Locations:
Search IconSearch
March 1, 2016/Pediatrics

Susac Syndrome: Pooling Efforts at the Global Level Against a Newly Recognized Disease

Resources include international study and disease registry

15-THE-2815-Hall-Ali-Image-650x450pxls

By Rula Hajj-Ali, MD, and Robert Rennebohm, MD

Advertisement

Cleveland Clinic is a non-profit academic medical center. Advertising on our site helps support our mission. We do not endorse non-Cleveland Clinic products or services. Policy

Rheumatologists around the world regularly encounter patients with symptoms and signs that should prompt consideration of Susac syndrome (SuS), yet information on SuS remains relatively scarce. Through an array of initiatives centered on SuS — including the International Collaborative Study of Susac Syndrome and a related international registry for the disease — Cleveland Clinic is leading efforts to help change that.

Not as rare as perceived

First described by Dr. John Susac in 1979, SuS is considered a rare syndrome but is likely considerably more common than reported. To date, 313 cases have been reported in the worldwide medical literature, but the prevalence of SuS is believed to be higher. Prevalence estimates are likely confounded by the fact that it is commonly misdiagnosed — usually as atypical multiple sclerosis, atypical acute disseminated encephalomyelitis (ADEM) or central nervous system vasculitis.

SuS primarily affects young women between ages 20 and 40, but it also affects men, adolescents and children (about 11 percent of cases have been pediatric — predominantly in older adolescents).

Although SuS is relatively rare, the clinical scenarios in which it is a relevant consideration come up very often in rheumatology practice. Specifically, SuS must be considered in the differential diagnosis of any patient who presents with one or more of the following:

  • Unexplained encephalopathy
  • Unexplained retinal vasculopathy
  • Unexplained hearing loss

Clinical profile — and treatment — of SuS

15-RHE-2815-Hajj-Ali-Inset-Figure-01

Figure 1. Fluorescein angiography showing partial branch retinal artery occlusion (BRAO) and segmental hyperfluorescence and leakage in a patient with Susac syndrome.

Advertisement

SuS is a chronic immune-mediated microvascular endotheliopathy that partially or completely occludes the microvasculature in the brain, retina and inner ear, resulting in varying degrees of ischemic injury to these tissues. Clinically, it is characterized by the triad of:

  • Encephalopathy (chiefly headaches and cognitive dysfunction, but there can be a variety of other neurologic manifestations)
  • Branch retinal artery occlusion (BRAO), as well as vessel wall hyperfluorescence and leakage (Figure 1)
  • Hearing loss (often with tinnitus and vertigo) (Figure 2)

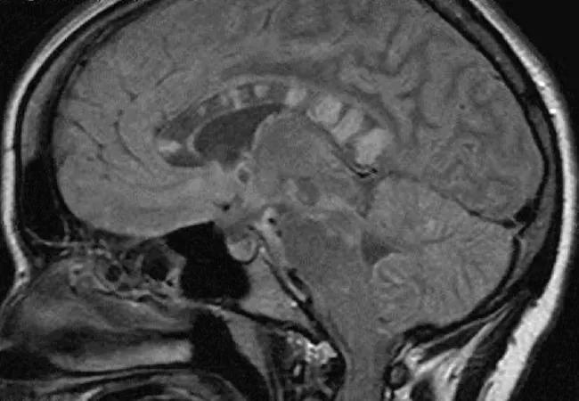
This triad is typically accompanied by the distinctive MRI finding of “snowball” lesions in the central portion of the corpus callosum (Figure 3). In its most severe form, SuS threatens to cause dementia, blindness, deafness and severe lifelong physical and mental disability.

15-RHE-2815-Hajj-Ali-Inset-Figure-02

Figure 2. Audiogram from a patient with Susac syndrome showing typical low-frequency sensorineural hearing loss in the left ear (indicated by X’s) with normal hearing in the right ear (indicated by O’s).

15-RHE-2815-Hajj-Ali-Inset-Figure-03

Figure 3. Sagittal T2-weighted FLAIR image (MRI) showing four particularly large “snowball” lesions in the posterior halfof the corpus callosum in a patient with Susac syndrome. Reprinted from Journal of the Neurological Sciences, vol. 299, Rennebohm et al., “Susac’s syndrome — update,” p. 87, © 2010, with permission from Elsevier.

Fortunately, experienced and prompt use of aggressive, sustained immunosuppression (typically a corticosteroid, IV immunoglobulin, and either mycophenolate or cyclophosphamide) can markedly improve outcomes. In severe cases, treatment with cyclophosphamide and/or plasma exchange may be a consideration.

Advertisement

The immunopathogenesis of SuS appears to be quite similar to that occurring in dermatomyositis. A leading hypothesis is that the earliest immune aberration might be dysregulation (inappropriate upregulation) of the type 1 interferon system within the microvasculature of the brain, retina and inner ear. The thinking is that this leads to varying degrees of occlusive endothelial cell swelling and injury within those microvasculatures.

Addressing SuS on multiple fronts

Timely diagnosis of SuS is extremely important to ensure appropriate treatment before irreversible harm to the brain, retina and inner ear occurs. Few clinicians are highly experienced with this disease. The care and diagnosis of patients with SuS requires a team of experts familiar not only with this condition but also with its mimics to ensure an accurate diagnosis and workup.

In response to these needs, Cleveland Clinic has established an array of clinical services and research/educational initiatives specific to SuS. These include:

  • The Susac Syndrome Consultation Clinic, designed to comprehensively evaluate patients with definite or suspected SuS. The clinic is staffed by a multidisciplinary team of specialists (from adult and pediatric rheumatology, neurology, ophthalmology, neuro-otology, otolaryngology and neuroradiology) who have particular expertise in inflammatory diseases affecting the brain, eye and inner ear. As of late 2015, 50 patients from 23 states and three countries had been evaluated in this clinic.
  • The International Susac Syndrome Consultation Service, which serves patients with SuS (and their providers) who cannot travel to Cleveland Clinic. It includes the Susac Syndrome MyConsult Program, a secure online second opinion service involving review of a patient’s medical records and associated imaging studies, a team-generated expert opinion on diagnosis and treatment, and options for ongoing expert consultation on patient management. Our team also fields physician and patient questions about SuS, responding to email or phone inquiries related to 120 individual patients from 29 states, 25 countries and six continents to date. In addition to benefiting these patients and their providers, this service has substantially advanced our understanding of SuS.
  • The International Collaborative Study of Susac Syndrome, an IRB-approved investigation launched by Cleveland Clinic to prospectively and retrospectively study the presentation, clinical course, treatment, long-term outcomes and immunopathogenesis of SuS. Any patient in the world with SuS is eligible to participate.
  • The International Disease Registry for Susac Syndrome, a key component of the above study designed to collect essential basic information on as many patients with SuS as possible from around the world.
  • An SuS educational website, clevelandclinic.org/susac, which provides extensive information on the condition, the International Collaborative Study and much more for both providers and patients.

Advertisement

Meeting the challenges of SuS through collaboration

Because SuS is a relatively newly recognized entity with the potential to cause devastating harm to the brain, retina and inner ear, we need broad-based efforts to detect it, manage it appropriately and understand it better. At the individual patient level, that means taking a collaborative, multidisciplinary approach to its evaluation and management. At the international level, it means pooling experience and expertise through initiatives like those outlined above.

Dr. Hajj-Ali is a staff physician in the Center for Vasculitis Care and Research and the R.J. Fasenmyer Center for Clinical Immunology in Cleveland Clinic’s Department of Rheumatic and Immunologic Diseases.

Dr. Rennebohm, a pediatric rheumatologist in Cleveland Clinic Children’s Center for Pediatric Rheumatology, is Director of the Susac Syndrome Consultation Clinic.

Image at top reprinted from Journal of the Neurological Sciences, vol. 299, Rennebohm et al., “Susac’s syndrome — update,” p. 87, © 2010, with permission from Elsevier.

Advertisement

Related Articles

woman demonstrating a pririformis syndrome stretch
May 31, 2024/Pediatrics

Erin Rich Text Video Test

Try these moves to relieve butt pain and numbness

Woman in chair breastfeeding an infant
March 15, 2024/Pediatrics/Primary Care

Breastfeeding Duration in U.S. Closely Linked With Length of Maternity Leave

Systemic change needed to improve health outcomes for parents and children, say researchers

Illustration of a liver

Case Study: Late Diagnosis of Glycogen Storage Disease

Rare genetic variant protected siblings against seizures and severe hypoglycemia

Young girl plays with a doll in a dollhouse

Is Barbie Really Detrimental to Girls’ Self-Esteem and Body Image?

Movie has more positive impact than expected, says Head of Adolescent Medicine

Smiling child in green shirt with superimposed outline of the lymphatic system

Trials to Study Use of 2 Cancer Drugs in Patients With Lymphatic Malformations

Genetic changes are similar between some vascular anomalies and cancers

Surgeon wearing a surgical cap, glasses and mask
February 19, 2024/Pediatrics/Cardiac Surgery

New Recommendations for Pediatric Cardiac Surgery for Congenital Heart Disease

Expert panel advises a two-tier structure for surgical centers

Surgeon wearing a surgical cap and mask
February 15, 2024/Pediatrics/Surgery

Minimally Invasive Surgery in Neonates: Q&A With Miguel Guelfand, MD

Our new head of pediatric general and thoracic surgery shares his passion and vision

CQD-3982358-amdani-650×450
February 13, 2024/Pediatrics/Cardiology

Experts Define Research Gaps in Pediatric Heart Failure

Basic understanding of condition and treatment is lacking

Ad