Locations:
Search IconSearch

Case Study: Subcortical Dementia Associated with Abnormal Calcium Deposition

Fahr’s syndrome in older man with hypoparathyroidism

Image-for-Fahr’s_650x450 (003)

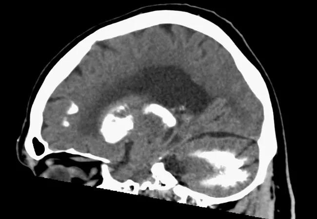
Striopallidodentate calcinosis (SPD), also known as Fahr’s syndrome, is a rare condition characterized by abnormal deposition of calcium in the brain. In a poster session during the American Geriatrics Society’s annual meeting in May 2018, Anas Souqiyyeh, MD, a fellow in Cleveland Clinic’s Department of Geriatrics, and his colleagues presented a case of a 68-year-old man with idiopathic hypoparathyroidism and hypertension who complained of short-term memory decline.

Advertisement

Cleveland Clinic is a non-profit academic medical center. Advertising on our site helps support our mission. We do not endorse non-Cleveland Clinic products or services. Policy

The patient reported vision deterioration and low energy, but his physical examination was normal and he denied a history of strokes or seizures. Imaging revealed extensive symmetrical calcifications in the bilateral caudate, basal ganglia, thalamus and dentate nuclei of the cerebellum. Bilateral frontal subcortical deposits were noted as well. The patient underwent neuropsychological testing, the results of which were consistent with deficits in the frontal-subcortical domains.

“When you have a patient with any type of memory decline, it is important to consider the many subtypes of dementias affecting the cortical regions, where most of the dementias implicate, but we also have to consider subcortical regions,” says Dr. Souqiyyeh. “Any subcortical damage could lead to cortical damage, especially when there is a chronic medical condition like hypoparathyroidism that disrupts calcium homeostasis and could eventually lead to calcium deposits in watershed subcortical brain.”

Taken together, the test results, physical examination and medical history for this patient were consistent with Fahr’s syndrome, he says.

Background on Fahr’s Syndrome

The deposits seen in patients with Fahr’s syndrome can be comprised of many elements but are usually calcium phosphate or carbonate, and are typically found in the basal ganglia, cerebral cortex, hippocampus, thalamus, dentate nucleus and subcortical white matter. Clinically, the syndrome is characterized by extrapyramidal symptoms and neuropsychiatric disorders such as Parkinsonism or chorea.

Advertisement

The syndrome is so rare that there is no data on its true prevalence and even less is known of its morbidity and mortality. “We mostly see isolated cases,” he says. Of interest, primary SPD, or Fahr’s disease, is usually genetically determined, with five implicated chromosomal regions (IBGC1-5) currently that lead to faulty calcium and phosphate channels in the central nervous system. Secondary causes of SPD related to the development of Fahr’s syndrome include hypoparathyroidism, as seen in this case, hyperparathyroidism and pseudohypoparathyroidism, brain infections and tumors, systemic lupus erythematosus, head injuries and various metabolic disturbances.

Cognitive impairment occurs in 39 percent of cases. “Cognitive deterioration is the result of neuronal disruption between the basal ganglia and the cortex,” he explains, “which eventually leads to fronto-temporal neuronal loss and the formation of cortical neurofibrillary aggregates.”

Lack of Treatment Options

“Unfortunately, given the rarity of this condition, there is no dedicated treatment for Fahr’s syndrome, so we rely on off-label use of anticholinesterase inhibitors and NMDA antagonists,” he says. Parathyroid hormone replacement therapy is not the current standard of care in hypoparathyroidism, and it is not known if it would offer prevention or alleviate progression.

Even though this is a neurodegenerative disease, Dr. Souqiyyeh says it is important to perform neuropsychiatric evaluations periodically. “These patients often present with psychiatric changes in mood, such as depression and anxiety, which might be missed and can be treated.”

Advertisement

The current patient has been placed on an anticholinesterase inhibitor, and is also trying herbal remedies on his own. The team is working with his endocrinologist to ensure his hypoparathyroidism is controlled.

Advertisement

Related Articles

23-NUR-3991010-NN-Rsrch-BabyDollStudy-CQD_650x450
December 11, 2023/Geriatrics

Baby Doll Therapy Shows Promise for Managing Agitation in Patients with Dementia

Pilot study confirms feasibility of conducting additional research on the novel treatment

Elderly woman with a disability and a walker exercising
October 13, 2023/Geriatrics

‘No Place Like Home’ for Older Adults to Recover From Hip Replacement

Longer hospitalization does not mean a safer, faster recovery for patients age 70+

23-GER-4067514-CQD-Hero-650×450-1
October 11, 2023/Geriatrics/Research

Electronic Medical Records May Be Key to Diagnosing Delirium in Geriatric Emergency Patients

Structured data helps identify older adults at risk for poor outcomes, defines patients who require more comprehensive assessments

23-CCC-3832608-CQD-Hero-650×450
April 27, 2023/Geriatrics

1-Minute Consult: Does My Patient Need To Be Screened or Treated for a UTI?

23-NEU-3600025-165292944-CQD-Hero-650×450
March 7, 2023/Geriatrics

New Cognitive Battery Reliably Screens for MCI, Early AD in Primary Care Setting

Self-administered tool can be completed in 10 minutes in waiting room

Smiling couple holding hands and finishing dance in community center

Unconventional Approach to Geriatric Complaints Appears to Decrease Emergency Visits and Symptoms

Social prescribing turns leisure activities into good “medicine”

22-NUR-3086263-NN-CmpltAdvncDrctv-GertrcClinic-CQD_650x450
January 26, 2023/Geriatrics

Advance Directives in Older Adults: Why Are Completion Rates Low?

A large geriatric study aims to find the answers

Telemedicine doctors and patients
January 18, 2023/Geriatrics/Research

Virtual Capacity Evaluations May Provide Distinct Safeguards for Geriatric Patients

Analysis underscores how telehealth can help pinpoint elder abuse

Ad