Locations:
Search IconSearch
January 18, 2016/Pulmonary/Case Study

Case Study: CTEPH and Mediastinal Venous Malformation

Pulmonary thromboendarterectomy prolongs life expectancy

Case Study: CTEPH and Mediastinal Venous Malformation

By Gustavo Heresi, MD, Marcelo Gomes, MD, Karunakaravel Karuppasamy, MD, Abraham Levitin, MD, and Nicholas Smedira, MD

Advertisement

Cleveland Clinic is a non-profit academic medical center. Advertising on our site helps support our mission. We do not endorse non-Cleveland Clinic products or services. Policy

A 21-year-old female with a diagnosis of chronic thromboembolic pulmonary hypertension (CTEPH) was referred to Cleveland Clinic for heart-lung transplantation. She was considered not to be a candidate for pulmonary thromboendarterectomy (PTE) due to a large venous malformation in the mediastinum. She was born with a left axillary mass, for which she received no treatment. She reported a one-year history of dyspnea on exertion. Six months prior she had an acute pulmonary embolism. Her dyspnea progressed to functional class III upon presentation in spite of ongoing anticoagulation.

Case study

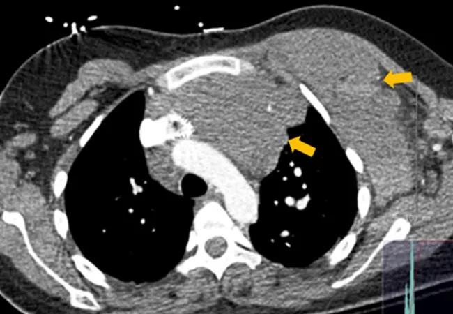
Chest computed tomography (CT) showed a huge venous malformation in the left anterior mediastinum lying immediately behind the sternum, extending across the midline anterior to the thoracic aorta and across the thoracic outlet into the left axilla and chest wall; the mass abutted the right ventricular outflow tract and the main pulmonary artery.

Angiography showed her left axillary vein bifurcated and fed the malformation, which drained into the left innominate and, ultimately, the superior vena cava (SVC). Magnetic resonance angiography additionally depicted thrombosis in the axillary portion of the malformation, and a series of tandem covered stents extending 18 cm from the left axillary vein to the SVC that had been placed at another institution to isolate the malformation from the systemic circulation.

Both chest CT and invasive pulmonary angiography documented central chronic thromboembolic disease. Right heart catheterization demonstrated severe pulmonary hypertension and severely elevated pulmonary vascular resistance.

Advertisement

Treatment protocol

The patient underwent direct puncture venography of the malformation, which documented minimal early drainage into the mediastinum. Embolization of multiple feeding pathways and of the malformation itself was successfully carried out.

During PTE, the surgeon spent several hours dissecting the mass from the mediastinal structures and mobilizing it both superiorly and to the left side. An incision was made in the thickest portion of the malformation, the clot was extracted and a basket sucker was used to maintain it in a decompressed state.
A complete endarterectomy was performed using 23 minutes of circulatory arrest for the left and 10 minutes for the right side. The patient had an uneventful postoperative course with significant hemodynamic improvement.

Results

The estimated five-year survival after PTE is 85 to 90 percent, compared with the estimated 50 percent five-year survival post-lung transplantation. Accordingly, performing PTE significantly prolonged the estimated life expectancy of this young woman.

Pre-PEA/Post-PEA Chart
Figure 1. CT Chest

Figure 1. CT Chest

Figure 2. Magnetic resonance angiography.

Figure 2. Magnetic resonance angiography.

Dr. Heresi, Medical Director of the Pulmonary Thromboendarterectomy Program in the Respiratory Institute, can be reached at 216.636.5327 or heresig@ccf.org. Dr. Gomes, a vascular medicine specialist, can be reached at 216.444.3352 or gomesm2@ccf.org. Dr. Karuppasamy, an interventional radiologist, can be reached at 216.444.0412 or karuppk@ccf.org. Dr. Levitin, an interventional radiologist, can be reached at 216.444.2244 or levitia@ccf.org. Dr. Smedira, a cardiothoracic surgeon, can be reached at 216.445.7052 or smedirn@ccf.org.

Advertisement

Related Articles

POCUS
November 16, 2022/Pulmonary/Case Study
Case Study: Point of Care Ultrasound to Guide Complex Hemodynamic Management

A recent case illustrates how timely and appropriate use of POCUS can provide benefits at all stages of the care path

CT of chest
November 2, 2022/Pulmonary/Case Study
Case Report: Pulmonary Hypertension in a Patient with IgG4-Related Disease

An inability to obtain a biopsy of the patient’s hilar lymphadenopathy due to severe PAH and severe hypoxemia made diagnosis verification challenging

Sarcoidosis
July 12, 2022/Pulmonary/Case Study
Case Study: Pulmonary Sarcoidosis

A multidisciplinary approach to treatment can be beneficial since other organs in addition to the lungs can be affected by the systemic disease

chest examination
April 21, 2022/Pulmonary/Case Study
Dyspnea, Wheezing and Cough: A Case Study

This case illustrates the importance of looking at the bigger picture when considering a patient’s respiratory symptoms.

21-PUL-2311233 Comples Case Immunology Fernandez_CQD
September 20, 2021/Pulmonary/Case Study
Case Report: Common Variable Immunodeficiency and Lung Disease

Multidisciplinary treatment of rare and complex immunodeficiencies

21-PUL-2223308_Fig3B 650×450-hero
August 18, 2021/Pulmonary/Case Study
Case Study: Invasive Cardiopulmonary Exercise Testing Helps Uncover True Cause of Dyspnea

Ruling out a common diagnosis and identifying an elusive condition

650×450-Chronic-thromboembolic-pulmonary-hypertension
February 2, 2021/Pulmonary/Case Study
Expert CTEPH Centers Provide Valuable Diagnostic and Therapeutic Skill

Pulmonary endarterectomy improves outcomes for many patients

650×450-vape-CT-chest-coronal
November 1, 2019/Pulmonary/Case Study
A Closer Look at Vaping-Associated Lung Injury: What You Can Do for Your Patients

Physicians present a case study, discuss clinical guidelines and the value of a multidisciplinary approach

Ad