Locations:
Search IconSearch
April 1, 2015/Cancer

Case Study in Complexity: The Merits of a Multidisciplinary Approach to Spine Tumors

Iliac lesion launches a path leading to metastatic breast cancer Dx

Perry-Angelov-690×380

By Tiffany Perry, MD, and Lilyana Angelov, MD

Advertisement

Cleveland Clinic is a non-profit academic medical center. Advertising on our site helps support our mission. We do not endorse non-Cleveland Clinic products or services. Policy

Presentation: From decorating pains to a daunting diagnosis

When this 37-year-old female patient lifted a box of Christmas decorations in late 2013, she noticed a bit more back pain than she remembered from the previous year, but she dismissed it as a muscle strain and continued through the holiday season. Weeks later, with the pain in her right hip and left flank worsening, she and her partner went to the ER of a Cleveland Clinic regional hospital in February 2014 in search of an answer.

Initial X-ray and CT studies began to unveil the pain’s etiology: Large lytic lesions of the right iliac bone, T11 vertebra and left ninth rib were the source of the patient’s symptoms. Her spinal cord was severely compressed by the lesion in her thoracic spine (Figure 1), and the tumor had completely replaced the spine’s structural bony support, causing severe mechanical back pain. A biopsy of the iliac lesion revealed metastatic adenocarcinoma.

Perry-Angelov-Fig1

Figure 1. Axial and sagittal MRIs taken one week before surgery showing severe compression of the thoracic spinal cord by the patient’s tumor.

Multiple interventions on multiple fronts

From the initial ER visit, the patient’s physicians worked collaboratively to ensure that she received expeditious diagnosis, prompt treatment initiation and efficient coordination of care. In late February, she underwent T11 corpectomy and resection of the tumor and fusion from T9 through L2 (Figure 2).

Perry-Angelov-Fig2

Figure 2. Postoperative anteroposterior and lateral X-rays showing spinal fusion from T9 to L2 following T11 corpectomy and resection of the tumor.

The surgery was performed at Cleveland Clinic’s Fairview Hospital, where the patient worked with a team of therapists to expedite her mobility and recovery and went home to continue outpatient physical therapy. With the spinal cord decompressed (Figure 3) and her mechanical back pain significantly improved, she was ready for the next steps of treatment.

Advertisement

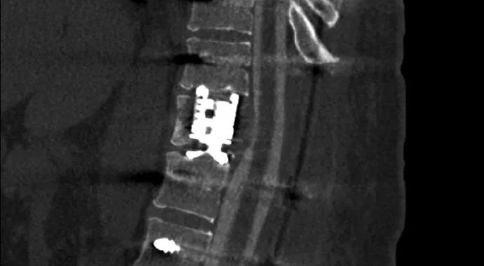
Perry-Angelov-Fig3

Figure 3. Postoperative CT myelogram demonstrating decompression of the spinal cord.

Two weeks postoperatively, she underwent stereotactic radiosurgery to the surgical tumor bed and left rib mass to ensure that the spinal cord’s radiation exposure was minimized. Two weeks later, she had radiosurgery to the iliac mass.

More complexities in store

A team of pathologists diligently pursued a definitive diagnosis. Assessment of molecular markers of the tumor indicated a 90 percent probability of squamous cell carcinoma of the cervix. This seemed highly unusual, given that tissue samples from the iliac lesion and the thoracic lesion both demonstrated adenocarcinoma consistent with breast cancer. The final pathology was triple-negative breast cancer (estrogen-negative, progesterone-negative and HER2/neu-negative), making it more challenging to treat with chemotherapy.

In view of the cervical cancer molecular markers on pathology, the patient was referred to a gynecologic oncologist for a cervical curettage, which was negative for malignancy.

In April, she continued to undergo testing to confirm the primary origin of the cancer. Mammography and breast ultrasound showed a small mass in the right breast that was highly suggestive of malignancy. She underwent a fine-needle aspiration that again revealed metastatic carcinoma consistent with breast cancer.

Through the combined efforts of her oncologist, radiation oncologists, gynecologic oncologist, interventional radiologist, pathologists and neurosurgeon, the patient has been the recipient of collaborative, multidisciplinary care for her breast cancer.

Advertisement

Determination and inspiration

Although the time between her doctor visits is short, our patient is trying to develop some semblance of a routine in her life’s new landscape. Instead of BMX biking, she is learning to enjoy walks outside. Her outlook on life, living and cancer continues to amaze us and all her caregivers at Cleveland Clinic.

“Whether I have two days, two years or — by some miracle — two decades, I want to make the most of it,” she’s told us.

The case for coordinated, multidisciplinary care

This is just one of hundreds of challenging spine tumor cases managed at Cleveland Clinic each year. Patients with spine tumors require integrated, multidisciplinary care to optimize their outcome. As in this case, a patient with a new spine tumor requires a diagnosis of tumor pathology, after which treatment is tailored to address the following:

  • Spinal instability due to tumor-induced compromise of the bone’s structural integrity
  • Neurologic deficits associated with spinal cord or root compression by the tumor
  • Disabling tumor-related pain
  • Treatment of the patient’s global disease if the cancer is metastatic

Spine tumor board leverages broad expertise

To best address the diversity of treatments required by patients with spine tumors, Cleveland Clinic has developed a weekly Spine Tumor Board to coordinate patient care. The board consists of neuroradiologists, neuropathologists, neurosurgeons, orthopaedic surgeons, radiation oncologists, radiosurgeons, medical oncologists, neurologists, palliative medicine specialists, pain management specialists, medical spine specialists, nurse practitioners and physician assistants — a truly multidisciplinary consortium.

Advertisement

Cases are typically presented by one of these providers, but cases also are referred by outside physicians for review and recommendations. During board meetings, cases are thoroughly reviewed by the group, information is integrated from multiple sources, and each member provides his or her relevant expertise and insights on the patient’s management. This collective input is developed into a comprehensive treatment plan that lays out care goals in a group recommendation. The recommendation is communicated to the patient, and treatment can begin in an integrated and rapid manner with all team members being familiar with the patient’s overall needs.

Since its inception in 2006, Cleveland Clinic’s Spine Tumor Board has become one of the highest-volume boards in the country, having reviewed and provided management recommendations on more than 2,300 spine tumor cases. All types of spine tumors are discussed — both primary and metastatic, benign and malignant, and those involving the spinal column or spinal cord.

We believe this multidisciplinary strategy is making important differences in spine tumor patients’ treatment and overall quality of life. Patients like the one whose case is profiled here help us build on our existing expertise while providing unique inspiration to advance it further.

Dr. Perry is a spine surgeon in Cleveland Clinic’s Center for Spine Health. Dr. Angelov is a neurosurgeon with appointments in the Center for Spine Health and the Rose Ella Burkhardt Brain Tumor and Neuro-Oncology Center.

Advertisement

Related Articles

Doctors working on MGUS screening study
March 18, 2024/Cancer/Research

Pilot Study Aims for Early Identification of Multiple Myeloma Precursor Among Black Patients

First-of-its-kind research investigates the viability of standard screening to reduce the burden of late-stage cancer diagnoses

Hematologist at Cleveland Clinic
March 14, 2024/Cancer/Blood Cancers

Advances in Mantle Cell Lymphoma Treatment (Podcast)

Global R&D efforts expanding first-line and relapse therapy options for patients

Physician with patient
March 6, 2024/Cancer/Research

Targeting Uncontrolled Erythrocytosis in Polycythemia Vera with Rusfertide

Study demonstrates ability to reduce patients’ reliance on phlebotomies to stabilize hematocrit levels

Dr. Jagadeesh at Cleveland Clinic
February 28, 2024/Cancer/Blood Cancers

Treating Patient with Systemic T-Cell Lymphoma and Graft-Versus-Host Disease

A case study on the value of access to novel therapies through clinical trials

Doctor measuring patient's waist size
February 26, 2024/Cancer/Research

Impact of Obesity on GVHD & Transplant Outcomes in Hematologic Malignancies

Findings highlight an association between obesity and an increased incidence of moderate-severe disease

Physician with patient
February 21, 2024/Cancer/Research

Strategies for Improving Clinical Trial Equity

Cleveland Clinic Cancer Institute takes multi-faceted approach to increasing clinical trial access 23456

How antibody drug conjugates work
February 13, 2024/Cancer/Research

Real-World Use of Trastuzumab Deruxtecan

Key learnings from DESTINY trials

CQD-4445459-rotz-650×450
February 7, 2024/Cancer

Advances in Bone Marrow Transplant Have Improved Outcomes in Fanconi Anemia

Overall survival in patients treated since 2008 is nearly 20% higher than in earlier patients

Ad