Locations:
Search IconSearch

The Role of Reoperation in Postoperative Seizure Recurrence

Special concerns arise after functional hemispherectomy

Moosa-Bingaman-690×380

By Ahsan Moosa Naduvil Valappil, MD and William E. Bingaman, MD

Advertisement

Cleveland Clinic is a non-profit academic medical center. Advertising on our site helps support our mission. We do not endorse non-Cleveland Clinic products or services. Policy

Functional hemispherectomy (FH) is an effective treatment option for selected children with medically refractory epilepsy due to multilobar/hemispheric epileptogenic lesions.

Seizure recurrence despite FH poses special challenges. Does this seizure recurrence indicate independent epileptogenicity in the other hemisphere? What if the seizures are still coming from the operated hemisphere due to incomplete disconnection? Here we briefly review our experience with this special group of children.

Evolution of Functional Hemispherectomy

Anatomic hemispherectomy that involves removal of the entire affected hemisphere, leaving the basal ganglia and thalamus intact, proved useful for seizure control in patients with large hemispheric lesions and pre-existing hemiplegia. In the 1960s and ’70s, reports of delayed worsening with hydrocephalus and superficial siderosis of the central nervous system after anatomic hemispherectomy dictated the newer modifications of this procedure. Minimizing tissue resection and leaving residual disconnected brain tissue inside the cranial cavity was proposed to reduce the chance for repeated microhemorrhages, thus reducing the risk of such delayed worsening.

Over time, the amount of tissue resected was reduced significantly, leading to various methods of functional (also called disconnective) hemispherectomy; some techniques with very minimal tissue removal are referred to as hemispherotomy. However, such disconnective procedures with minimal tissue resection have one limitation: risk of incomplete disconnection and continued seizures from the same hemisphere.

Advertisement

Outcome after Hemispherectomy and Reasons for Seizure Recurrence

We recently reported the longitudinal seizure-free rates after hemispherectomy in a series of 170 children. Nearly two-thirds of patients were seizure-free at a median follow-up of 5.3 years, and 80 percent of children were either seizure-free or had major improvement at last examination.

Let us focus our discussion on the patients who had seizure recurrence. Seizure recurrence after FH indicates two possibilities: seizures arising from the opposite hemisphere due to independent epileptogenicity, or seizures arising from the operated hemisphere as a result of incomplete disconnection. The latter situation can be corrected by repeat surgery to ensure complete hemispherectomy. Hence, all patients with seizure recurrence after FH should be evaluated carefully to determine if further surgery would be of benefit.

Challenges in Interpreting EEG and MRI Studies after FH

Interpretation of EEG and video EEG studies in patients after FH poses unique challenges. It is not uncommon to see patterns such as periodic lateralized epileptiform discharges (PLEDs) and EEG seizures (without clinical signs) in the operated hemisphere in patients who are completely seizure-free after FH (Figure 1). These patterns are known to occur in the disconnected residual brain tissue and do not indicate active epilepsy in a patient who is clinically seizure-free. In patients with seizure recurrence, it may be difficult to determine the significance of such patterns.

Moosa-Bingaman-Fig1

Figure 1. Postoperative EEG in patients with successful functional hemispherectomy may show (A) PLED patterns and (B-D) electrographic seizure patterns. Both patients have been seizure-free since surgery. Absence of clinical signs and lack of spread to the unoperated hemisphere suggest that these EEG patterns are benign and of no clinical significance in a patient who is seizure-free after functional hemispherectomy.

Advertisement

However, EEG seizures in the operated hemisphere along with clinical ictal manifestations unequivocally prove incomplete disconnection; a similar conclusion can be made if the seizures are noted on EEG to spread from the operated side to the other hemisphere.

On the contrary, apparent ictal EEG patterns on the nonoperated hemisphere (without any ictal onset from the operated hemisphere) indicate two possibilities: independent epileptogenicity in the opposite hemisphere or seizure spread from the operated hemisphere. It is possible that residual tissue on the disconnected hemisphere may not generate robust ictal rhythms but is sufficient to generate seizures and spread through residual connections to the opposite hemisphere, as shown in the case depicted in Figure 2. In such cases, the “normal” hemisphere is part of the symptomatogenic zone, but the ictal onset could still be in the operated hemisphere.

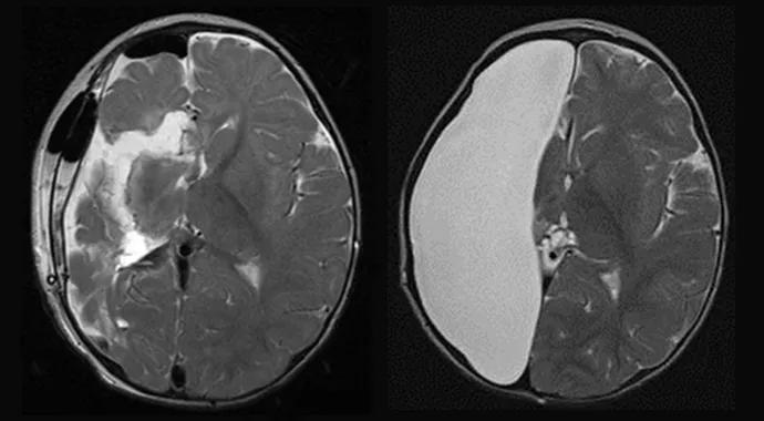
Moosa-Bingaman-Fig2

Figure 2. Illustrative case to highlight the misleading postoperative EEG after functional hemispherectomy. A 2-year-old boy presented with spasms and generalized tonic seizures. EEG showed generalized hypsarrhythmia, and MRI brain scan showed encephalomalacia due to remote right middle cerebral artery ischemia. Patient had recurrence of postoperative seizures soon after functional hemispherectomy. EEG showed ictal patterns on the unoperated hemisphere. Patient became completely seizure-free after conversion to anatomic hemispherectomy. EEG at six months after surgery showed normal background in the opposite hemisphere and diffuse attenuation over the right hemisphere, as expected after anatomic hemispherectomy.

Advertisement

The completeness of disconnection also is assessed by brain MRI. Interhemispheric disconnections are relatively easy to confirm, but subcortical disconnections are difficult to assess, especially when the tissue resection is minimal. Some authors believe that diffusion tensor imaging may be useful, but there are no published studies to support this.

If incomplete disconnection is obvious on MRI, then proceeding with further surgery to ensure complete disconnection should be considered. However, in our experience, both video EEG and MRI may be unhelpful and may be potentially misleading. The only way to ensure complete hemispherectomy would be to perform repeat surgery with additional tissue resection and, not infrequently, anatomical hemispherectomy. It appears that past instances of delayed worsening after anatomic hemispherectomy were mostly caused by delay in detection of hydrocephalus in the pre-CT era.

Reoperative Hemispherectomy at Cleveland Clinic

In our published series of 170 children who had hemispherectomy, 26 had a history of various forms of disconnective hemispherectomy. One-third of this cohort became seizure-free after further surgery, most commonly anatomic hemispherectomy.

In another series of 36 children who had reoperative hemispherectomy at Cleveland Clinic, two-thirds had major improvement (seizure free or more than 90 percent reduction in seizures). Children with a malformation had a poor outcome, but the presence of structural abnormalities in the other hemisphere on MRI did not affect the outcome. In another hemispherectomy series, 7 of 14 patients who had reoperation were seizure-free. The type of second surgery is not described in this study.

Advertisement

In conclusion, seizure recurrence after functional/disconnective hemispherectomy warrants careful re-evaluation. Incomplete disconnection may be the primary reason in one-third of cases, and these children potentially can achieve seizure freedom after reoperation to ensure effective hemispherectomy; another one-third may have substantial seizure reduction.

Dr. Naduvil is a pediatric epilepsy staff physician in Cleveland Clinic’s Epilepsy Center. His specialty interests include epilepsy surgery, autoimmune epilepsy and ketogenic diet in epilepsy.

Dr. Bingaman is Vice Chairman of Cleveland Clinic’s Neurological Institute and Head of the Section of Epilepsy Surgery. His specialty interests include epilepsy surgery in children and adults and complex spine disorders.

SUGGESTED READING

Moosa AN, Gupta A, Jehi L, et al. Longitudinal seizure outcome and prognostic predictors after hemispherectomy in 170 children. Neurology. 2013;80:253-260.

Moosa AN, Jehi L, Marashly A, et al. Long-term functional outcomes and their predictors after hemispherectomy in 115 children. Epilepsia. 2013;54(10):1771-1779.

Vadera S, Moosa AN, Jehi L, et al. Reoperative hemispherectomy for intractable epilepsy: a report of 36 cases. Neurosurgery. 2012;71(2):388-392.

Jonas R, Nguyen S, Hu B, et al. Cerebral hemispherectomy: Hospital course, seizure, developmental, language, and motor outcomes. Neurology. 2004;62:1712-1721.

Related Articles

16-NEU-2800-Kubu-101058161-650×450

What Do Patients Want from DBS for Parkinson’s Disease?

New study advances understanding of patient-defined goals

photo of a man sleeping at a desk, with a podcast icon overlay
March 15, 2024/Neurosciences/Podcast

Diagnosis and Management of Idiopathic Hypersomnia (Podcast)

Testing options and therapies are expanding for this poorly understood sleep disorder

illustration of an alzheimer brain and a packet of sildenafil pills
March 11, 2024/Neurosciences/Research

Sildenafil as an Alzheimer’s Candidate Drug: Further Support From Insurance Database and Mechanistic Studies

Real-world claims data and tissue culture studies set the stage for randomized clinical testing

brain scan showing perimesencephalic subarachnoid hemorrhage

Study Supports Less-Strict Monitoring for Nonaneurysmal Perimesencephalic SAH Without Hydrocephalus

Digital subtraction angiography remains central to assessment of ‘benign’ PMSAH

illustrated brain with the letters "AI" on a computer circuit board

As AI Tools Emerge, Be Proactive and Engaged to Shape Their Development

Cleveland Clinic neuromuscular specialist shares insights on AI in his field and beyond

histology image of a gray matter lesion in a multiple sclerosis brain

Study Suggests Protective Role for Microglia at Borders of Gray Matter Lesions in Progressive MS

Findings challenge dogma that microglia are exclusively destructive regardless of location in brain

series of digital-looking brain icons with a podcast button overlay on top
March 1, 2024/Neurosciences/Podcast

Harnessing the Power of AI in Medicine (Podcast)

Neurology is especially well positioned for opportunities to enhance clinical care and medical training

illustration of a neuron affected by multiple sclerosis

Clinical Trials in Progressive MS: An Assessment of Advances and Remaining Challenges

New review distills insights from studies over the past decade

Ad