Locations:
Search IconSearch

What the Internist Needs to Know About Infertility

Primary care physicians can successfully manage most cases

18-OBG-037_PCOS

By Tommaso Falcone, MD

Advertisement

Cleveland Clinic is a non-profit academic medical center. Advertising on our site helps support our mission. We do not endorse non-Cleveland Clinic products or services. Policy

Primary care physicians can play a major role in providing infertility services.

Of the millions of women between the ages of 15 and 44 who receive some sort of infertility service, two thirds merely require advice or testing, which a primary care physician can provide. Only about one third seek fertility treatment, such as ovulation induction, surgery or assisted reproductive technology. Furthermore, many causes of infertility are associated with significant general medical problems, which come under the purview of primary care.

This article reviews common causes of infertility in men and women, discusses an approach to assessment primary care physicians can use, updates clinicians on reproductive technology, and helps explain when referral is warranted. (Recurrent pregnancy loss is a separate and distinct condition that is diagnosed after two or more failed clinical pregnancies documented by ultrasound or pathology.)

Infertility defined

The American Society for Reproductive Medicine (ASRM) defines infertility as the inability to achieve a successful pregnancy after one year of appropriately timed unprotected intercourse or therapeutic donor insemination. In practice, we are more flexible: We would investigate immediately and treat a patient with an obvious problem of anovulation, obstructed fallopian tubes, after a past history of chemotherapy or radiation, or if the male partner has a history medical, surgical or infectious problem such as adult mumps. Furthermore we would initiate an investigation at six months in women over 35 years of age.

Advertisement

Common causes of infertility, in approximate order of prevalence, are:

  • Pelvic disease (tubal disease and endometriosis)
  • Male factor
  • Disorders of ovulation
  • Idiopathic infertility

Is infertility increasing?

Medical visits for infertility increased by 3 percent over the last decade. Twenty percent of women now have their first child after age 35, and this delay is the main social cause of infertility. Another possible reason is that effective treatment is now available, which more people are seeking.

Fertility and age

After age 30, fertility declines substantially. By age 35, a woman has half the chance of becoming pregnant as she did at age 25. In addition, women of older reproductive age have a large number of unrecognized pregnancy losses most of which are due to chromosomal abnormalities of the embryo. Although the age of the male partner does not affect the ability of the sperm to fertilize an oocyte, it is now recognized that advanced male age can also contribute to diminished fertility. Men above age 40 to 45 have decreasing sperm counts and reduced fertility.

Some of the reasons for the decline in fertility with age of the woman are loss of ovarian reserve, defined as the number and quality of eggs that remain, concomitant diseases that increase in prevalence with age and may affect fertility and chromosomal abnormalities in the resulting embryos.

History-taking for complaints of infertility

Given the complex and highly charged social, psychological and financial issues surrounding having a child, it is important for the primary care physician to take a complete history of the couple before embarking on a series of tests.

Advertisement

In general, I recommend seeing the couple together. This allows the clinician to explore a number of sensitive issues. For instance, if both partners are working, have they had the time and energy to regularly have intercourse during ovulation? Is the male partner having difficulty performing sexually during ovulation because of conflicted feelings about having a child?

Although the couple should be seen together, I also recommend seeing each partner individually. This gives them the chance to report portions of their history that they may not have disclosed to their partner — a history of a sexually transmitted disease or abortion or even an undisclosed vasectomy in the case of some second marriages.

A history should include a menstrual history, and in both partners: pregnancy history and outcome, past medical or surgical problems, exposure to sexually transmitted infections, current and past medications, exposure to environmental toxins, including tobacco, alcohol and recreational drugs. Physical examination should be complete with particular attention to the body mass index.

A strategy for investigation of the infertile couple

The basic investigation for all infertile couples, again which the primary care physician can conduct, includes:

  • Semen analysis
  • A hysterosalpingogram to assess tubal patency. Some centers use a saline infusion sonogram, to test patency of the tubes. It does provide detail of the tubes and patency is determined by observing fluid in the peritoneal cavity.
  • Ovulation assessment, typically menstrual history. The presence of regular, approximately 28-day cycles with menstrual molimina is indicative of ovulatory cycles.

Advertisement

Alternative or confirmatory methods of documenting ovulation: and these tests would not work

Serial basal body temperature can provide indirect evidence of ovulation but cannot define the time of ovulation. Basal body temperature charts are inexpensive and sometimes useful. However, they are cumbersome and time-consuming. They should not be overinterpreted. If there is a biphasic pattern, the patient is most likely ovulating.

Urinary luteinizing hormone (LH) can identify the LH surge that identifies the ovulatory period. The onset of the LH surge occurs 34 to 36 hours before ovulation. Most LH kits will detect this surge. Urine for LH testing is collected between 10 a.m. and 8 p.m. It should not be the first urine after waking. In an ideal 28-day cycle, testing for LH is started on the 10th day of the cycle

Serum progesterone is an objective confirmation of ovulation. A serum progesterone level is drawn approximately five to seven days after the LH surge. Levels above 3 ng/mL are indicative of the luteal phase. No interpretation should be assigned to the level.

Transvaginal ultrasound can only provide presumptive evidence of ovulation and is not confirmatory. Furthermore, it requires serial ultrasounds to show follicular development and disappearance. It is the least used test of ovulation.

Other infertility tests

It is important to choose appropriate tests. The American Society of Reproductive Medicine (ASRM) has identified a series of tests that generally should not be performed in the investigation of an infertile patient (Table 1). Infertility societies do not recommend measuring serum prolactin in women with infertility or recurrent pregnancy loss if there are no clinical symptoms such as oligomenorrhea/amenorrhea.

Advertisement

Subsequent evaluation based on test results

Most abnormal results will require referral for treatment, but the primary care physician can counsel patients on treatment options, which is all that most patients want.

A discussion with the couple also should include environmental factors that may affect fertility. Smoking and heavy use of marijuana decrease fertility in both men and women. Some studies have also shown that high caffeine intake is associated with delayed conception. Most lubricants sold in pharmacies are spermicidal, as is saliva.

Some causes of infertility are associated with significant medical problems, such as diabetes and abnormal lipids. These should be assessed by the primary care physician and a long-term management plan implemented and optimized before getting pregnant.

Assessing ovarian reserve in older women

Testing for ovarian reserve is an important early step for many patients considering infertility treatment, and the primary care physician can order this. Ovarian reserve refers to the number and quality of oocytes as a measure of reproductive potential. These tests are not used to predict the ability to conceive in women who are not infertile as defined above. In a recent study in women aged 30 to 44 years, early-follicular-phase serum biomarkers, specifically antimüllerian hormone (AMH) and follicle-stimulating hormone (FSH), were used to predict the probability of conceiving in women without infertility (as defined above) within the subsequent six to 12 months. The pregnancy rates were the same between the groups of low versus normal ovarian reserve. These tests should only be requested in infertile women.

Many reproductive endocrinologists feel that the following groups of infertile women should undergo an assessment of ovarian reserve:

  • All infertile women older than 34 years
  • Younger women who have a history of ovarian surgery, a poor response to previous infertility treatment or a family history of early menopause
  • Women who have received gonadotoxic drugs or pelvic radiation
  • Women with no detectable cause of infertility (idiopathic infertility)
  • Patients about to begin intensive infertility treatment such as in vitro fertilization

Three tests can be considered:

  • Day-3 FSH test and estradiol level. The day-3 FSH test consists of measuring the serum level of FSH on the third day of the menstrual cycle. In practice, the test is equally valid if performed on days two, three or four. An abnormal test result is associated with a poor pregnancy rate irrespective of age. On the other hand, a normal test result does not mean that a patient will achieve pregnancy with in vitro fertilization (Table 2). Because it does not screen for most of the patients who will not achieve a pregnancy, the day-3 FSH test has a poor sensitivity for detecting ovarian reserve. A day-3 estradiol level greater than 80 pg/mL is also associated with a poor response to medical treatment of infertility.

  • Antral follicle count (AFC) is an ultrasound assessment of early follicular phase follicles measuring 2-10 mm. A low AFC is considered to be between 3 and 6.
  • Serum AMH is probably the most used test. It is not cycle dependent and therefore can be obtained any day of the menstrual cycle. It is influenced by hormonal suppression such as oral contraceptive.

These tests are mostly used to predict response to ovarian stimulation in infertility treatment and a general prediction of pregnancy outcome with in vitro fertilization.

Tubal disease

Tubal disease, still the most common cause of infertility in the United States, is due in most cases to pelvic inflammatory disease (PID). Most cases of PID are caused by sexually transmitted diseases.

A hysterosalpingogram will assess tubal morphology and patency. It is usually performed in the follicular phase after the end of the menses. If dilated tubes are found, doxycycline 100 mg twice a day for five days should be given.

Patients with evidence of tubal disease also should be referred for laparoscopy. Mild cases of tubal disease can be treated with laparoscopic surgery. However, in moderate or severe tubal disease, in vitro fertilization produces higher pregnancy rates with a lower incidence of ectopic pregnancy. Patients with a documented history of PID should also be referred for laparoscopy.

Endometriosis

Endometriosis is a common disorder that causes significant pelvic pain and infertility. It is characterized by the presence of endometrial glands and stroma outside of the uterus, and reflux of menstrual debris into the peritoneal cavity.

Deep dyspareunia and dysmenorrhea are the most common symptoms. The peritoneal cavity may have a wide spectrum of lesions ranging from a few peritoneal implants to severe adhesive disease that involves all pelvic organs. Pelvic examination is best carried out during a menstrual period, during which specific areas of tenderness and nodularity can be more easily identified.

There is no blood test or imaging study to confirm endometriosis. Although ultrasonography may identify an ovarian cyst that includes an endometrioma in the differential diagnosis, this finding is not conclusive. All serum markers are nonspecific. At present, laparoscopy is still required to make a definitive diagnosis, and primary care physicians should refer to a specialist if endometriosis is suspected.

Treatment. Surgery is quite effective in treating advanced endometriosis, although there is some controversy as to its success in early disease. Surgery can usually be done laparoscopically, especially in early stages of the disease. Advanced endometriosis with severe adhesive disease can also be treated laparoscopically, but many gynecologists prefer laparotomy, as these cases often have rectal involvement and require extensive pelvic dissection. Pregnancy rates are similar with either approach.

If surgery fails or is not an option, assisted reproductive technology can provide an excellent outcome.

Hormonal treatments with drugs that suppress the menstrual cycle, such as gonadotropin-releasing hormone agonists, danazol or progestins, do not improve fertility in patients with endometriosis.

Male-factor infertility

Many cases of infertility are due to problems in the male partner. Among the problems that can lead to decreased sperm counts and other abnormalities and reduced fertility are:

  • Environmental toxins
  • Drugs (e.g., cimetidine, spironolactone, nitrofurans, sulfasalazine, erythromycin, tetracyclines and anabolic steroids)
  • Heavy use of cigarettes, marijuana or alcohol
  • Chemotherapy and radiotherapy for malignancies. These treatments can severely depress the sperm count, sometimes irreversibly. Patients should be counseled to cryopreserve semen before starting chemotherapy or radiotherapy, as excellent pregnancy rates have been reported with the use of this sperm.
  • Increased scrotal temperature due to a febrile illness. This can cause a temporary alteration of semen measures that is only identified two to three months later — the time required for a germ cell to develop into a mature spermatozoon.

The age of the male partner does not affect the ability of the sperm to fertilize an oocyte. However, fertility is compromised with decreasing sperm counts and motility. At least two semen analyses should be performed after two to three days of abstinence. If a test result is abnormal, it should be repeated.

In interpreting semen analyses, it is important that a man not be labeled as infertile if his semen does not meet the World Health Organization criteria (Table 1). Most semen parameters reported on a routine semen analysis have a large coefficient of variation among serial samples from the same man.

Furthermore, there are many reports of normal fertility with sperm counts as low as 5 million/mL.

If the semen analysis is abnormal or there is a history of testicular injury, viral infection or surgery, the male partner should be referred for urologic evaluation.

The most dramatic change in the treatment of infertile couples in the last decade has been the availability of effective treatment for severe sperm abnormalities.

Intracytoplasmic sperm injection is the direct injection of a single spermatozoon or spermatid into the oocyte. Success rates have been equivalent to those of in vitro fertilization cycles with normal sperm. In our experience, the pregnancy rate per embryo transfer is 41 percent for patients with normal sperm and 49 percent for impaired semen.

Many biological and environmental factors can impact male fertility.

Anovulation

Women with regular monthly periods are unlikely to be anovulatory.

Causes of anovulation:

  • Polycystic ovary syndrome (the most common cause)
  • Eating disorders
  • Competitive exercise
  • Stress and anxiety
  • Menopause
  • Primary pituitary hyperprolactinemia
  • Hypothyroidism
  • Hyperthyroidism

(Methods of evaluating ovulation are discussed above.) Primary care physicians can diagnose and manage most cases of anovulation, but should consider referral if diagnosis is unclear or the patient does not respond to simple interventions such as diet and exercise.

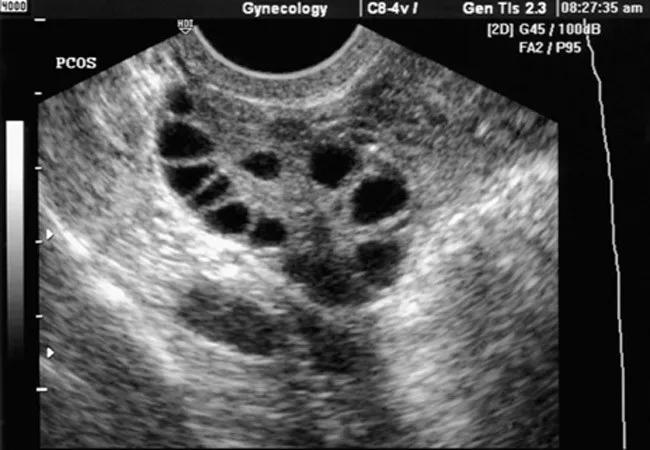
Polycystic ovarian syndrome as a cause of anovulation

The most common cause of anovulation in North America is polycystic ovarian syndrome (PCOS) — a metabolic disorder with a primary reproductive manifestation. The term PCOS is a misnomer: there are no cysts in the classic gynecologic sense. Rather, the ovary has many subcapsular follicles smaller than 10 mm with increased thecal and stromal tissue.

PCOS usually starts at puberty and is associated with irregular periods and some manifestation of hyperandrogenism. Increasing weight influences the expression of the disease. A variety of medical problems are associated with PCOS: dysfunctional uterine bleeding, hyperandrogenic states such as acne and hirsutism, endometrial cancer, lipid disorders, cardiovascular disease and diabetes mellitus.

Most women with PCOS have insulin resistance that is independent of weight. Fasting and postprandial hyperglycemia are uncommon at the stage of the disease when patients present with infertility, but the patients are at greater risk of developing non-insulin dependent diabetes at a younger age than the general population. They usually have a strong family history of diabetes or abnormal glucose tolerance. Patients with PCOS who achieve pregnancy often have gestational diabetes. A variety of treatments are available.

Ultrasound of the ovaries of a woman with polycystic ovary syndrome.

Idiopathic Infertility

The standard regimen for treatment of idiopathic infertility is to prescribe clomiphene citrate in conjunction with intrauterine inseminations. Timing of ovulation can be determined by a variety of methods. Most centers use urinary LH to predict ovulation, as the surge occurs the day before ovulation. Ultrasound determination is reserved for those who have no surge detected on urinary testing and require sequential ultrasound with a pharmacologic trigger. When pregnancy does not occur from multiple inseminations, some physicians consider implantation failure, the inability for the embryo to implant. It is impossible to determine implantation failure from inseminations. It is a term that refers to an IVF cycle where we put in embryos (usually three or more transfers) and no pregnancy occurs. The most common reason for failure is the presence of chromosomally abnormal embryos. According to the Cochrane review, there are no proven therapeutic interventions to improve implantation.

Conclusion

Infertility can be a complex disorder, but also highly treatable by primary care physicians in conjunction with fertility specialists or Ob/Gyns. It is important to not over-order tests that have minimal predictive values. It also important to not recommend treatments that are not evidence-based or supported by national societies.

(This is an abridged version of an article published in Cleveland Clinic Journal of Medicine. References for this article are included in the unabridged version.)

Dr. Falcone is Professor of Surgery at Cleveland Clinic Lerner College of Medicine of Case Western Reserve University and Chairman of Cleveland Clinic’s Ob/Gyn & Women’s Health Institute.

Related Articles

Required

Rani HTML empty test

Medical illustration of endometriosis

Fertility Preservation for Patients with Endometriosis

Counseling and careful surgical considerations are key

woman with milk and lettuce

Neighborhood Factors Affect Early Pregnancy Metabolic Health

Deprivation is linked to impaired glucose intolerance and racial disparities

23-WHI-4424673—OGI—CQD—obesity-in-pregnancy-650-450px

Adjunctive Azithromycin in Obese Patients Undergoing Unscheduled C-Sections

Perioperative prophylaxis and class III obesity

23-WHI-4386458 – OGI – CQD – topical treatment for VIN

Trial Shows Promise for Topical Treatment for VIN

Artesunate ointment is safe well and tolerated patients with vulvar intraepithelial neoplasia

Paul Bryson
November 29, 2023/Ob/Gyn & Women’s Health

New Review Indicates Airway Stenosis Treatment During Pregnancy Is Safe and Effective

Endoscopic balloon dilation during pregnancy helps optimize outcomes

23-WHI-4322159-OGI-CQD-Sustainability-in-OR

Striving for Sustainability in Ob-Gyn Care

Researchers examine waste and implore colleagues to take action

Contraception counseling

Contraceptive Counseling: Telehealth Versus In-Person

Mode of delivery does not affect patient satisfaction

Ad