Locations:
Search IconSearch
October 5, 2022/Orthopaedics/Sports Health

Surgery After First-Time Patellar Dislocation May Be the Right Approach in Younger Patients

Youth and open physes are two factors that increase risk of recurrence

22-ORI-3198758 CQD 650×450

By Lutul Farrow, MD

Advertisement

Cleveland Clinic is a non-profit academic medical center. Advertising on our site helps support our mission. We do not endorse non-Cleveland Clinic products or services. Policy

Patellar instability is quite common, with incidence estimated at 5.8 per 100,000 in the general population. In the 10- to 17-year-old age group, the incidence can be as high as 29 per 100,000. The rate of recurrence following a first-time patellar dislocation has been estimated at anywhere from 15% to 44%.

Historically, patients with first-time patellar dislocations have been treated without surgery due to expected low rates of recurrence and high rates of success with nonoperative treatment. However, more recent literature suggests that benign neglect may not be as benign as once thought, and recurrent dislocation may be very high in certain patient populations.

It is now known that patients treated conservatively may have significant disability following nonoperative management of patellofemoral dislocation. Straume-Næsheim et al showed that patients with recurrent lateral patella dislocation had more pain and dysfunction and worse quality-of-life scores than patients with anterior cruciate ligament-deficient knees.

Several factors have been associated with poor pain and function following patellar instability. We recently showed that higher body mass index, female sex, older age and lower mental health scores were associated with higher pain scores in patients with patellofemoral instability.

Some patients are at higher risk of re-dislocation

Some of the disability in patients treated conservatively following first-time patellofemoral instability may be related to the presence of recurrent dislocation and/or subluxation. While the risk of recurrent dislocation following an index patellar dislocation is low (approximately 33%), the risk is much higher in some patients.

Advertisement

In a systematic review by Huntington et al, the risk of recurrent dislocation was higher in patients who are younger and/or have:

  • Open physes
  • Trochlear dysplasia
  • Elevated tibial tuberosity-trochlear groove (TT-TG) distance
  • Patella alta

Of these factors, trochlear dysplasia was found to be the most important factor implicated in patellofemoral instability, with an odds ratio of 4.15. When no risk factors were found, the risk of dislocation was 7.7% to 13.8%. When two risk factors were present, the risk increased to 29.2% to 60.2%. The risk of re-dislocation with three risk factors was 70% to 78%.

Determining the risk of recurrent dislocation is important to help patients and families make the best decision about further management. Explaining to an older patient with no radiographic risk factors that the risk of re-dislocation is less than 13% often impacts differently than telling a skeletally immature patient with additional risk factors that the risk of recurrent instability is greater than 80%. The latter may be more inclined to consider surgical intervention.

Plain film imaging and MRI assess risk factors

In order to determine recurrent dislocation risk and best counsel patients, we have more recently become proponents of obtaining MRI at the time of the index patellar dislocation. Along with plain films that are performed on every patient, MRI is used to assess key risk factors.

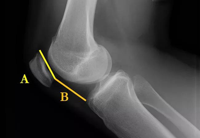
We generally use plain X-ray to evaluate patellar height and trochlear dysplasia. We use the Caton-Deschamps index to evaluate for patella alta (Figure 1). A value above 1.2 is considered abnormal. Trochlear dysplasia is best seen on a perfect lateral X-ray and graded using Dejour classification (Figures 2 and 3).

Advertisement

Figure 1. Caton-Deschamps index. The distance from the inferior articular surface to the anterosuperior corner of the tibia (B) is measured by length of the patellar articular surface (A).

Figure 2. Illustration of the Dejour classification system.

Figure 3. Radiographic examples of the Dejour classification. Dejour Type A trochlea (A), Dejour Type B trochlea (B), Dejour Type C trochlea (C), Dejour Type D trochlea (D).

Trochlear dysplasia is not uncommon. In a recent epidemiologic study, we showed that trochlear dysplasia was present in 39% of knees. However, moderate to severe dysplasia was present in only 17%.

MRI is the modality of choice to determine TT-TG distance. TT-TG values greater than 20 mm are considered abnormal. Patellar height also can be determined on MRI by using the patellotrochlear index (PTI). When less than 18%, the PTI is considered abnormal.

Early surgery for younger patients can be considered

Even without abnormal indices on imaging, our skeletally immature patient population is at an increased risk of recurrent dislocation as they, by definition, present with two risk factors: age and open physes. With the addition of one or two other risk factors, these patients have a greater than 80% chance of recurrence.

Knowing the increased pain, disability and lower quality-of-life scores that are caused by symptomatic patellofemoral instability, it is reasonable to consider early surgery for young patients at high risk of recurrent dislocation rather than pursuing conservative management. Patellofemoral stabilization surgery, including medial patellofemoral ligament reconstruction, is extremely successful, with high rates of patient satisfaction and improved function.

Advertisement

Dr. Farrow is an orthopaedic surgeon at Cleveland Clinic Sports Medicine Center. He also serves as Director of Clinical Operations for Sports Medicine.

Advertisement

Related Articles

23-ORI-3514158 CQD 650×450

Three Anatomical Factors Linked with Higher Risk of Recurring Patellar Dislocation

Computer simulation identifies causes of instability

X-ray showing leg bones
March 6, 2024/Orthopaedics/Tumor

The Latest in Limb-Sparing Techniques for Pediatric Patients With Sarcoma

Biologic approaches, growing implants and more

Blue illustration of knee with torn ACL in red
February 29, 2024/Orthopaedics/Hip & Knee

Aspiration and Corticosteroid Injection Are Safe After ACL Injury

Study reports zero infections in nearly 300 patients

Swollen knee with scar
February 26, 2024/Orthopaedics/Hip & Knee

Is Joint Inflammation and Pain After Total Knee Arthroplasty an Infection or Gout?

How to diagnose and treat crystalline arthropathy after knee replacement

Dissected knee with robotic pins inside the incision
February 19, 2024/Orthopaedics/Hip & Knee

Intraincisional Pin Placement Is Safe Alternative in Robot-Assisted Total Knee Arthroplasty

Study finds that fracture and infection are rare

Multiple MRI scans of knees
February 12, 2024/Orthopaedics/Arthritis

Arthritis Foundation and Cleveland Clinic to Build National Osteoarthritis Imaging Center

Center will coordinate, interpret and archive imaging data for all multicenter trials conducted by the foundation’s Osteoarthritis Clinical Trial Network

Close up of the one round white pill in female hand.
January 4, 2024/Orthopaedics/Hip & Knee

Patients Use Less Pain Medication After Robot-Assisted Hip Replacement Compared With Conventional Surgery

Reduced narcotic use is the latest on the list of robotic surgery advantages

ORI_Viars_4102672_Hand Surgery Bootcamp – Dr. Styron_08-18-23
December 21, 2023/Orthopaedics/Upper Extremity

Boot Camp Prepares Trainees for Hand Surgery Fellowships

Cleveland Clinic specialists offer annual refresher on upper extremity fundamentals

Ad