Locations:
Search IconSearch

Spine Surgeon Survey Finds Disagreement on Treatment Choices

Results have implications for cost, clinical outcomes

Lubelski-690×380

By Daniel Lubelski, BA, and Thomas E. Mroz, MD

Advertisement

Cleveland Clinic is a non-profit academic medical center. Advertising on our site helps support our mission. We do not endorse non-Cleveland Clinic products or services. Policy

The United States’ nearly 3,000 spine surgeons perform approximately 400,000 spine surgeries annually. As the number of surgical approaches, instruments and technologies they use has grown in recent decades, the associated costs have ballooned as well. In response, the federal government and other stakeholders have been working to reduce these costs and improve outcomes by moving toward a value-based healthcare system.

Within spine surgery, these efforts have translated into investigation of the comparative effectiveness and cost effectiveness of surgical options for a given pathology. Yet despite differences in financial costs and complication profiles among the various procedures, data supporting a relative advantage of one procedure over another are lacking.

We hypothesized that there were variations in treatment practices throughout the U.S. based on spine surgeons’ location, specialty, years of experience and/or practice setting. To explore this hypothesis, we recently surveyed U.S. spine surgeons and published our results.1

The Survey at a Glance

We created an online survey and sent it to 2,460 U.S. spine surgeons selected randomly from a database.

Recipients were asked to supply demographic data including:

  • Geographic location (Northeast, Southeast, Midwest, Southwest, West)
  • Specialty (neurosurgery or orthopaedic surgery)
  • Whether they were fellowship-trained (yes or no)
  • Type of practice (private, academic, hybrid)
  • Number of spine surgeries performed annually (range of choices from < 50 to > 300)
  • Years in practice (range of choices from < 5 years to > 20 years)

Advertisement

The survey also presented case scenarios (each with multiple imaging studies), and surgeons were asked to select which of several proposed treatment options best reflected their practice:

  • Scenario 1 involved a recurrent L5-S1 herniated disk following one microdiskectomy.
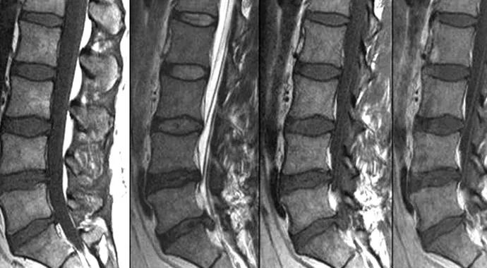
  • Scenario 2 involved a recurrent L5-S1 herniated disk following two microdiskectomies (Figure).
Lubelski-figure

Figure. The case vignette (with associated radiographs and MRIs) that was presented as Scenario 2 in the survey. Reprinted from reference 1 (Mroz et al) with permission from Elsevier.

Other case scenarios (including spondylolisthesis and back pain) were also included, and responses about practice patterns in those scenarios are being analyzed for description in future publications.

Results: Intriguing Differences in Scenario 2 Responses

A total of 445 surgeons completed the survey, representing an 18 percent response rate.

Scenario 1. Responses to Scenario 1 (recurrent lumbar disk herniation following a single microdiskectomy) were fairly uniform, with the vast majority of surgeons selecting revision microdiskectomy and relatively few differences among surgeons.

Scenario 2. In contrast, responses to Scenario 2 (recurrent lumbar disk herniation following a second microdiskectomy) were considerably more varied. The most common responses to Scenario 2 were revision microdiskectomy and revision microdiskectomy with posterior/transforaminal lumbar interbody fusion (PLIF/TLIF).

Significant differences in responses to Scenario 2 were observed according to the following surgeon characteristics:

  • Number of surgeries performed each year (P =.003). Surgeons performing more than 200 surgeries were significantly more likely to select revision microdiskectomy with PLIF/TLIF vs. revision microdiskectomy alone when compared with surgeons performing 100 or fewer surgeries. The odds ratio (OR) for the comparison was 3.47 for surgeons performing 201 to 250 surgeries (P = .008) and 3.30 for those performing 251 to 300 surgeries (P = .01). In contrast, surgeons performing 100 or fewer procedures were significantly more likely to select revision microdiskectomy over revision microdiskectomy with PLIF/TLIF.
  • Practice duration (P < .001). Surgeons practicing for 15 to 20 years were significantly less likely to select revision microdiskectomy with PLIF/TLIF vs. revision microdiskectomy alone when compared with those in practice less than 5 years (OR = 0.37; P =.02), 5 to 10 years (OR = 0.31; P = .001) and 10 to 15 years (OR = 0.31; P = .002). In other words, surgeons practicing for less than 15 years were about three times more likely to select revision microdiskectomy with PLIF/TLIF vs. revision microdiskectomy alone as compared with those practicing 15 to 20 years, who were more likely to choose revision microdiskectomy alone.

Advertisement

No significant differences in responses to Scenario 2 were observed based on respondents’ region, specialty, fellowship training or practice type.

Drilling Down to Differences Within Cohorts

To understand the level of variability among spine surgeons in selecting a treatment for revision lumbar disk herniation, we then calculated the probability of two randomly chosen surgeons from within specific cohorts (based on region, specialty, etc.) disagreeing on treatment choice.

Across all respondents, there was 69 percent disagreement in responses to Scenario 2 (two previous microdiskectomies) and 22 percent disagreement in responses to Scenario 1 (one previous microdiskectomy).

The degree of disagreement did not differ substantially by respondents’ geographic location, ranging from 68 percent (Midwest, Southeast and West) to 70 percent (Southwest) disagreement for Scenario 2 and from 16 percent (Southeast) to 26 percent (Northeast) disagreement for Scenario 1. Similar probabilities of disagreement were seen when surgeons were categorized by specialty, fellowship training and practice type.

In terms of practice duration, analysis generally showed that the longer respondents had been in practice, the more likely they were to disagree in their responses to each scenario.

When respondents were analyzed by number of surgeries per year, the probability of disagreement on Scenario 2 ranged from 62 percent (those performing 201 to 250 surgeries) to 76 percent (those performing < 50 surgeries). A similar trend was observed for Scenario 1, with a 60 percent probability of disagreement among those performing fewer than 50 surgeries compared with just an 18 to 23 percent probability of disagreement in each of the other surgical volume subgroups.

Advertisement

Why Our Findings Matter

These findings are important, as they indicate that if two similar patients present to different surgeons with the same pathology of recurrent disk herniation after two prior microdiskectomies, they are likely to undergo different surgeries or surgical approaches. Because revision microdiskectomy and fusion procedures have different costs, complications and clinical outcomes, it is important to further investigate the reasons for these differences in practice and to understand the optimal surgical approach. Future investigations will need to define the optimal treatment algorithms for these pathologies.

Dr. Mroz is Director of the Spine Surgery Fellowship and a spine surgeon in Cleveland Clinic’s Center for Spine Health.

Mr. Lubelski is a senior medical student at Cleveland Clinic Lerner College of Medicine with a particular interest in neurosurgery and spine surgery.

Reference

1. Mroz TE, Lubelski D, Williams SK, et al. Differences in the surgical treatment of recurrent lumbar disc herniation among spine surgeons in the United States. Spine J. 2014;14(10):2334-2343.

Advertisement

Related Articles

16-NEU-2800-Kubu-101058161-650&#215;450

What Do Patients Want from DBS for Parkinson’s Disease?

New study advances understanding of patient-defined goals

photo of a man sleeping at a desk, with a podcast icon overlay
March 15, 2024/Neurosciences/Podcast

Diagnosis and Management of Idiopathic Hypersomnia (Podcast)

Testing options and therapies are expanding for this poorly understood sleep disorder

illustration of an alzheimer brain and a packet of sildenafil pills
March 11, 2024/Neurosciences/Research

Sildenafil as an Alzheimer’s Candidate Drug: Further Support From Insurance Database and Mechanistic Studies

Real-world claims data and tissue culture studies set the stage for randomized clinical testing

brain scan showing perimesencephalic subarachnoid hemorrhage

Study Supports Less-Strict Monitoring for Nonaneurysmal Perimesencephalic SAH Without Hydrocephalus

Digital subtraction angiography remains central to assessment of ‘benign’ PMSAH

illustrated brain with the letters "AI" on a computer circuit board

As AI Tools Emerge, Be Proactive and Engaged to Shape Their Development

Cleveland Clinic neuromuscular specialist shares insights on AI in his field and beyond

histology image of a gray matter lesion in a multiple sclerosis brain

Study Suggests Protective Role for Microglia at Borders of Gray Matter Lesions in Progressive MS

Findings challenge dogma that microglia are exclusively destructive regardless of location in brain

series of digital-looking brain icons with a podcast button overlay on top
March 1, 2024/Neurosciences/Podcast

Harnessing the Power of AI in Medicine (Podcast)

Neurology is especially well positioned for opportunities to enhance clinical care and medical training

illustration of a neuron affected by multiple sclerosis

Clinical Trials in Progressive MS: An Assessment of Advances and Remaining Challenges

New review distills insights from studies over the past decade

Ad