Not always a contaminant in the lung
By Josephine Dermawan, MD, PhD, and Sanjay Mukhopadhyay, MD
Advertisement
Cleveland Clinic is a non-profit academic medical center. Advertising on our site helps support our mission. We do not endorse non-Cleveland Clinic products or services. Policy
Since Candida is frequently isolated from the respiratory tract, particularly in patients who are intubated in the intensive care unit, such isolates are believed to reflect airway colonization and not true infection. Most cases of Candida pneumonia that have been reported in existing literature were based on positive cultures of sputum and/or bronchoalveolar lavage (BAL), usually without histologic confirmation. In this case report recently published in Medicine (Baltimore), we present an instance of true Candida pneumonia supported by evidence from three different modalities: microbiologic cultures, molecular studies (PCR) and histologic evidence of fungal organisms in lung biopsy specimens.
A 59-year-old man with a history of chronic obstructive pulmonary disease (COPD) presented with low-grade fever, dry cough and progressive dyspnea. Initial chest CT showed mild left lower lobe consolidation and tiny lung nodules. He was initially treated for pneumonia and discharged on oral antibiotics. He returned shortly with worsening symptoms, and chest CT showed progression of his lung opacities to bilateral infiltrates with mediastinal lymphadenopathy. A transbronchial lung biopsy showed non-necrotizing granulomas, and no organisms were seen on special stains (AFB and Grocott methenamine silver, GMS). Based on the radiologic findings and lung granulomas, he was diagnosed with sarcoidosis and started on corticosteroid therapy.
He was readmitted within days with worsening symptoms, and upon admission required intubation for hypoxia. Chest CT showed confluent airspace opacities, further progression of lung nodules and mediastinal lymphadenopathy and development of pericardial effusion, requiring drainage. Thoracoscopic wedge biopsies of the lung along with biopsies of pericardial tissue were obtained. Broad spectrum antibiotics, including amphotericin B, were administered.
Advertisement
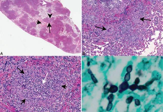
Surgical lung biopsy showed extensive necrotizing (suppurative) granulomatous inflammation. On GMS stains, fungal organisms (mainly pseudohyphae) were identified within the necrotic centers of the granulomas. Identical findings were seen in the pericardial biopsies. The paraffin-embedded tissue blocks were sent to the CDC for further workup. Immunohistochemistry for Candida albicans was strongly positive, and PCR analysis confirmed identification of Candida albicans from the lung biopsy tissue. The molecular analysis was repeated at another reference laboratory with identical results.
Surgical lung biopsy. (A) Scanning magnification showing a nodular, bronchopneumonia-like histologic picture (hematoxylin and eosin, X0.5). Short arrow: small pulmonary artery branch, long arrow: bronchiole, arrowhead: inflammatory infiltrate causing consolidation in peribronchiolar lung. The area indicated by the white arrow is shown at higher magnification in B. (B) High magnification shows occasional nonnecrotizing granulomas (black arrows) similar to those seen in the prior transbronchial biopsy adjacent to larger suppurative granuloma (white arrow). (C) Suppurative granuloma at high magnification. Black arrows: granulomatous rim, white arrow: suppurative necrosis (hematoxylin and eosin, X200). (D) Fungal pseudohyphae and a few yeasts were seen in the suppurative areas on Grocott methenamine silver stain (original magnification X1200).
The patient was eventually switched to intravenous micafungin followed by a nine-month course of oral fluconazole, resulting in complete resolution of his infection-related symptoms. A follow-up chest CT showed resolution of lung nodules and infiltrates. The patient is currently alive with COPD-related dyspnea, three years after his initial presentation.
Advertisement
Chest CT. (A) One month after surgical biopsy (day 46). (B) Day 330. CT = computed tomogram.
This is the first reported case of Candida albicans pneumonia confirmed by a combination of surgical lung biopsy, microbiologic cultures and molecular identification. Another unique feature of this case is the histologic manifestation of Candida infection as necrotizing (suppurative) granulomas. This case provides valuable lessons for both clinicians and pathologists:
With the publication of this case, we hope to raise awareness that Candida pneumonia, although rare, is a clinically significant entity that can manifest as granulomatous inflammation in the lung. Appropriate antifungal therapy can be life-saving.
Dr. Dermawan is a resident in the Department of Pathology. Dr. Mukhopadhyay is Staff Pathologist and Director of the Frozen Section Service in the Department of Pathology.
Images and captions originally published here.
Advertisement
Advertisement
Lorem ipsum dolor sit amet. Ut laudantium quasi et aliquam magni qui adipisci sequi et voluptatibus blanditiis et consectetur atque eos nihil dolorem qui culpa nobis. In accusantium voluptatem est modi rerum ut aperiam neque. Hic quos nisi 33 rerum laboriosam cum fuga voluptates. Sed expedita ratione sit nostrum necessitatibus ea maxime perspiciatis sed quia sequi.
This is a subtitle for CQD Post 'Corey Test CQD Post Feb12'. This is a subtitle for CQD Post 'Corey Test CQD Post Feb12'.</end Subtitle>

Matching Secondary -> Primary Snomed Term with Curated Post. Please do not touch this post or any of its categories/snomed terms, thank you!
Lingulectomy removes infection when antibiotics fail
Researchers have developed immunoprofiles for an emerging disease with a mortality rate as high as 27%