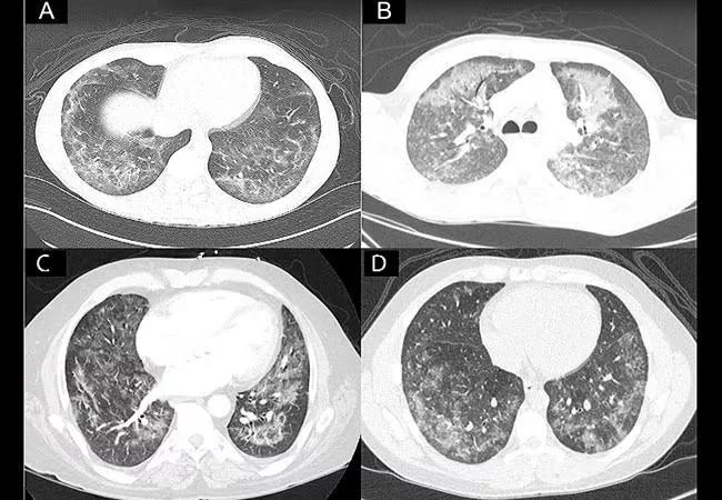
Findings from one of the first published case series
In a recent study published in the American Journal of Clinical Pathology, lung pathologists from Cleveland Clinic report the microscopic findings in lung biopsies from eight patients who developed severe pulmonary illness associated with vaping. This is one of the first case series in the world to examine lung biopsies from patients with vaping-associated lung illness and is the first study on vaping published in a pathology journal. The authors found histologic evidence of acute lung injury in the form of organizing pneumonia and diffuse alveolar damage. In contrast to early clinical reports based on bronchoalveolar lavage findings, there was no evidence of exogenous lipoid pneumonia.
Advertisement
Cleveland Clinic is a non-profit academic medical center. Advertising on our site helps support our mission. We do not endorse non-Cleveland Clinic products or services. Policy
Sanjay Mukhopadhyay, MD (@smlungpathguy), Director of Pulmonary Pathology at Cleveland Clinic, was first author of the study, which includes co-authors from Cleveland Clinic’s Respiratory Institute, Vanderbilt University Medical Center and other institutions. Dr. Mukhopadhyay notes, “Given the current theory that a lipid or oily substance causes lung damage in patients who vape, we were surprised to find that classic features of exogenous lipoid pneumonia were absent in these biopsies. Since lung biopsy findings in vaping-associated pulmonary illness had not been reported at the time we made these observations, we decided that it was important to document these findings given the immense public health importance of this issue.”
All patients biopsied had used vaping products with THC and some had vaped nicotine. Dr. Mukhopadhyay discusses the cases in the video below:
Advertisement
Advertisement
Lorem ipsum dolor sit amet. Ut laudantium quasi et aliquam magni qui adipisci sequi et voluptatibus blanditiis et consectetur atque eos nihil dolorem qui culpa nobis. In accusantium voluptatem est modi rerum ut aperiam neque. Hic quos nisi 33 rerum laboriosam cum fuga voluptates. Sed expedita ratione sit nostrum necessitatibus ea maxime perspiciatis sed quia sequi.
This is a subtitle for CQD Post 'Corey Test CQD Post Feb12'. This is a subtitle for CQD Post 'Corey Test CQD Post Feb12'.</end Subtitle>

Matching Secondary -> Primary Snomed Term with Curated Post. Please do not touch this post or any of its categories/snomed terms, thank you!
Lingulectomy removes infection when antibiotics fail
Researchers have developed immunoprofiles for an emerging disease with a mortality rate as high as 27%