RN) with the need for renal replacement therapy, or proceeding with substantial oncologic risk if the tumor is left in situ.

In other patients with preexisting chronic kidney disease (CKD) and challenging tumor size and location, PN may be feasible but the amount of parenchymal mass and function that would be lost with the surgery would be unacceptable, placing the patient at increased risk for adverse outcomes (See Figure). A recent analysis showed that new baseline glomerular filtration rate (GFR) after renal cancer surgery is a strong predictor of renal stability and long-term survival, particularly for patients with preexisting CKD.

We previously reported that sunitinib, a tyrosine kinase inhibitor (TKI), yielded encouraging responses in patients with unresectable locally advanced clear cell RCC. In this population (n = 22), partial responses (> 30 percent reduction in diameter) were seen in 33 percent of patients, and 59 percent were subsequently able to undergo surgical resection. Similar responses were not seen in patients with non-clear cell RCC.

Advertisement

Can TKI enable partial nephrectomy?

Based on this experience, we prospectively studied the role of pazopanib — another TKI with proven efficacy — in patients with localized clear cell RCC for whom preservation of renal function was essential. Our primary goal was to determine if neoadjuvant TKI could enable PN when it was otherwise impossible, and to optimize the amount of parenchyma that could be saved with the procedure. A secondary endpoint was surgical safety, given that such TKIs can affect wound healing and vascular integrity through their effect on the vascular endothelial growth factor axis.

A total of 25 patients were enrolled: 20 from our center and 5 from collaborators at Fox Chase Cancer Center. On enrollment, median tumor size was 7.3 cm. About 65 percent of patients had preexisting CKD or a solitary kidney, and many had both. Eighty percent of patients had RENAL scores of 10-12, consistent with high-complexity tumors. In 13 patients (52 percent) PN was not feasible prior to TKI based on surgeon assessment. Pazopanib dose was 800 mg per day, with adjustment if necessary, and median duration of therapy was eight weeks.

We assessed efficacy of TKI therapy in a variety of ways. Overall, median tumor size was reduced by 25 percent, and median tumor volume was reduced by 46 percent. Median RENAL score was reduced from 11 to 9, and RENAL complexity (high vs. intermediate) was reduced in 10 tumors. Most impressively, for the 13 patients for whom PN was not possible upfront, downsizing by TKI enabled PN in six (46 percent) thereby precluding the need for dialysis.

Advertisement

Benefits in select patients

Overall, the mean parenchymal volume that could be saved with PN increased from about 100 cc to 175 cc, and functional preservation paralleled this, representing another significant gain with this approach. As the tumor pulled away from the hilum, substantially more parenchyma, and thus function, could be saved during tumor excision and reconstruction (See Figure). Urine leaks were diagnosed in five patients after PN and seven received perioperative blood transfusion, although only one required angioembolization.

Complications thus increased above baseline for most PN series, likely reflecting the challenging patient population, although suboptimal healing related to TKI may also have contributed. Nevertheless, almost all surgical complications were managed conservatively and we achieved good outcomes in all instances.

Our experience suggests that neoadjuvant TKI may provide a benefit in a select subgroup of patients with localized RCC for whom preservation of renal function is vital, and that it may enable PN in some patients who would otherwise require RN.

Dr. Campbell is Vice Chair of Cleveland Clinic Glickman Urological & Kidney Institute’s Department of Urology, Director of the Urology Residency Program, Associate Director of Graduate Medical Education and Professor of Surgery at Cleveland Clinic Lerner College of Medicine. He holds the Eric A. Klein Endowed Chair in Urology, Oncology and Education.

Dr. Rini is a member of Cleveland Clinic’s Department of Hematology and Medical Oncology and a Professor of Medicine at Cleveland Clinic Lerner College of Medicine.

Advertisement

Drs. Zhang and Zhao are research fellows at the Glickman Urological & Kidney Institute.

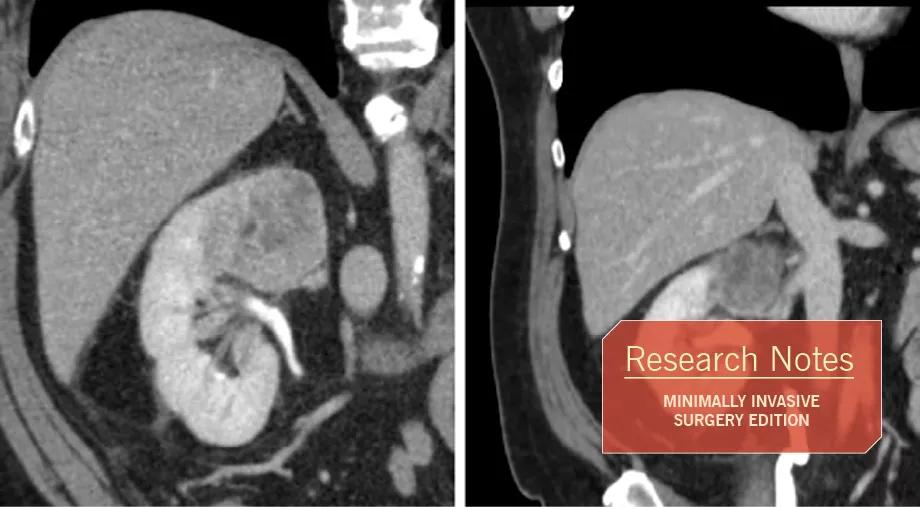
15-URL-1133 Research Notes Images_Insets_590pxl width3

Figure. A 61-year-old with a solitary right kidney presented with a 5.4 cm mass within the upper pole and extending near the hilum. The RENAL score was 10 and the tumor did not appear to be well encapsulated. The GFR was 38 ml/min/1.73m2. While PN was possible, it would not save optimal amounts of parenchyma and function. After eight weeks of pazopanib, the tumor was downsized to 3.8 cm with a RENAL score of 8, and the tumor pulled away from the hilum. The tumor also appeared well- encapsulated and demonstrated extensive necrosis. PN was performed with cold ischemia time of 38 minutes. Recovery was uneventful. Eighty-two percent of the parenchyma was preserved and the final GFR was 34 ml/min/1.73m2.

Advertisement

Related Articles

Doctors working on MGUS screening study
March 18, 2024/Cancer/Research

Pilot Study Aims for Early Identification of Multiple Myeloma Precursor Among Black Patients

First-of-its-kind research investigates the viability of standard screening to reduce the burden of late-stage cancer diagnoses

Hematologist at Cleveland Clinic
March 14, 2024/Cancer/Blood Cancers

Advances in Mantle Cell Lymphoma Treatment (Podcast)

Global R&D efforts expanding first-line and relapse therapy options for patients

Physician with patient
March 6, 2024/Cancer/Research

Targeting Uncontrolled Erythrocytosis in Polycythemia Vera with Rusfertide

Study demonstrates ability to reduce patients’ reliance on phlebotomies to stabilize hematocrit levels

Dr. Jagadeesh at Cleveland Clinic
February 28, 2024/Cancer/Blood Cancers

Treating Patient with Systemic T-Cell Lymphoma and Graft-Versus-Host Disease

A case study on the value of access to novel therapies through clinical trials

Doctor measuring patient's waist size
February 26, 2024/Cancer/Research

Impact of Obesity on GVHD & Transplant Outcomes in Hematologic Malignancies

Findings highlight an association between obesity and an increased incidence of moderate-severe disease

Physician with patient
February 21, 2024/Cancer/Research

Strategies for Improving Clinical Trial Equity

Cleveland Clinic Cancer Institute takes multi-faceted approach to increasing clinical trial access 23456

How antibody drug conjugates work
February 13, 2024/Cancer/Research

Real-World Use of Trastuzumab Deruxtecan

Key learnings from DESTINY trials

CQD-4445459-rotz-650×450
February 7, 2024/Cancer

Advances in Bone Marrow Transplant Have Improved Outcomes in Fanconi Anemia

Overall survival in patients treated since 2008 is nearly 20% higher than in earlier patients

Ad