Locations:
Search IconSearch
December 5, 2016/Cancer

Pioneering Staged Gamma Knife Therapy for Large Brain Metastases

Two smaller sequential doses may be better than one

16-neu-2600-angelov-650×450

A novel two-stage approach to Gamma Knife® stereotactic radiosurgery is showing improved outcomes for treating large brain metastases, and Cleveland Clinic has become the first center outside Japan to embrace it. By allowing for delivery of an overall higher dose of radiation with minimal toxicity, the strategy represents a potential new standard of care for large brain metastases.

Advertisement

Cleveland Clinic is a non-profit academic medical center. Advertising on our site helps support our mission. We do not endorse non-Cleveland Clinic products or services. Policy

The challenge of large tumors

Brain metastases arise in some 20 to 40 percent of patients diagnosed with systemic cancer, and that proportion is likely to rise with earlier detection and personalized targeted therapies that lengthen survival for increasing numbers of oncology patients.

Meanwhile, in recent years Gamma Knife radiosurgery has gained favor as monotherapy for brain metastases. It is minimally invasive, is performed on an outpatient basis, results in little or no disruption of systemic treatment for the patient’s primary cancer, and is often highly effective in controlling brain tumors while avoiding the toxicity of whole-brain radiation therapy.

However, standard Gamma Knife radiosurgery has been less successful for brain metastases larger than 2 cm, with local control rates of just 37 to 62 percent reported in the literature.

“The question is how to get a large dose to a large tumor so patients don’t fail therapy,” explains Cleveland Clinic neurosurgeon Lilyana Angelov, MD. “These cases are exceptionally daunting to take on because the outcomes are quite poor compared with smaller tumors.”

Two medium-high doses a month apart

In recent years, Dr. Angelov and colleagues in Cleveland Clinic’s Rose Ella Burkhardt Brain Tumor and Neuro-Oncology Center have become the first team outside Japan to use a novel approach that could dramatically improve the odds of a good outcome.

Instead of a single radiation dose limited by the toxicity resulting from treating these large tumors, Gamma Knife therapy for large tumors is now delivered in medium-high doses over two stages about a month apart.

Advertisement

“This allows us, in most cases, to spare the patient the risks of open surgery and the toxicity of whole-brain radiation therapy,” Dr. Angelov explains. “It’s a game changer.”

Encouraging numbers to date

Indeed, among Cleveland Clinic’s first 54 patients — with a total of 63 brain metastases 2 cm or larger — the local control rate at six months has been 88 percent. That compares with a prior local control rate of 49 percent for similar-sized brain metastases treated with single-stage Gamma Knife therapy at Cleveland Clinic.

The median time between treatments in these 54 patients was approximately one month. In many cases, the tumor decreased in size markedly enough so that the second stage of treatment was able to deliver a lower radiation dose to regions adjacent to the tumor, thus better protecting the surrounding normal brain tissue.

There were only seven instances of adverse radiation effects, such as headaches and seizures, in these initial 54 patients. Radiation effects that did occur were mostly mild and transient. “Because we’re dividing the dose, the treatment is better tolerated,” Dr. Angelov notes.

Since that analysis, which has been submitted for journal publication, her team has used the staged approach for about 150 additional cases, with continued positive outcomes.

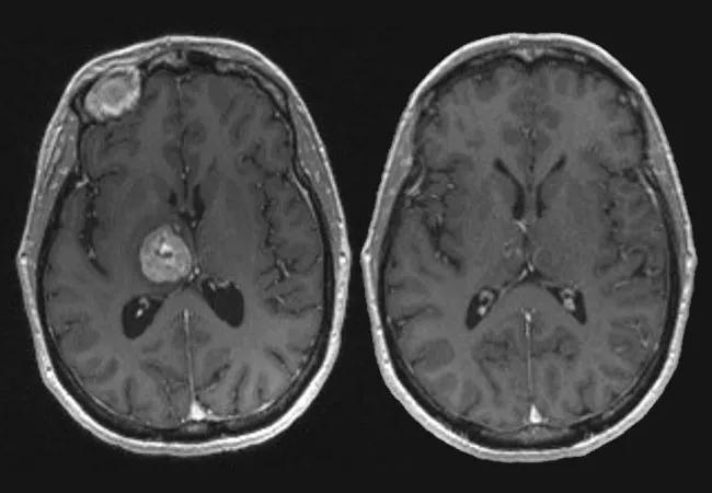
16-neu-2600-angelov-inset

MRIs from a patient who underwent staged Gamma Knife therapy. Top images are before the first session (left) and immediately before the second session (right). Bottom images are from six months (left) and four years (right) after the second session, where significant reduction in the size of the metastases can be seen.

Advertisement

Patient selection considerations

Not every patient with a large brain metastasis is eligible. For example, those whose tumor is causing neurological dysfunction, such as cognitive problems or paralysis, need immediate surgery.

Moreover, patients who don’t live nearby may find it difficult to come back for two treatments, though Dr. Angelov says most patients are comfortable doing so.

“I tell patients this is essentially a boost,” she continues. “You kick the tumor when it’s down by giving another dose. It’s not a difficult concept for patients.”

New standard of care?

Dr. Angelov expects that, once published, her team’s first report will be “the reference paper on this topic” but that a prospective multicenter study will be needed to make the findings definitive.

Ultimately, she expects the approach to become the standard of care across the country for large brain metastases: “I see it as a primary modality for treating these patients in a minimally invasive manner. I think many patients will be well-served.”

Advertisement

Related Articles

Doctors working on MGUS screening study
March 18, 2024/Cancer/Research

Pilot Study Aims for Early Identification of Multiple Myeloma Precursor Among Black Patients

First-of-its-kind research investigates the viability of standard screening to reduce the burden of late-stage cancer diagnoses

Hematologist at Cleveland Clinic
March 14, 2024/Cancer/Blood Cancers

Advances in Mantle Cell Lymphoma Treatment (Podcast)

Global R&D efforts expanding first-line and relapse therapy options for patients

Physician with patient
March 6, 2024/Cancer/Research

Targeting Uncontrolled Erythrocytosis in Polycythemia Vera with Rusfertide

Study demonstrates ability to reduce patients’ reliance on phlebotomies to stabilize hematocrit levels

Dr. Jagadeesh at Cleveland Clinic
February 28, 2024/Cancer/Blood Cancers

Treating Patient with Systemic T-Cell Lymphoma and Graft-Versus-Host Disease

A case study on the value of access to novel therapies through clinical trials

Doctor measuring patient's waist size
February 26, 2024/Cancer/Research

Impact of Obesity on GVHD & Transplant Outcomes in Hematologic Malignancies

Findings highlight an association between obesity and an increased incidence of moderate-severe disease

Physician with patient
February 21, 2024/Cancer/Research

Strategies for Improving Clinical Trial Equity

Cleveland Clinic Cancer Institute takes multi-faceted approach to increasing clinical trial access 23456

How antibody drug conjugates work
February 13, 2024/Cancer/Research

Real-World Use of Trastuzumab Deruxtecan

Key learnings from DESTINY trials

CQD-4445459-rotz-650×450
February 7, 2024/Cancer

Advances in Bone Marrow Transplant Have Improved Outcomes in Fanconi Anemia

Overall survival in patients treated since 2008 is nearly 20% higher than in earlier patients

Ad