Locations:
Search IconSearch
June 17, 2021/Orthopaedics/Hip & Knee

Using the OATS Procedure to Restore Function in a Hip Fracture-Dislocation With Residual Cartilage Deformity

Video case study highlights OATS procedure

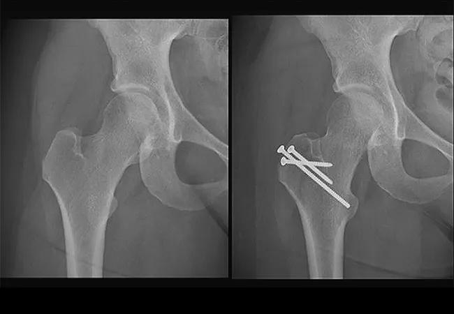
21-ORI-2203221 CQD 650×450

A 21-year-old female presented to Cleveland Clinic’s Hip Preservation Center reporting a restricted range of motion and progressive pain in her right hip. She was involved in a motor vehicle collision and experienced a dislocation of the femoral head. She had sustained a Pipkin-type fracture that went on to form a malunion of the proximal head-neck junction.

Advertisement

Cleveland Clinic is a non-profit academic medical center. Advertising on our site helps support our mission. We do not endorse non-Cleveland Clinic products or services. Policy

Her anatomy was otherwise preserved in terms of quality of cartilage and bony morphology, explains Atul Kamath, MD, Director of the Hip Preservation Center and staff surgeon in the Orthopaedic and Rheumatologic Institute. He had originally planned to manage treatment with surgical dislocation.

Performing an osteoarticular transfer system (OATS) procedure

At the time of surgery, he noted that the Pipkin area of the fracture, the femoral head, was not viable for grafting back to the donor site. He instead performed an osteoarticular transfer system (OATS) procedure, utilizing an autograft from the patient’s femoral head-neck junction to perform a cartilage transplant.

Elaborating on the OATS procedure, Dr. Kamath says: “Plugs of cartilage were used for mosaicplasty of the femoral head and then any irregularities were filled in with juvenile cartilage cells to perform a Highland cartilage restoration of the significant cartilage injury to the femoral head.”

Postoperative images revealed adequate healing of the recipient site on the femoral head as well as preserved cartilage within the hip. At the time of the latest follow-up, the patient reported excellent hip function and symmetric hip range of motion.

Watch the video case study

To view three-dimensional preoperative images and learn more about the case, watch the video below. Visit Cleveland Clinic’s YouTube channel for more video case studies from Dr. Kamath and other Orthopaedic Institute surgeons.

Hip Fracture-Dislocation With Residual Cartilage Deformity (Graphic)

Advertisement

Related Articles

X-ray showing leg bones
March 6, 2024/Orthopaedics/Tumor

The Latest in Limb-Sparing Techniques for Pediatric Patients With Sarcoma

Biologic approaches, growing implants and more

Blue illustration of knee with torn ACL in red
February 29, 2024/Orthopaedics/Hip & Knee

Aspiration and Corticosteroid Injection Are Safe After ACL Injury

Study reports zero infections in nearly 300 patients

Swollen knee with scar
February 26, 2024/Orthopaedics/Hip & Knee

Is Joint Inflammation and Pain After Total Knee Arthroplasty an Infection or Gout?

How to diagnose and treat crystalline arthropathy after knee replacement

Dissected knee with robotic pins inside the incision
February 19, 2024/Orthopaedics/Hip & Knee

Intraincisional Pin Placement Is Safe Alternative in Robot-Assisted Total Knee Arthroplasty

Study finds that fracture and infection are rare

Multiple MRI scans of knees
February 12, 2024/Orthopaedics/Arthritis

Arthritis Foundation and Cleveland Clinic to Build National Osteoarthritis Imaging Center

Center will coordinate, interpret and archive imaging data for all multicenter trials conducted by the foundation’s Osteoarthritis Clinical Trial Network

Close up of the one round white pill in female hand.
January 4, 2024/Orthopaedics/Hip & Knee

Patients Use Less Pain Medication After Robot-Assisted Hip Replacement Compared With Conventional Surgery

Reduced narcotic use is the latest on the list of robotic surgery advantages

ORI_Viars_4102672_Hand Surgery Bootcamp – Dr. Styron_08-18-23
December 21, 2023/Orthopaedics/Upper Extremity

Boot Camp Prepares Trainees for Hand Surgery Fellowships

Cleveland Clinic specialists offer annual refresher on upper extremity fundamentals

The Featured Image for the post
November 29, 2023/Orthopaedics/Hip & Knee

What We’ve Learned From 10,000 Robot-Assisted Total Joint Replacements

Cleveland Clinic orthopaedic surgeons share their best tips, most challenging cases and biggest misperceptions

Ad