Locations:
Search IconSearch
October 6, 2017/Cancer

2-Staged Stereotactic Radiosurgery for Large Brain Metastases: More Support from Largest Series Yet

Growing evidence of advantages over other radiosurgery approaches

17-NEU-4136-Angelov-650×450

By Lilyana Angelov, MD; Samuel Chao, MD; and Gene Barnett, MD, MBA

Advertisement

Cleveland Clinic is a non-profit academic medical center. Advertising on our site helps support our mission. We do not endorse non-Cleveland Clinic products or services. Policy

Two-staged stereotactic radiosurgery has been shown to be a feasible, safe and effective modality for treating large brain metastases in the largest published series of metastases managed with this approach to date. These results, reported recently by our group in the Journal of Neurosurgery,1 raise the prospect of enhanced local tumor control with decreased radiation-related morbidity in the setting of large brain metastases.

The rationale for staged therapy

Effective control of large brain metastases (≥ 2 cm maximum diameter) with stereotactic radiosurgery (SRS) is a challenge, yielding local control rates of only 37 to 62 percent with an elevated risk of treatment-associated toxicity compared with smaller brain metastases. In recent years, two centers in Japan began reporting results with a novel strategy for treating large brain metastases known as staged stereotactic radiosurgery (SSRS).2-4 The approach involves delivery of SRS in two or more discrete treatment sessions rather than the traditional single session. The aim is to enable an increased overall dose to improve local tumor control while administering smaller individual doses in an effort to reduce toxicity.

In 2012, Cleveland Clinic’s Rose Ella Burkhardt Brain Tumor and Neuro-Oncology Center became, to our knowledge, the first center outside Japan to offer two-staged SRS (2-SSRS). Our new paper1 reports our experience with this approach from June 2012 through January 2016.

Our study in brief

We retrospectively analyzed all Cleveland Clinic patients during this period who underwent planned 2-SSRS for brain metastases ≥ 2 cm in maximum diameter secondary to systemic cancer. Patients were selected for planned 2-SSRS if they were not surgical candidates or per surgeon and patient preference. The Gamma Knife® Perfexion system was used to deliver a total of 24 to 33 Gy (median, 30) across the two treatment sessions, resulting in a total biologic equivalent prescription dose of roughly 44 to 73 Gy (median, 62.5) if delivered in a single treatment session. The second SSRS session was typically scheduled approximately one month after the first (median interval, 34 days).

Advertisement

Our objective was to volumetrically assess the response of local brain metastases to the 2-SSRS strategy in terms of local control rates, treatment-related toxicity and impact on overall survival.

Key results

Fifty-four patients received 2-SSRS during the study period, with a total of 63 treated brain metastases among them: 46 patients (85 percent) had one metastasis, seven (13 percent) had two and one (2 percent) had three. Patients with more than one metastasis had them treated concurrently. Median patient age was 63 years (range, 23-83).

The main outcome findings were as follows:

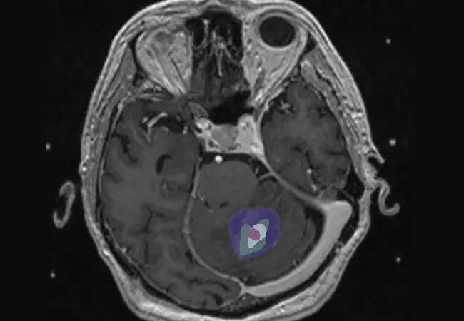
  • The median change in tumor volume at three-month follow-up MRI after 2-SSRS was a 54 percent reduction from baseline (P < .001). (See Figure 1 for an example case.)
  • Rates of local control were 95 percent at three months and 88 percent at six months.
  • Estimated overall survival rates (using the Kaplan-Meier method) were 65 ± 7 percent at six months and 49 ± 8 percent at 12 months.
  • Seven lesions (11.1 percent) demonstrated adverse radiation effects (four lesions at grade 1/2 toxicity and three at grade 3).
  • Nine lesions (14.3 percent) demonstrated local progression (median time, 5.2 months). Reduced time to progression was significantly associated with greater tumor at baseline and smaller absolute and relative reductions in tumor volume from baseline to the second SSRS session.

Figure 1. Tumor size over time in one of the patients from our study (image courtesy of neurosurgery resident Ghaith Habboub, MD).

Time for a prognostic model?

Our findings build on the initial results from Japan to support 2-SSRS as a feasible, safe and effective modality that yields excellent local control and similar or better overall survival and toxicity relative to many series (reviewed in our paper1) in which large brain metastases were treated with single-session SRS or fractionated stereotactic radiosurgery (FSRS). We also showed that multiple large brain metastases can be treated concurrently with 2-SSRS and that this strategy can be effective in treating large metastases arising from traditionally radiotherapy-resistant pathology.

Advertisement

These findings suggest that a prognostic model may well be in order to stratify patients with large brain metastases into favorable and unfavorable 2-SSRS response groups based on Karnofsky Performance Status, global intracranial disease and response of the tumor to initial SSRS treatment. Such a model could be a helpful guide to clinical decision-making.

Potential advantages and applications

At the same time, larger prospective trials are warranted to confirm these retrospective results, assess durability and directly compare 2-SSRS to alternative approaches for large brain metastases. Nevertheless, 2-SSRS appears to offer a number of advantages over other radiosurgery strategies in the setting of large brain metastases, including:

  • Some of the best survival data to date. As reviewed in our paper,1 median survival in our study exceeded that of six of seven SRS cohorts with data from the published literature and exceeded that of seven of 12 FSRS studies with data from the literature. Twelve-month survival in our study surpassed that of four of five single-fraction studies and six of 11 FSRS studies with data from the literature.
  • Convenience. 2-SSRS use is independent of delivery platform (in contrast to the current limitation of FSRS to frame-based platforms) and may be the least disruptive treatment approach in terms of the patient’s overall care regimen.
  • Possible radiobiological advantages. These include the potential for enhanced tumor kill through higher doses per session relative to FSRS, the potential for repair and repopulation of normal brain cells during the interval between first and second sessions, and the prospect of improved oxygenation to remaining tumor cells — and thus enhanced radiation sensitivity — resulting from decreased tumor size following the first session.

Advertisement

Apart from these broader potential advantages, 2-SSRS appears particularly well suited to several specific applications. These include treating tumors in eloquent brain or near critical structures where radiotoxicity is especially concerning, enabling deferral of whole-brain radiation therapy (WBRT) in patients who aren’t surgical candidates, and use in patients with limited options who have already had WBRT and are not surgical candidates. We look forward to helping further define the role of this promising new approach to stereotactic radiosurgery.

References

  1. Angelov L, Mohammadi AM, Bennett EE, et al. Impace of 2-staged stereotactic radiosurgery for treatment of brain metastases ≥ 2 cm. J Neurosurg. 2017 Sep 22 [Epub ahead of print].
  2. Higuchi Y, Serizawa T, Nagano O, et al. Three-staged stereotactic radiotherapy without whole brain irradiation for large metastatic brain tumors. Int J Radiat Oncol Biol Phys. 2009;74:1543-1548.
  3. Yomo S, Hayashi M, Nicholson C. A prospective pilot study of two-session Gamma Knife surgery for large metastatic brain tumors. J Neurooncol. 2012;109:159-165.
  4. Yomo S, Hayashi M. A minimally invasive treatment option for large metastatic brain tumors: long-term results of two-session Gamma Knife stereotactic radiosurgery. Radiat Oncol. 2014;9:132.

Dr. Angelov (angelol@ccf.org) is a neurosurgeon in the Rose Ella Burkhardt Brain Tumor and Neuro-Oncology Center in Cleveland Clinic’s Neurological Institute.

Dr. Chao (chaos@ccf.org) is a radiation oncologist in the Rose Ella Burkhardt Brain Tumor and Neuro-Oncology Center.

Advertisement

Dr. Barnett (barnetg@ccf.org) is a neurosurgeon and Director of the Rose Ella Burkhardt Brain Tumor and Neuro-Oncology Center.

Related Articles

Doctors working on MGUS screening study
March 18, 2024/Cancer/Research

Pilot Study Aims for Early Identification of Multiple Myeloma Precursor Among Black Patients

First-of-its-kind research investigates the viability of standard screening to reduce the burden of late-stage cancer diagnoses

Hematologist at Cleveland Clinic
March 14, 2024/Cancer/Blood Cancers

Advances in Mantle Cell Lymphoma Treatment (Podcast)

Global R&D efforts expanding first-line and relapse therapy options for patients

Physician with patient
March 6, 2024/Cancer/Research

Targeting Uncontrolled Erythrocytosis in Polycythemia Vera with Rusfertide

Study demonstrates ability to reduce patients’ reliance on phlebotomies to stabilize hematocrit levels

Dr. Jagadeesh at Cleveland Clinic
February 28, 2024/Cancer/Blood Cancers

Treating Patient with Systemic T-Cell Lymphoma and Graft-Versus-Host Disease

A case study on the value of access to novel therapies through clinical trials

Doctor measuring patient's waist size
February 26, 2024/Cancer/Research

Impact of Obesity on GVHD & Transplant Outcomes in Hematologic Malignancies

Findings highlight an association between obesity and an increased incidence of moderate-severe disease

Physician with patient
February 21, 2024/Cancer/Research

Strategies for Improving Clinical Trial Equity

Cleveland Clinic Cancer Institute takes multi-faceted approach to increasing clinical trial access 23456

How antibody drug conjugates work
February 13, 2024/Cancer/Research

Real-World Use of Trastuzumab Deruxtecan

Key learnings from DESTINY trials

CQD-4445459-rotz-650&#215;450
February 7, 2024/Cancer

Advances in Bone Marrow Transplant Have Improved Outcomes in Fanconi Anemia

Overall survival in patients treated since 2008 is nearly 20% higher than in earlier patients

Ad