Locations:
Search IconSearch
July 10, 2017/Cancer

Can Stereotactic Radiosurgery Be Safely Combined with Systemic Therapy for Brain Mets?

Study indicates ‘yes’ except for certain targeted agents

17-NEU-925-Chao-650×450

Patients undergoing stereotactic radiosurgery (SRS) for newly diagnosed brain metastases are at no increased risk of radiation necrosis when being treated concurrently with systemic therapies — except for selected targeted agents. So concludes a Cleveland Clinic study — the largest and most comprehensive of its kind — recently published online in the Journal of Neuro-Oncology.

Advertisement

Cleveland Clinic is a non-profit academic medical center. Advertising on our site helps support our mission. We do not endorse non-Cleveland Clinic products or services. Policy

Out of multiple chemotherapies studied — including cytotoxic, hormone, cytokine (interleukins, interferons) and targeted systemic therapies – only VEGFR tyrosine kinase inhibitors (TKIs) and EGFR TKIs were associated with increased radiation toxicity. The investigation also found that combining whole-brain radiation therapy (WBRT) with SRS exacerbated the negative effects.

Abundance of caution stemming from evidence gaps

“Physicians have been reluctant to allow patients to continue their chemotherapy while undergoing stereotactic radiosurgery out of fear of contributing to long-term toxicities,” says Samuel T. Chao, MD, a radiation oncologist in Cleveland Clinic’s Rose Ella Burkhardt Brain Tumor and Neuro-Oncology Center and leader of the study team. “This study provides strong evidence that we can safely continue most therapies while giving radiosurgery.”

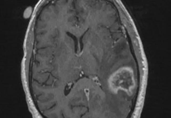
SRS (using Gamma Knife®) offers high rates of local control for brain metastases, but it results in radiation necrosis — confirmed by radiographic or pathologic evidence — in 5 to 10 percent of treated lesions. Half of patients with evident radiation necrosis (as in the imaging study above) develop symptomatic neurological deficits, sometimes requiring prolonged treatment with steroids or anti-angiogenic agents.

In the absence of data on whether chemotherapy is safe to give concurrently with SRS, conventional practice has been to withhold drugs for a couple of weeks before and after radiation treatment, Dr. Chao notes. This results in about a month-long gap in chemotherapy. Given the rarity of radiation necrosis and the multitude of chemotherapeutic choices, proving the safety of combining SRS with concurrent chemotherapy has been difficult. Although previous studies have suggested that systemic therapies may be safely delivered with SRS, these investigations have been underpowered to assess the safety of specific agents.

Advertisement

The new study also evaluated the risk of radiation necrosis when adding WBRT to SRS and modern concurrent systemic therapies, an avenue of research not previously explored in the literature.

Study design and findings

Dr. Chao and colleagues retrospectively reviewed 1,650 patients (with 2,843 newly diagnosed brain metastases) who underwent SRS at Cleveland Clinic from 1997 to 2015. Of these, 650 patients (39 percent) also underwent WBRT. Across the overall sample, 445 patients (27 percent) were treated with concurrent systemic therapy at the time of SRS. The primary outcome measure was the incidence of radiation necrosis by radiographic evidence.

Statistical analysis revealed a significantly increased rate of radiation necrosis among patients treated with concurrent targeted therapies (N = 451 lesions), driven primarily by VEGFR and EGFR TKIs. Several previous smaller reports have also implicated targeted therapies with increased radiation necrosis, which may be caused by these drugs’ effects on vascularization, which would enhance radiation effects.

No increased risk was found with cytotoxic chemotherapy (N = 260 lesions), hormone therapy (N = 300 lesions) or cytokine therapy (N = 10 lesions).

Upfront WBRT, combined with SRS and concurrent chemotherapy, more than doubled the risk of radiation necrosis relative to SRS without WBRT (8.7 percent vs. 3.7 percent; P=0.04). The peak period for radiation necrosis after combined SRS, WBRT and systemic treatment occurred sharply at 5 to 9 months; this was in contrast to a very gradual increase in radiation necrosis over two years among patients receiving SRS alone with or without systemic therapy.

Advertisement

Implications for practice

The study provides evidence supporting new standards around SRS therapy for brain metastases. According to Dr. Chao:

  • Physicians can feel comfortable allowing patients to continue most chemotherapies without a gap while providing SRS for newly diagnosed brain metastases.
  • For patients taking VEGFR TKIs or EGFR TKIs, doctors can feel justified in withholding therapy to avoid radiation toxicity while treating with SRS.
  • The study provides growing evidence that WBRT should be omitted for the initial treatment of brain metastases for patients on systemic therapy.

Future directions

Dr. Chao notes that his team plans further research with the goal of refining SRS doses for cancer therapy.

“Different systemic agents — as well as different tumor types — may alter sensitivity to radiation,” he explains. “It would be useful to have evidence in different situations for optimizing efficacy while minimizing toxicities.”

Advertisement

Related Articles

Doctors working on MGUS screening study
March 18, 2024/Cancer/Research

Pilot Study Aims for Early Identification of Multiple Myeloma Precursor Among Black Patients

First-of-its-kind research investigates the viability of standard screening to reduce the burden of late-stage cancer diagnoses

Hematologist at Cleveland Clinic
March 14, 2024/Cancer/Blood Cancers

Advances in Mantle Cell Lymphoma Treatment (Podcast)

Global R&D efforts expanding first-line and relapse therapy options for patients

Physician with patient
March 6, 2024/Cancer/Research

Targeting Uncontrolled Erythrocytosis in Polycythemia Vera with Rusfertide

Study demonstrates ability to reduce patients’ reliance on phlebotomies to stabilize hematocrit levels

Dr. Jagadeesh at Cleveland Clinic
February 28, 2024/Cancer/Blood Cancers

Treating Patient with Systemic T-Cell Lymphoma and Graft-Versus-Host Disease

A case study on the value of access to novel therapies through clinical trials

Doctor measuring patient's waist size
February 26, 2024/Cancer/Research

Impact of Obesity on GVHD & Transplant Outcomes in Hematologic Malignancies

Findings highlight an association between obesity and an increased incidence of moderate-severe disease

Physician with patient
February 21, 2024/Cancer/Research

Strategies for Improving Clinical Trial Equity

Cleveland Clinic Cancer Institute takes multi-faceted approach to increasing clinical trial access 23456

How antibody drug conjugates work
February 13, 2024/Cancer/Research

Real-World Use of Trastuzumab Deruxtecan

Key learnings from DESTINY trials

CQD-4445459-rotz-650×450
February 7, 2024/Cancer

Advances in Bone Marrow Transplant Have Improved Outcomes in Fanconi Anemia

Overall survival in patients treated since 2008 is nearly 20% higher than in earlier patients

Ad