Locations:
Search IconSearch
November 2, 2022/Pulmonary/Case Study

Case Report: Pulmonary Hypertension in a Patient with IgG4-Related Disease

An inability to obtain a biopsy of the patient’s hilar lymphadenopathy due to severe PAH and severe hypoxemia made diagnosis verification challenging

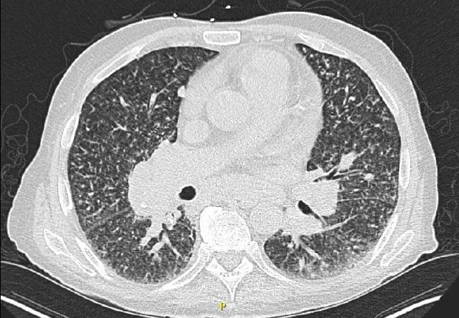
CT of chest

Written by Eduardo Mireles-Cabodevila, MD, and Jaime Vondenberg, DO

Advertisement

Cleveland Clinic is a non-profit academic medical center. Advertising on our site helps support our mission. We do not endorse non-Cleveland Clinic products or services. Policy

Presentation

A 65-year-old-man was referred to Cleveland Clinic’s Medical Intensive Care Unit (MICU) for emergent evaluation for lung transplantation. The patient was diagnosed with idiopathic pulmonary hypertension three years prior to admission. Therapy for this had escalated to an infusion of treprostinil, oral tadalafil and macitentan. He developed worsening hypoxemia and features of right heart failure that led to admission to another facility. The patient was referred to Cleveland Clinic for accelerated transplant evaluation as the course of the disease progressed. On arrival to the MICU, the patient required a 100% high-flow nasal cannula to maintain oxygen saturations above 90%. With effort or cough, the patient would desaturate, and he had to be placed on an additional oxygen face mask.

There were several atypical features related to idiopathic pulmonary hypertension. They had periungual erythema and periorbital and forearm violaceous, erythematous and edematous dermatitis. A CT of the chest (Figure 1) revealed hilar/mediastinal lymphadenopathy, multiple bilateral pulmonary nodules, chronic interstitial prominence and interlobular thickening suggestive of pulmonary veno-occlusive disease (PVOD)/pulmonary capillary hemangiomatosis. The initial laboratories demonstrated hypereosinophilia (2700 eosinophils /uL). The team involved consultants from the advanced lung disease service, dermatology, rheumatology and immunology.

Management

A pulmonary artery catheter revealed pulmonary hypertension (mean 52 mmHg) with normal right atrial pressure (6 mmHg), normal pulmonary capillary occlusion pressure (16 mmHg) but an elevated cardiac index (3.1 L/min/m2). This was suggestive of vasodilator therapy overdose, so treprostinil was weaned down. The patient’s hypoxemia and hypereosinophila worsened and peaked at 3800 eosinophils/uL (Figure 1). Steroids were prescribed while further workup was done.

Advertisement

Testing did not reveal any allergic/infectious etiology, and skin biopsy was not consistent with connective tissue disease. Rheumatologic serologies were notable for cANCA positivity, but PR-3/MPO and ANA by IFA were both negative. RNP antibody was elevated at 4.8 AI, IgE was elevated at 2,243 kU/L, IgG4 was elevated at 2,434 mg/dL, and low complement C3 level 53mg/dL and low complement C4 level < 2mg/dL. These serologies, in addition to the patient’s clinical presentation, were not consistent with eosinophilic granulomatosis with polyangiitis, idiopathic inflammatory myopathies, antisynthetase syndrome or scleroderma sine sclerosis. Given that the antibody profile did not appear consistent with a unifying diagnosis, there was a concern for infection or malignancy so a PET-CT from skull to thigh was ordered. The PET-CT was notable for FDG-avid uptake of the thyroid gland, most notably the right side of the thyroid, but without discrete nodules.

In the context of the patient’s severe pulmonary arterial hypertension, CT findings with hilar lymphadenopathy as well as reticulonodular and ground-glass opacities in both lungs, the concern for PVOD, elevated IgG4, hypereosinophilia and low C3/C4 — all of which had been responsive to steroid therapy — IgG4 related disease (IgG4-RD) appeared to be the most likely unifying diagnosis. (Figure 2)

Eosinophil and IgG4 levels and its relation with steroid dosing

Figure 2. Eosinophil and IgG4 levels and its relation with steroid dosing

Implications

IgG4-RD is characterized by fibroinflammatory infiltrate and the ability to affect any organ system, though with a predilection for the endocrine system. Pathology of IgG4-RD consists of lymphoplasmacytic infiltrate, which, on further immunohistochemistry staining, reveals IgG4 deposition. The 2020 revised comprehensive diagnostic (RCD) criteria for IgG4-RD include three criteria:

  1. Clinical and radiological features showing one or more organs with diffuse/localized swelling or a mass or nodule characteristic of IgG4-RD.
  2. Presence of serum IgG4 levels >135mg/dL.
  3. Pathological diagnosis with at least two of the following three criteria present: dense lymphocyte and plasma cell infiltration with fibrosis, IgG4+ plasma cells greater than 40% and the number of IgG4+ plasma cells >10/HPF, or typical tissue fibrosis (usually storiform fibrosis or obliterative phlebitis).

Advertisement

Other findings that can be seen in IgG4-RD include hypereosinophilia, hypocomplementemia and an elevated IgE level — all of which were seen in this case. IgG4-RD is generally very steroid responsive, as was also demonstrated in this case.

Ideally in the diagnosis of IgG4-RD, tissue diagnosis would also be completed to verify the diagnosis. The main limiting factor, in this case, was the inability to obtain a biopsy of the patient’s hilar lymphadenopathy due to severe PAH and severe hypoxemia. For this reason, we discussed with the patient obtaining a biopsy of the thyroid gland to further support the suspected diagnosis of IgG4-RD. Cytopathology of the thyroid revealed chronically inflamed fibrous tissue and Hurthle cells both of which can be seen in the sclerosing variant of Hashimoto’s thyroiditis and IgG4-RD. Unfortunately, in this case, IgG4 staining was limited due to high background staining/fine needle aspiration as opposed to open excision and could not provide a definitive diagnosis of IgG4-RD. Despite the limitations of the fine needle aspiration, the cytology findings in addition to elevated TPO and thyroglobulin antibodies were supportive of the suspected IgG4RD diagnosis. The patient was discharged after 27 days, only with oxygen with exertion. Therapy with prednisone 20mg daily was continued for further follow-up with our pulmonary and rheumatology departments.

Advertisement

Related Articles

POCUS
November 16, 2022/Pulmonary/Case Study
Case Study: Point of Care Ultrasound to Guide Complex Hemodynamic Management

A recent case illustrates how timely and appropriate use of POCUS can provide benefits at all stages of the care path

Sarcoidosis
July 12, 2022/Pulmonary/Case Study
Case Study: Pulmonary Sarcoidosis

A multidisciplinary approach to treatment can be beneficial since other organs in addition to the lungs can be affected by the systemic disease

chest examination
April 21, 2022/Pulmonary/Case Study
Dyspnea, Wheezing and Cough: A Case Study

This case illustrates the importance of looking at the bigger picture when considering a patient’s respiratory symptoms.

21-PUL-2311233 Comples Case Immunology Fernandez_CQD
September 20, 2021/Pulmonary/Case Study
Case Report: Common Variable Immunodeficiency and Lung Disease

Multidisciplinary treatment of rare and complex immunodeficiencies

21-PUL-2223308_Fig3B 650&#215;450-hero
August 18, 2021/Pulmonary/Case Study
Case Study: Invasive Cardiopulmonary Exercise Testing Helps Uncover True Cause of Dyspnea

Ruling out a common diagnosis and identifying an elusive condition

650&#215;450-Chronic-thromboembolic-pulmonary-hypertension
February 2, 2021/Pulmonary/Case Study
Expert CTEPH Centers Provide Valuable Diagnostic and Therapeutic Skill

Pulmonary endarterectomy improves outcomes for many patients

650&#215;450-vape-CT-chest-coronal
November 1, 2019/Pulmonary/Case Study
A Closer Look at Vaping-Associated Lung Injury: What You Can Do for Your Patients

Physicians present a case study, discuss clinical guidelines and the value of a multidisciplinary approach

650&#215;450-Bacteria
August 19, 2019/Pulmonary/Case Study
Phage Therapy for Multidrug Resistant Bacterial Infections

Cleveland Clinic experience with a lung transplant patient

Ad