Locations:
Search IconSearch
January 15, 2019/Pulmonary/Research

Pulmonary Arterial Diameter Predicts Mortality in Pulmonary Arterial Hypertension Patients

Increase signals disease progression

Tonelli-CQD-Image-650x450pxl

Patients with pulmonary arterial hypertension (PAH) often present with dilated pulmonary arteries (PA). The literature says little, however, on variations in size of the pulmonary artery over time, whether such changes track with disease progression and whether or not they predict patients’ long-term survival.

Advertisement

Cleveland Clinic is a non-profit academic medical center. Advertising on our site helps support our mission. We do not endorse non-Cleveland Clinic products or services. Policy

Recently, a group of Cleveland Clinic physicians decided to test whether patients with PAH have PA dilation that worsens over time and whether that is associated with worse outcomes.

“We looked at patients with pulmonary arterial hypertension who had at least two CT scans of their chest done on different occasions,” says Adriano Tonelli, MD, Department of Pulmonary Medicine. “We also reviewed their echocardiograms and six-minute walk tests that were performed at the same time as the CT scan. To our knowledge, this is the first study to assess changes in pulmonary artery diameter over time in patients with PAH.”

Patient characteristics and results

Dr. Tonelli and his colleagues studied a cohort of 113 PAH patients of which 28 percent were male and 72 percent were female. The racial breakdown was 77 percent white, 22 percent African American and 1 percent Asian. Finally, the origin of their PAH was 44 percent connective tissue disease, 30 percent idiopathic, 11 percent congenital heart disease, 10 percent portal hypertension, 5 percent heritable and 2 percent associated with anorexigens/toxins.

They found that the main PA diameter increased by at least 1 mm in 40 percent of the patients after 12-month follow up. Overall their data show that time between CT scans was directly associated with the increase in PA diameter. When adjusted by time between scans and difference in slice thickness, three variables were associated with a more pronounced mean PA diameter: a higher PA pulse pressure and lower PA compliance during right heart catheterization, worse RV function on the echocardiograms performed close to the first and second CT scans andhigher right ventricular systolic pressure (RVSP). A decline in the six-minute walk test was also associated with PA dilation.

Advertisement

Mortality predictors

The researchers found that main PA diameter at baseline was a significant predictor of mortality, when adjusted for difference in time and slice thickness between CT scans, age, gender and PVR. The change in main PA diameter over time was also a significant predictor of mortality when adjusting for the same factors or when adding the diameter of the main PA at baseline, origin of PAH or time from the diagnostic right heart catheterization and initial CT scan of the chest.

“We found that for every 1 mm expansion in the main pulmonary artery, there was a 28 percent increase in mortality,” Dr. Tonelli says.

Change in PA area significantly impacted survival. The median follow-up was 33 months, during which 53 patients (46.9 percent) died and six were censored due to lung transplant. Survival at one and two years was 65 percent and 61 percent, respectively. However, the changes in other determinations such as main PA/Ao diameter ratio, right PA diameter and left PA diameter, were not significant predictors of survival when adjusted for similar variables as used in previous analyses.

Small group shows diameter decline

Thirteen percent of patients demonstrated a decrease in PA diameter over time. Six had a reduction of at least 1 mm and five of at least 3 mm when CT scans were performed at least 12 months apart. The effect was more prominent in patients with portopulmonary hypertension than in those with idiopathic PAH.

“The reason for the decrease is unclear,” says Dr. Tonelli. “It may be due to reverse remodeling of the pulmonary artery due to improvement in pulmonary hemodynamics and/or decrease in intravascular volume.”

Advertisement

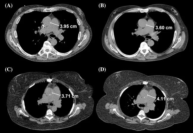
Feature image: Main PA diameter measurement during first and second CT scans of the chest. Panels (A) and (B) correspond to a PAH patient in whom the main PA diameter decreased by 3.5 mm, while panels (C) and (D) showed the axial CT cuts of another PAH patients in whom the main PA diameter increased by 4 mm during follow‐up. Originally published in Respirology.

Advertisement

Related Articles

Image of lungs
February 28, 2024/Pulmonary/Research
New Cleveland Clinic-Led Research Highlights Novel Disease Monitoring Technique in Heart Failure

Volatile organic compounds have potential in heart failure diagnostics

24-PUL-4507382-CQD-Portopulmonary-Hypertension-Hero-967×544
January 26, 2024/Pulmonary/Research
Portopulmonary Hypertension: A Focused Review for the Internist

Insights for diagnosing, assessing and treating

opioids
December 6, 2023/Pulmonary/Research
Can Kappa and Alpha-2 Agonist Agents Treat Opioid-Induced Ventilatory Depression Risk While Preserving Analgesic Effects?

Two NIH grants are looking at developing new antidotes against fentanyl overdose

Lab research
November 22, 2023/Pulmonary/Research
Unravelling the Mysteries of Sepsis and Septic Shock

Exploring the responses to medications and other supportive therapies

spirometry
August 7, 2023/Pulmonary/Research
A Tool to Help in Transition to “Race-Neutral” PFT Interpretation

A set of graphs helps quantify the expected changes in forced expiratory volume at one second (FEV1), forced vital capacity (FVC) and FEV1/FVC ratio with the new race-neutral equation

Dyspnea
June 2, 2023/Pulmonary/Research
Persistent Dyspnea after COVID-19 Infection: Evaluation and Management

Because of the associated symptoms, a multidisciplinary approach to care is essential

Imaging of ribcage
March 8, 2023/Pulmonary/Research
COPD and Skeletal Muscle Mass: Discovering New Possibilities

Patients with COPD are often affected by sarcopenia, but the underlying mechanisms for the development are poorly understood. New research looks into the causes and potential therapies

Lungs
January 19, 2023/Pulmonary/Research
Looking at the Impact of the New Lung Transplant Allocation System

Research explores how incorporating long-term benefits will impact the new U.S. lung transplant allocation system

Ad