Locations:
Search IconSearch
December 21, 2015/Cancer

Multidisciplinary Adrenal Clinic

There when you—and your patients—need us

Pre-opCT_650x450

By Eren Berber, MD, and Georgiana Dobri, MD

Advertisement

Cleveland Clinic is a non-profit academic medical center. Advertising on our site helps support our mission. We do not endorse non-Cleveland Clinic products or services. Policy

Cleveland Clinic’s Endocrinology & Metabolism Institute offers a Multidisciplinary Adrenal Clinic that evaluates about 300 patients with adrenal disorders every year. Patients presenting at the Multidisciplinary Adrenal Clinic receive a workup of their adrenal tumors based on guidelines from the National Institutes of Health and the American Association of Clinical Endocrinologists/American Association of Endocrine Surgeons.

The center holds monthly Multidisciplinary Tumor Boards, where complex adrenal cases are discussed and treatment plans are developed. The Endocrine Surgery Department performs 40 to 50 adrenalectomies every year.

Multidisciplinary expertise

Some of the experts within the Adrenal Clinic from various disciplines include:

  • Eren Berber, MD, Director — from Endocrine Surgery
  • Georgiana Dobri, MD, from Endocrinology
  • Erick Remer, MD, from Diagnostic Radiology
  • Charis Eng, MD, PhD, from the Genomic Medicine Institute
  • Donald Neumann, MD, PhD, from Nuclear Medicine
  • Brian Rini, MD, from Oncology

Case study

This patient case illustrates the accessibility of Cleveland Clinic’s adrenal disease experts, as well as the quality of our care based on a multidisciplinary approach:

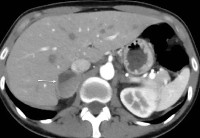
A 50-year-old woman who was working overseas for the U.S. government presented at a hospital in Germany in hypertensive crisis. Imaging was performed and the patient was found to have a 4-cm right adrenal mass.

The treating physician contacted Dr. Berber seeking his expertise in adrenal disorders. Dr. Berber coordinated the appropriate workup, which included checking serum and 24-hour urine collections for catecholamines and metanephrines. The patient’s catecholamines and metanephrines were four-fold elevated.

Advertisement

The Cleveland Clinic Endocrine Surgery team stayed in communication with the physicians in Germany and the patient was started on alpha blockade with phenoxybenzamine, which stabilized her blood pressure.

Arrangements were made for her to have a minimally invasive adrenalectomy at Cleveland Clinic. Three weeks later, the patient traveled to Cleveland Clinic. The details of the operation were discussed with her, and she provided consent for a robotic adrenalectomy. The surgery was performed uneventfully.

The patient stayed one day in the hospital. She was discharged and at two-week followup, she was recovering well and did not have any complications. Plasma catecholamine and metanephrine levels at one month were normal, suggesting the patient was cured.

Figure 1. Preoperative CT scan demonstrating the right-sided pheochromocytoma.

Pre-opCT_650x450

Figure 2. Intraoperative photo showing the dissection of the adrenal mass during robotic adrenalectomy.

inset_2

Dr. Berber is Director of the Multidisciplinary Adrenal Clinic and Director of Robotic Endocrine Surgery in the Department of Endocrine Surgery. Dr. Dobri is an endocrinologist in the Department of Endocrinology, Diabetes and Metabolism, with a special interest in adrenal and pituitary disease. For more information contact Dr. Berber at berbere@ccf.org or 216.445.0555, or Dr. Dobri at dobrig@ccf.org or 216.636.5554.

Advertisement

Related Articles

Doctors working on MGUS screening study
March 18, 2024/Cancer/Research

Pilot Study Aims for Early Identification of Multiple Myeloma Precursor Among Black Patients

First-of-its-kind research investigates the viability of standard screening to reduce the burden of late-stage cancer diagnoses

Hematologist at Cleveland Clinic
March 14, 2024/Cancer/Blood Cancers

Advances in Mantle Cell Lymphoma Treatment (Podcast)

Global R&D efforts expanding first-line and relapse therapy options for patients

Physician with patient
March 6, 2024/Cancer/Research

Targeting Uncontrolled Erythrocytosis in Polycythemia Vera with Rusfertide

Study demonstrates ability to reduce patients’ reliance on phlebotomies to stabilize hematocrit levels

Dr. Jagadeesh at Cleveland Clinic
February 28, 2024/Cancer/Blood Cancers

Treating Patient with Systemic T-Cell Lymphoma and Graft-Versus-Host Disease

A case study on the value of access to novel therapies through clinical trials

Doctor measuring patient's waist size
February 26, 2024/Cancer/Research

Impact of Obesity on GVHD & Transplant Outcomes in Hematologic Malignancies

Findings highlight an association between obesity and an increased incidence of moderate-severe disease

Physician with patient
February 21, 2024/Cancer/Research

Strategies for Improving Clinical Trial Equity

Cleveland Clinic Cancer Institute takes multi-faceted approach to increasing clinical trial access 23456

How antibody drug conjugates work
February 13, 2024/Cancer/Research

Real-World Use of Trastuzumab Deruxtecan

Key learnings from DESTINY trials

CQD-4445459-rotz-650×450
February 7, 2024/Cancer

Advances in Bone Marrow Transplant Have Improved Outcomes in Fanconi Anemia

Overall survival in patients treated since 2008 is nearly 20% higher than in earlier patients

Ad