Locations:
Search IconSearch

Severe Atrial Functional Mitral Regurgitation: Study Presents Most Detailed Profile to Date

Findings reveal lower survival, fewer interventions relative to primary MR

echocardiogram showing severe atrial functional mitral regurgitation

Atrial functional mitral regurgitation (AFMR) has been a neglected clinical entity. Although it has been described for at least a decade, AFMR is underrecognized, undertreated and rather poorly understood.

Advertisement

Cleveland Clinic is a non-profit academic medical center. Advertising on our site helps support our mission. We do not endorse non-Cleveland Clinic products or services. Policy

That might be starting to change, however, with the recent publication of a Cleveland Clinic study in JACC: Cardiovascular Imaging (2021;14:797-808) believed to represent the largest cohort of patients with severe AFMR identified by transesophageal echocardiography (TEE) reported to date.

“AFMR is neither primary mitral regurgitation (MR), which is a valve problem, nor the typical functional or secondary MR, which is ventricular in origin. Rather, it is functional MR of atrial origin,” says the study’s corresponding author, Serge Harb, MD, staff cardiologist in Cleveland Clinic’s Section of Cardiovascular Imaging.

“Patients with AFMR have not been studied separately in clinical trials, and literature about AFMR is sparse,” Dr. Harb continues. “As a result, there are no guidelines to advise physicians on how to approach this problem, which carries a poor prognosis.”

“The mitral valve is equipped to withstand the highest pressure in the heart,” says study co-author Samir Kapadia, MD, Chair of Cardiovascular Medicine. “This study characterizes the mechanism and contribution of left atrial dilatation on mitral apparatus dysfunction in a large Cleveland Clinic population. This mechanistic insight is critical for proper and timely interventions to prevent and treat mitral regurgitation.”

Shedding light on AFMR

The growing number of patients presenting with MR and normal ventricular function in the absence of leaflet pathology prompted the Cleveland Clinic team to better define the clinical entity they were seeing.

Advertisement

They screened all patients who had undergone TEE at Cleveland Clinic between 2011 and 2018 for severe MR with preserved left ventricular function. After patients with endocarditis, cardiomyopathy or prior mitral valve intervention were excluded, a cohort of 283 patients remained. Of this cohort, 39 (14%) had AFMR and 244 (86%) had primary MR.

When the AFMR and primary MR groups were compared, patients with AFMR had significantly higher rates of hypertension, diabetes mellitus, long-standing atrial fibrillation, pacemaker placement and prior nonmitral cardiac surgery.

“Atrial fibrillation and diastolic dysfunction were the main risk factors,” says Dr. Harb.

Over a median follow-up of 22 months, mortality was significantly higher among patients with AFMR compared to those with primary MR (41.0% vs. 18.9%; P = 0.004). On multivariable regression analysis, AFMR was independently associated with mortality (OR = 2.61; 95% CI, 1.17-5.83; P = 0.02).

Patients with AFMR also were twice as likely as their primary MR counterparts to be hospitalized for heart failure (51.3% vs. 25.4%; P = 0.002)

Salient characteristics

AFMR is distinguished by atrial dilation and annular remodeling. “Mitral annular dilation with insufficient leaflet remodeling is the most commonly described feature,” notes Dr. Harb. “Malcoaptation of the leaflets results in a central jet of regurgitation that can be clearly seen on transesophageal echo.”

In other cases, the posterior annulus is stretched outward and herniates over the left ventricular free wall. This causes tethering of the posterior leaflet and a predominantly posterior jet of regurgitation.

Advertisement

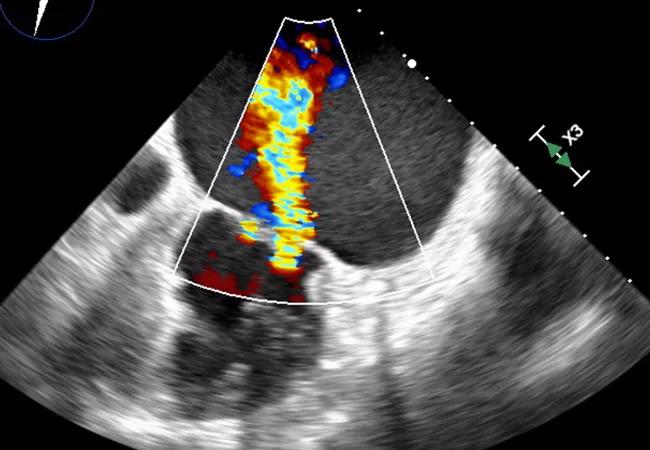
“Typically, AFMR requires transesophageal echo to ascertain,” Dr. Harb explains (see Figure). “However, the diagnosis of MR should start with a transthoracic echo and proceed to transesophageal echo if an unusual form of MR is suspected, in which case transesophageal echo can help elucidate the features of AFMR.”

Figure. Top transesophageal echocardiogram (TEE) shows a markedly enlarged left atrial (LA) cavity with no mitral valve (MV) leaflet pathology and a normal left ventricle (LV). Bottom TEE shows severe atrial functional (or secondary) mitral regurgitation (AFMR).

Surgery can help — but is less often undertaken

Surgery can improve outcomes in AFMR. Compared with conservative management, mitral valve surgery was associated with improved survival in AFMR (log-rank P = 0.021). Also, none of the 10 AFMR patients who underwent surgical mitral valve repair developed significant MR on follow-up or needed further mitral interventions.

Nevertheless, patients with AFMR were less likely than their primary MR counterparts to undergo a mitral intervention of any kind (59.0% vs. 83.6%; P = 0.001). Dr. Harb attributes this to increased risk conferred by older age, significant comorbidities and frequent prior cardiac surgery — as well as a lack of guidelines for managing these patients.

“Distinguishing atrial functional MR from other causes of mitral regurgitation is very important,” observes study co-author Marc Gillinov, MD, Chair of Thoracic and Cardiovascular Surgery at Cleveland Clinic. “In many cases, an operation that includes both mitral valve repair and a maze procedure for atrial fibrillation reduces symptoms and improves patient quality of life.”

Advertisement

A case for prevention

Dr. Harb notes that comprehensive guidance on the best way to manage patients with AFMR “is something for future research to answer.”

In the meantime, he says, preventing the onset of severe MR is the best option. “Practice aggressive rhythm control to restore sinus rhythm and treat diastolic dysfunction before severe MR develops,” he advises. “If you cannot prevent it, and the patient develops severe AFMR, mitral valve repair or replacement may improve survival.”

Advertisement

Related Articles

19-HRT-6507 Vitals-650×450

Rani duplicate post Check Out These Outcomes

A sampling of outcome and volume data from our Heart & Vascular Institute

illustration of the human heart focused on the left atrial appendage

Takeaways From Updated STS Guidelines for Surgical Treatment of Atrial Fibrillation

Concomitant AF ablation and LAA occlusion strongly endorsed during elective heart surgery

illustration of a figure-of-8 stitch for aortic valve repair

Figure-of-8, Hitch-Up Stitch Is Safe and Durable in Bicuspid Aortic Valve Repair

Large retrospective study supports its addition to BAV repair toolbox at expert centers

histology image of lung tissue showing spread through air spaces (STAS)

Lung Cancer Study Links Preoperative Factors With Spread Through Air Spaces

Young age, solid tumor, high uptake on PET and KRAS mutation signal risk, suggest need for lobectomy

x-ray of bone fracture in a forearm

TRAVERSE Substudy Links Testosterone Therapy to Increased Fracture Risk in Older Men With Hypogonadism

Surprise findings argue for caution about testosterone use in men at risk for fracture

echocardiogram showing severe aortic regurgitation

Early Referral for Enlarged Roots Critical to Prevent Residual AR After Aortic Root Replacement With Valve Reimplantation

Residual AR related to severe preoperative AR increases risk of progression, need for reoperation

photo of intubated elderly woman in hospital bed

Proteomic Study Characterizes Markers of Frailty in Cardiovascular Disease and Their Links to Outcomes

Findings support emphasis on markers of frailty related to, but not dependent on, age

3D transesophageal echocardiographic images

New Leaflet Modification Technique Curbs LVOT Obstruction Risk in Valve-in-Valve TMVR

Provides option for patients previously deemed anatomically unsuitable

Ad