Locations:
Search IconSearch
October 27, 2014/Cancer

Case Study: Complex Resection of Soft Tissue Sarcoma

Collaboration and outcomes collection guide ideal care

Leitman-Inset-690x380pxl

By Steven A. Lietman, MD; Nathan W. Mesko, MD; David Joyce, MD; and Michael J. Joyce, MD

Advertisement

Cleveland Clinic is a non-profit academic medical center. Advertising on our site helps support our mission. We do not endorse non-Cleveland Clinic products or services. Policy

Case presentation

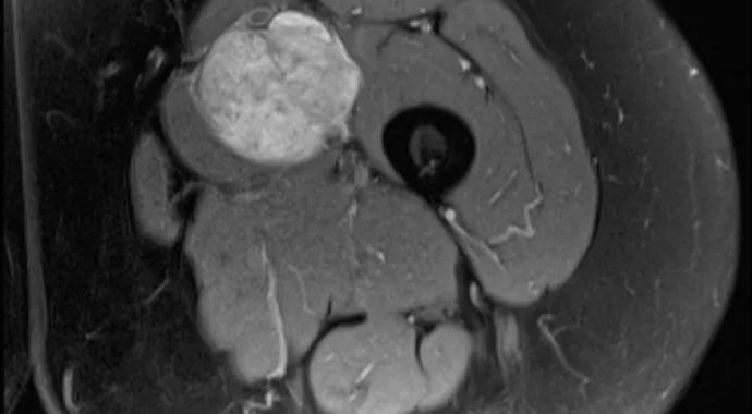
A 62-year-old woman noticed a lump in her thigh. When the tumor did not resolve, she went to her medical doctor, who obtained a CT and referred her to one of the surgeons (S.A.L.) in Cleveland Clinic’s Musculoskeletal Tumor Center. The patient had severe claustrophobia, so she underwent MRI under anesthesia. In addition, a deep vein thrombosis was discovered at the area of the tumor, so an inferior vena cava filter was placed. She was started on enoxaparin but could not tolerate the injections, so she was switched to aspirin, 325 mg twice daily. Based on the MRI findings (Figure), her lesion was believed to be a leiomyosarcoma of the femoral vein, which was confirmed by a minimally invasive needle biopsy.

Figure. Axial (left) and coronal (right) MRIs showing the leiomyosarcoma in the left thigh arising from the femoral vein.

Figure. Axial (left) and coronal (right) MRIs showing the leiomyosarcoma in the left thigh arising from the femoral vein.

A multidisciplinary conference was called to review the patient’s case, including tumor biopsy slides and imaging studies. Because of the tumor’s proximity to the femoral artery and the involvement of the femoral vein with the tumor, we consulted our colleagues in the Department of Vascular Surgery. They saw the patient preoperatively and discussed with her the need for a bypass of the femoral artery after consultation with S.A.L.

Surgery and subsequent management

The tumor was resected with 0.9 mm as the closest margin, and the specimen was reviewed with one of our musculoskeletal pathologists immediately after resection; our practice is to review the specimen while the patient is still anesthetized in case a margin is positive and residual tumor is found. While the patient was still anesthetized, our vascular surgery colleagues harvested a vein from the contralateral side and anastomosed it to both sides of the femoral artery in the area of the resection bed.

Advertisement

An earlier study of thigh sarcomas at Cleveland Clinic had revealed that a margin of 1 cm or more was optimal. This patient’s case was discussed postoperatively at another of our multidisciplinary conferences. Because of the high-grade nature of her soft tissue leiomyosarcoma and because the margin was 0.9 mm instead of 1 cm, radiation therapy was recommended.

Collaboration and continuity are key

This case illustrates the importance of the multidisciplinary approach taken at Cleveland Clinic for the optimal care of patients with sarcomas. In addition to our orthopaedic oncology team, this patient’s primary care physician and our colleagues in radiology, interventional radiology, pathology, vascular surgery, medical oncology and radiation oncology had roles in her care. We also believe that our research and ongoing evaluation of results helped enhance her management, as a review of all the thigh sarcoma cases from our medical records led us to determine that a margin of at least 1 cm is optimal.

The combination of systematic collection and evaluation of patient outcomes, together with the collaborative approach fostered through our multidisciplinary conferences, is a primary contributor to our Musculoskeletal Tumor Center’s local recurrence rate of less than 4 percent for soft tissue sarcomas, which is among the lowest reported in the literature. This rate was achieved in patients whose biopsy and resection were both performed at Cleveland Clinic, in contrast to the higher local recurrence rate (20 percent) that has been observed in patients who underwent biopsy at outside locations but then came to Cleveland Clinic for sarcoma resection. Because of this variance in outcomes, we encourage referring physicians to send patients with lumps or bumps to us before they biopsy them. Our experience suggests that continuity of care is an essential ingredient in the most successful collaborative care.

Advertisement

Dr. Mesko (meskon@ccf.org) is a staff physician in the Department of Orthopaedic Surgery’s Musculoskeletal Tumor Center. 

Dr. David Joyce was an orthopaedic resident at Cleveland Clinic when this was written.

Dr. Michael Joyce (joycem@ccf.org) and Dr. Lietman (lietmas@ccf.org) are Co-Directors of the Musculoskeletal Tumor Center.

Advertisement

Related Articles

Doctors working on MGUS screening study
March 18, 2024/Cancer/Research

Pilot Study Aims for Early Identification of Multiple Myeloma Precursor Among Black Patients

First-of-its-kind research investigates the viability of standard screening to reduce the burden of late-stage cancer diagnoses

Hematologist at Cleveland Clinic
March 14, 2024/Cancer/Blood Cancers

Advances in Mantle Cell Lymphoma Treatment (Podcast)

Global R&D efforts expanding first-line and relapse therapy options for patients

Physician with patient
March 6, 2024/Cancer/Research

Targeting Uncontrolled Erythrocytosis in Polycythemia Vera with Rusfertide

Study demonstrates ability to reduce patients’ reliance on phlebotomies to stabilize hematocrit levels

Dr. Jagadeesh at Cleveland Clinic
February 28, 2024/Cancer/Blood Cancers

Treating Patient with Systemic T-Cell Lymphoma and Graft-Versus-Host Disease

A case study on the value of access to novel therapies through clinical trials

Doctor measuring patient's waist size
February 26, 2024/Cancer/Research

Impact of Obesity on GVHD & Transplant Outcomes in Hematologic Malignancies

Findings highlight an association between obesity and an increased incidence of moderate-severe disease

Physician with patient
February 21, 2024/Cancer/Research

Strategies for Improving Clinical Trial Equity

Cleveland Clinic Cancer Institute takes multi-faceted approach to increasing clinical trial access 23456

How antibody drug conjugates work
February 13, 2024/Cancer/Research

Real-World Use of Trastuzumab Deruxtecan

Key learnings from DESTINY trials

CQD-4445459-rotz-650×450
February 7, 2024/Cancer

Advances in Bone Marrow Transplant Have Improved Outcomes in Fanconi Anemia

Overall survival in patients treated since 2008 is nearly 20% higher than in earlier patients

Ad