Locations:
Search IconSearch
July 14, 2021/Cancer/Research

POEMS: Rare, Often Misdiagnosed and Disabling if Not Properly Treated

Early recognition is key to effective management

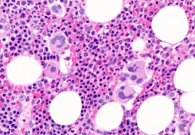
Megakaryocytic hyperplasia and clustering reminiscent of myeloproliferative neoplasms can be seen in the bone marrow trephines of POEMS patients (H&E, 400x).

POEMS (i.e., polyneuropathy, organomegaly, endocrinopathy, monoclonal gammopathy and skin changes) is a rare and disabling plasma cell disorder that is commonly misdiagnosed as chronic inflammatory demyelinating polyneuropathy (CIDP). Treatment of the two pathologies differs, so early recognition is key.

Advertisement

Cleveland Clinic is a non-profit academic medical center. Advertising on our site helps support our mission. We do not endorse non-Cleveland Clinic products or services. Policy

Also called osteosclerotic myeloma, Crow-Fukase syndrome or Takatsuki syndrome, POEMS is characterized primarily by peripheral neuropathy and the presence of a monoclonal protein, sclerotic bone lesions, elevated vascular endothelial growth factor and Castleman disease. Other signs and symptoms include extravascular volume overload, organomegaly, endocrinopathy, vascular skin changes, papilledema, polycythemia and thrombocytosis.

The condition is thought to arise from a cytokine imbalance precipitated by an excessive production of multiple proinflammatory and angiogenic cytokines, with concurrent suppression of anti-inflammatory cytokines.

According to one Japanese study, the prevalence of POEMS is about 0.3 per 100,000 population.

“Many clinicians — even specialists — are unfamiliar with POEMS because it’s so rare. However, there are many signs and symptoms that must be considered when arriving at a proper diagnosis,” says Cleveland Clinic hematologist/oncologist Jack Khouri, MD, who specializes in rare plasma cell disorders within the Rare Cancers and Blood Diseases program.

Dr. Khouri was the lead author of a review of the syndrome, published recently in JAMA Oncology.

Diagnosis necessitates monoclonal plasma workup

Patients with POEMS typically present with longstanding and progressively worsening peripheral neuropathy that is length-dependent and demyelinating. While the syndrome is similar to the more common CIDP, there are several important differences. Axonal degeneration, neuropathic pain and lower-limb atrophy are more prominent in POEMS than in CIDP, while cranial nerve involvement and dysautonomia are far less common in patients with POEMS.

Advertisement

“When you encounter a patient with peripheral neuropathy that seems a little unusual or dissimilar to what you usually see, a workup for monoclonal plasma cell disorders is strongly advised,” Dr. Khouri says, adding that the diagnosis is typically made by hematologists and neurologists working in tandem.

The workup includes neurophysiologic studies, paraprotein testing, radiography, fundoscopy and an endocrine and cardiopulmonary evaluation. Electromyography and nerve conduction studies are required to characterize the neuropathy.

Autologous hematopoietic cell transplant offers best chance for recovery

The treatment of POEMS is aimed at eradicating the culprit plasma cell clone, much as in cases of multiple myeloma. High-dose melphalan followed by autologous hematopoietic cell transplant (HCT) offers the best long-term outcomes for eligible patients. “Patients need to be able to tolerate the treatment. If they can, HCT done early in the disease course provides the highest chance for remission,” Dr. Khouri says.

In the largest series to date, of 59 patients with POEMS who underwent HCT, more than 90% responded to treatment, and 5-year progression-free survival was 75%. In Dr. Khouri’s experience, patients who undergo HCT typically experience 5 to 10 years of remission and continued improvement in symptoms without the need for medications.

Plasma cell-directed therapy is implemented for patients who cannot tolerate HCT. This includes immunomodulatory drugs such as lenalidomide, proteasome inhibitors such as bortezomib, dexamethasone and cyclophosphamide in different combinations. Radiation therapy can also be used in select cases. The anti-CD38 monoclonal antibody daratumumab is currently under study.

Advertisement

In studies, a combination of lenalidomide and dexamethasone typically produces rapid relief, with 75% to 90% of patients symptom-free by 3 years. Relief from the neuropathy and associated skin, eye, liver and endocrine problems can begin as quickly as 2 months, but the neuropathy can take much longer to resolve completely. “We tell patients not to be discouraged. Nerves need time to regenerate,” Dr. Khouri points out. In particular, muscle strength and gait typically improve steadily, while foot drop can take longer to resolve.

Reduced serologic markers and clinical improvements indicate when treatment can be stopped, but patients need to be carefully monitored for signs of relapse. Since POEMS is such a heterogenous condition, every patient’s clinical course varies. But, Dr. Khouri emphasizes, “People really do get better…as long as they have the right diagnosis.”

Advertisement

Related Articles

Doctors working on MGUS screening study
March 18, 2024/Cancer/Research
Pilot Study Aims for Early Identification of Multiple Myeloma Precursor Among Black Patients

First-of-its-kind research investigates the viability of standard screening to reduce the burden of late-stage cancer diagnoses

Physician with patient
March 6, 2024/Cancer/Research
Targeting Uncontrolled Erythrocytosis in Polycythemia Vera with Rusfertide

Study demonstrates ability to reduce patients’ reliance on phlebotomies to stabilize hematocrit levels

Doctor measuring patient's waist size
February 26, 2024/Cancer/Research
Impact of Obesity on GVHD & Transplant Outcomes in Hematologic Malignancies

Findings highlight an association between obesity and an increased incidence of moderate-severe disease

Physician with patient
February 21, 2024/Cancer/Research
Strategies for Improving Clinical Trial Equity

Cleveland Clinic Cancer Institute takes multi-faceted approach to increasing clinical trial access 23456

How antibody drug conjugates work
February 13, 2024/Cancer/Research
Real-World Use of Trastuzumab Deruxtecan

Key learnings from DESTINY trials

24-CNR-4545611-CQD-Podcast-967×544
February 1, 2024/Cancer/Research
Possibilities of CRISPR Technology (Podcast)

Gene editing technology offers promise for treating multiple myeloma and other hematologic malignancies, as well as solid tumors

Disparities in multiple myeloma
January 25, 2024/Cancer/Research
Major Study Identifies Global Disparities in Drug Toxicity for Multiple Myeloma Treatment

Study of 401,576 patients reveals differences in cancer burdens as well as overall survival

Dr. Shilpa Gupta
December 27, 2023/Cancer/Research
A New Standard Emerges in Advanced Urothelial Carcinoma After Decades of First-Line Chemotherapy

Enfortumab plus pembrolizumab reduced risk of death by 53% compared with platinum-based chemotherapy

Ad