Locations:
Search IconSearch

Making Headway in Pediatric Nephrotic Syndrome

Multicenter trials may hold key to new treatments

690×380-Dell

By Katherine Dell, MD

Advertisement

Cleveland Clinic is a non-profit academic medical center. Advertising on our site helps support our mission. We do not endorse non-Cleveland Clinic products or services. Policy

Nephrotic syndrome (NS) remains one of the most challenging diseases in pediatric nephrology. This rare kidney condition is classically defined by edema, heavy proteinuria, hypoalbuminemia and hyperlipidemia. Treatments are limited, have varying effectiveness and are potentially toxic.

In an effort to answer critical questions about this disease that may lead to better treatments, Cleveland Clinic Children’s is participating in two important NIH-sponsored studies.

The Nephrotic Syndrome Study Network (NEPTUNE) is an ongoing, prospective, observational study that seeks answers to questions about etiologies, diagnostics, effective treatments, quality of life and complications in children and adults with primary NS. Started in 2010, the study has been collecting blood and urine samples from participants several times per year, in addition to tissue samples and DNA. The second phase of this study will soon be opening and will enroll children with new-onset NS in hopes of capturing the full spectrum of pediatric NS.

The second study, Cure Glomerulonephropathy (CureGN), is a multicenter, longitudinal, prospective study of glomerular diseases, including primary NS. The study recently opened and will eventually enroll approximately 2,400 children and adults with one of the following conditions:

  • Minimal change NS (MCNS)
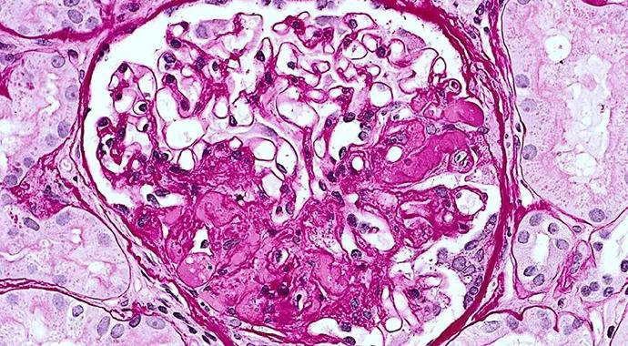
  • Focal segmental glomerulosclerosis (FSGS, depicted in the pathology image at the top of this post)
  • Membranous nephropathy
  • IgA nephropathy

CureGN will collect both genetic and biological samples.

Advertisement

Novel treatments emerge from multicenter collaborations

A major advantage of multicenter studies such as NEPTUNE and CureGN is the ability to connect a larger number of patients than would be available at an individual site with investigators who are interested in studying the disease. This often produces ancillary studies.

One example is the DUET study, a joint venture between NEPTUNE and a pharmaceutical company. Cleveland Clinic Children’s is one of a handful of pediatric centers participating in this study of an investigational medication — the dual endothelin receptor and angiotensin receptor blocker RE-021 — to decrease proteinuria in pediatric and adult patients with FSGS.

In another example, we are working with other pediatric NEPTUNE investigators to develop a prospective study of a gluten-free diet as an adjunct to standard treatment for NS. The idea sprang from observations made in NEPTUNE that suggest a strict gluten-free diet may improve proteinuria in a subset of patients with steroid-resistant NS or frequently relapsing or steroid-dependent steroid-sensitive NS.

One syndrome, three pathologies, myriad causes

The most common causes of primary NS are MCNS, FSGS and, less commonly in children, membranous nephropathy.

Younger children (typically ages 2 to 6) who present with the classic features of NS have a very high likelihood of having MCNS. They do not typically undergo renal biopsy but are empirically treated with prednisone. Those who respond and enter remission are deemed to have steroid-sensitive NS. Their long-term prognosis is excellent, with resolution of the disease occurring in the majority by adolescence. However, relapses throughout childhood may occur.

Advertisement

A subset will have steroid-dependent NS or frequently relapsing NS, which may require additional immunosuppressive therapies such as cyclosphosphamide or mycophenolate mofetil to avoid the significant side effects of long-term steroid use.

More worrisome are those who do not respond to the initial course of steroids and are deemed to have steroid-resistant NS. These children, as well as those with clinical features at presentation that increase their likelihood of having steroid-resistant NS (including acute kidney injury, hypertension, older age and African-American race), undergo diagnostic kidney biopsies. FSGS is the most likely finding, but MCNS or its variants (such as mesangial proliferative glomerulonephritis) are not uncommon.

Why new treatments are needed

Calcineurin inhibitors such as cyclosporine or tacrolimus are considered first-line therapy for steroid-resistant NS and produce a full or partial response in about 50 percent of patients. It is impossible to predict who will respond to these treatments or how long they will remain responsive. Newer therapies, such as rituximab, have also been utilized, but with variable results.

Steroid-resistant NS may require intermittent, prolonged courses of corticosteroids in addition to maintenance immunosuppression. The overall prognosis for these patients remains poor, with the majority eventually progressing to end-stage renal disease (ESRD). In fact, steroid-resistant NS constitutes about 20 percent of the pediatric ESRD population. FSGS also has a high risk of relapse after kidney transplantation, with no reliable predictors of which patients will relapse.

Advertisement

Clues from recent genetics studies

Although the three major underlying causes of primary NS have been well-characterized histologically, their underlying etiologies remain elusive. Increasingly, genetic defects have been identified as a cause of steroid-resistant NS, especially FSGS. Attention has been focused on genes encoding proteins that comprise or support the slit diaphragm, the structure that connects individual podocytes and maintains integrity of the glomerular filtration mechanism. Mutations in several of these genes have been identified in patients with familial and sporadic FSGS. These genetic studies have also highlighted the phenotypic variability of diseases that appear similar under the microscope.

At Cleveland Clinic Children’s Center for Pediatric Nephrology, we recognize the challenges inherent in NS and are encouraged by recent findings. We remain committed to offering the latest treatments by making cutting-edge studies available to our patients and their families.

Dr. Dell is Associate Professor of Pediatrics, Cleveland Clinic Lerner College of Medicine, as well as a staff physician in the Center for Pediatric Nephrology and Director of Clinical and Translational Research at Cleveland Clinic Children’s.

Image at top of post courtesy of Leal Herlitz, MD, Cleveland Clinic.

Advertisement

Related Articles

woman demonstrating a pririformis syndrome stretch
May 31, 2024/Pediatrics

Erin Rich Text Video Test

Try these moves to relieve butt pain and numbness

Woman in chair breastfeeding an infant
March 15, 2024/Pediatrics/Primary Care

Breastfeeding Duration in U.S. Closely Linked With Length of Maternity Leave

Systemic change needed to improve health outcomes for parents and children, say researchers

Illustration of a liver

Case Study: Late Diagnosis of Glycogen Storage Disease

Rare genetic variant protected siblings against seizures and severe hypoglycemia

Young girl plays with a doll in a dollhouse

Is Barbie Really Detrimental to Girls’ Self-Esteem and Body Image?

Movie has more positive impact than expected, says Head of Adolescent Medicine

Smiling child in green shirt with superimposed outline of the lymphatic system

Trials to Study Use of 2 Cancer Drugs in Patients With Lymphatic Malformations

Genetic changes are similar between some vascular anomalies and cancers

Surgeon wearing a surgical cap, glasses and mask
February 19, 2024/Pediatrics/Cardiac Surgery

New Recommendations for Pediatric Cardiac Surgery for Congenital Heart Disease

Expert panel advises a two-tier structure for surgical centers

Surgeon wearing a surgical cap and mask
February 15, 2024/Pediatrics/Surgery

Minimally Invasive Surgery in Neonates: Q&A With Miguel Guelfand, MD

Our new head of pediatric general and thoracic surgery shares his passion and vision

CQD-3982358-amdani-650×450
February 13, 2024/Pediatrics/Cardiology

Experts Define Research Gaps in Pediatric Heart Failure

Basic understanding of condition and treatment is lacking

Ad