Locations:
Search IconSearch

Robot-Assisted Stereotactic Laser Ablation Under Real Time MRI: A First Operative Technique Report in Intractable Epilepsy

Combining robot, laser and intraop MRI appears feasible and effective

Cover-Image-for-Pathways_Gonzalez-2-copy-690

By Jorgé Gonzalez-Martinez, MD, PhD, and William Bingaman, MD

Advertisement

Cleveland Clinic is a non-profit academic medical center. Advertising on our site helps support our mission. We do not endorse non-Cleveland Clinic products or services. Policy

Laser ablation under real-time MRI guidance for brain pathology is increasingly being used by neurosurgeons. Since the initial cases in France in 2006 targeting metastatic tumors and subsequent U.S. procedures in 2008 targeting both primary and metastatic brain tumors, surgeons have ablated epileptogenic lesions and radiation necrosis.1-5 Epileptogenic areas — including tubers (in tuberous sclerosis),6 mesial temporal sclerosis (via selective laser amygdalohippocampotomy),7 and focal cortical dysplasias and hamartoma3 — have been treated successfully.

The minimally invasive opening (3.2 mm), small diameter of the laser applicator (1.65 mm), and ease of placement with subsequent short ablation time (usually < 5 minutes) and MRI scanning time (usually < 90 minutes) have allowed procedures to be performed in a safer and more efficient manner compared with open procedures (where deep lesion access is contraindicated due to access-related morbidity).

Adding robotic assistance to ensure precision

A key requirement of laser ablation is precise and safe placement of the laser fiber within the intended target. The ROSA™ robot (Medtech Surgical, Newark, N.J.) has been increasingly used to place single or numerous electrodes or catheters into brain targets, with demonstrated accuracy and safety.8 Additionally, intraoperative MRI allows real-time monitoring of intracranial pathology, enabling treatment to be modified if needed while maintaining a sterile environment and keeping the patient anesthetized. While it is not an absolute necessity for performance of the procedure, intraoperative MRI can assist in these notable ways.

Advertisement

The combination of these three techniques facilitates robot-assisted stereotactic laser placement, with subsequent MRI confirming placement and allowing treatment confirmation. We summarize here what we believe is the first operative technique report describing the combined use of these three modalities.

Case presentation: intractable epilepsy of 10 years’ duration

The patient, a 19-year-old female, had suffered medically intractable focal partial epilepsy since age 9. The epileptogenic zone was localized to the right frontal region using noninvasive data (semiology, scalp EEG, MRI, PET and ictal SPECT) complemented by an invasive evaluation using the stereoelectroencephalography methodology (SEEG). MRI revealed a periventricular heterotopic-appearing lesion that proved to be epileptogenic by intralesional depth electrode ictal recordings.

Given the patient’s 10-year duration of medically refractory epilepsy, treatment options were discussed with the patient, and she elected to proceed with the laser ablation procedure.

Preoperative planning

Working under an IRB-approved protocol at Cleveland Clinic, a preoperative thin-slice MRI was obtained in various sequences (T1, T2, FLAIR). The lesion was clearly visualized using T1-weighted MRI, suggestive of a hypointense (< 1 cm) region adjacent to the right frontal horn and caudate nucleus. This MRI study was uploaded to the ROSA robot, and a plan was created that defined the entry point at the right frontal region as well as the target and a safe pathway that avoided blood vessels (Figure 1).

Figure 1

Figure 1

Figure 1. Preoperative volumetric T1-weighted MRI scans loaded to ROSA software showing the proposed laser probe trajectory. The entry point at the right frontal region and the target were defined, along with a safe pathway that avoided blood vessels.

Advertisement

Operative suite preparation

The patient was anesthetized in the operative suite, which was separated from the adjoining MRI suite by a retractable wall with common ceiling tracks for the IMRIS MRI system (IMRIS, Winnipeg, Manitoba, Canada).

The patient’s head was placed in a Leksell® frame (Elekta, Stockholm, Sweden) with left frontal and right posterior posts and pins applied; the frame was affixed to the operative bed.

The ROSA robot was moved into position, registered with the patient using surface landmarks (facial features, e.g., nasion, tip of nose, canthi) and verified. The entry point was marked once a satisfactory registration was achieved, and the robot remained locked in position.

The surgical procedure

After a small region was shaved and prepped around the entry site, a cordless power drill was used to make the scalp “incision” and the hole in the skull (3.2 mm). The dura was coagulated open and entered, and the robot arm was used to determine trajectory and depth.

Using an aligning rod through the robot trajectory guide, a skull bolt (Visualase, Houston, Tex.) was placed and secured in the hole. The bolt contains a silicone diaphragm allowing loosening for passage and securing of the laser applicator. The applicator (a 980-nm laser fiber with cooling catheter, collectively measuring 1.65 mm in diameter) was passed through this bone screw and advanced just proximal to the distal end of the lesion initially, with a steri-strip applied longitudinally along the fiber to mark the intended depth.

With the sterile field maintained, the retractable wall between the operative and MRI suites was opened, and the MRI system was slid into position along the ceiling tracks.

Advertisement

After confirmation of proper applicator position (Figure 1) using intraoperative multiplanar images on MRI (Siemens, Munich, Germany), correct trajectory was confirmed and the surgeon elected to advance the fiber to the distal end of the lesion (to optimize lesion coverage, with advancement accomplished in approximately three minutes). Images were acquired to verify optimal position, and ablation began.

As a precaution, safety points were designated around the fiber to allow real-time monitoring of heat and trigger a laser shutoff if a higher-than-desired temperature was reached close to the laser applicator or in surrounding healthy tissue.

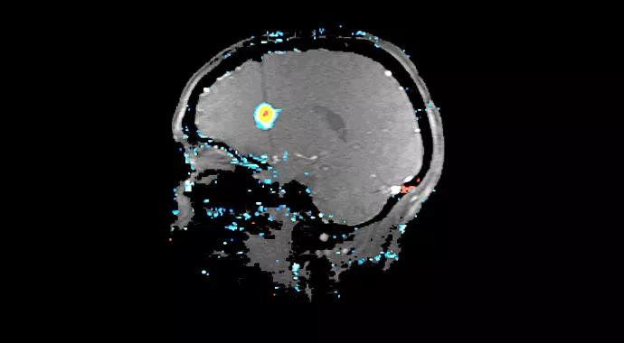
The laser was powered at 9W for approximately 60 seconds. Real-time thermal mapping was superimposed on MRI and refreshed every four seconds (Figure 2). Creation of an approximately 1-cm lesion was confirmed both on intraoperative diffusion imaging and on postprocedure gadolinium-enhanced T1-weighted imaging (Figure 2).

Figure 2

Figure 2

Figure 2. Intraprocedure ablation superimposed on T1-weighted images with temperature readings based on real-time thermal mapping algorithms. Panels A and B are intraoperative MRIs (coronal and sagittal T1 sequence images) with the laser probe in position. Panels C and D depict the initial (test) phase of the laser ablation procedure, showing the rise of temperature in the right periventricular region. Panels E and F show ablation in progress, with isothermal areas located in the right frontal periventricular region, in the location of the periventricular nodule. Panel G is a post-ablation contrast-enhanced MRI with a ring-enhancing lesion in the location of the right periventricular nodule.

Advertisement

The MRI system was slid back into the MRI suite, the laser applicator was removed and the incision was closed using a single stitch (with sterility maintained throughout).

Figure 3 shows various intraoperative steps throughout the procedure.

Figure 3

Figure 3

Figure 3. Intraoperative photographs showing the robot guiding the trajectory (A, B); laser applicator passage into the brain through a skull bolt (C); robot disconnection and removal after laser probe placement, allowing intraoperative MRI scanning (D); and final aspect with dressing applied (E).

Outcome

The procedure, from skin incision to end of ablation, was performed in approximately 90 minutes. The laser ablation was performed in less than three minutes, with approximately 45 of the 90 minutes spent acquiring images in the MRI scanner. Approximately 30 additional minutes were spent preoperatively to place the patient in the modified frame and register the robot.

Accurate placement of the laser applicator (matching pre-planned trajectories) was achieved using the robotic guidance and confirmed by intraoperative MRI.

Post-ablation MRI showed complete ablation of the focal periventricular heterotopic lesion, with an approximately 1-cm ellipsoid lesion created by the applicator. A gadolinium-enhancing rim (Figure 2G) shows the sharp delineation between normal brain and the lesion, with significant drop-off in heat between these areas as planned and described above.

The patient did not suffer any neurological or other complications, and she awoke immediately after the procedure. As the post-ablation scan revealed no bleed, she was transferred to the floor (without intensive care unit or step-down monitoring required) and was discharged home the following day after an uncomplicated hospital course.

Comment: A feasible three-tool combination

This case illustrates the feasibility of a unique combination of robot, laser and intraoperative MRI. While we acknowledge that further study is needed, the success of the laser procedure described here allows for the possibility of a future diagnostic-therapeutic combination that offers minimal invasiveness, minimal duration of treatment and swift recovery without compromising efficacy.

Dr. Gonzalez-Martinez is a neurosurgeon and director of the epilepsy surgery fellowship program in the Epilepsy Center and the Department of Neurological Surgery.

Dr. Bingaman is Vice Chairman for Clinical Areas in the Neurological Institute and a neurosurgeon in the Epilepsy Center.

References

1. Carpentier A, Chauvet D, Reina V, et al. MR-guided laser-induced thermal therapy (LITT) for recurrent glioblastomas. Lasers Surg Med. 2012;44(5):361-368.

2. Carpentier A, McNichols RJ, Stafford RJ, et al. Laser thermal therapy: real-time MRI-guided and computer-controlled procedures for metastatic brain tumors. Lasers Surg Med. 2011;43(10):943-950.

3. Curry DJ, Gowda A, McNichols RJ, Wilfong AA. MR-guided stereotactic laser ablation of epileptogenic foci in children. Epilepsy Behav. 2012;24(4):408-414.

4. Rahmathulla G, Recinos PF, Valerio JE, Chao S, Barnett GH. Laser interstitial thermal therapy for focal cerebral radiation necrosis: a case report and literature review. Stereotact Funct Neurosurg. 2012;90(3):192-200.

5. Torrés-Reveron J, Tomasiewicz HC, Shetty A, Amankulor NM, Chiang VL. Stereotactic laser induced thermotherapy (LITT): a novel treatment for brain lesions regrowing after radiosurgery. J Neurooncol. 2013;113(3):495-503.

6. Tovar-Spinoza Z, Carter D, Ferrone D, Eksioglu Y, Huckins S. The use of MRI-guided laser-induced thermal ablation for epilepsy. Childs Nerv Syst. 2013;29(11):2089-2094.

7. Willie JT, Laxpati NG, Drane DL, et al. Real-time magnetic resonance-guided stereotactic laser amygdalohippocampotomy for mesial temporal lobe epilepsy. Neurosurgery. 2014 Mar 10 [Epub ahead of print].

8. Cardinale F, Cossu M, Castana L, Casaceli G, Schiariti M, Miserocchi A. Stereoelectroencephalography: surgical methodology, safety, and stereotactic application accuracy in 500 procedures. Neurosurgery. 2013;72(3):353-366.

Related Articles

16-NEU-2800-Kubu-101058161-650&#215;450

What Do Patients Want from DBS for Parkinson’s Disease?

New study advances understanding of patient-defined goals

photo of a man sleeping at a desk, with a podcast icon overlay
March 15, 2024/Neurosciences/Podcast

Diagnosis and Management of Idiopathic Hypersomnia (Podcast)

Testing options and therapies are expanding for this poorly understood sleep disorder

illustration of an alzheimer brain and a packet of sildenafil pills
March 11, 2024/Neurosciences/Research

Sildenafil as an Alzheimer’s Candidate Drug: Further Support From Insurance Database and Mechanistic Studies

Real-world claims data and tissue culture studies set the stage for randomized clinical testing

brain scan showing perimesencephalic subarachnoid hemorrhage

Study Supports Less-Strict Monitoring for Nonaneurysmal Perimesencephalic SAH Without Hydrocephalus

Digital subtraction angiography remains central to assessment of ‘benign’ PMSAH

illustrated brain with the letters "AI" on a computer circuit board

As AI Tools Emerge, Be Proactive and Engaged to Shape Their Development

Cleveland Clinic neuromuscular specialist shares insights on AI in his field and beyond

histology image of a gray matter lesion in a multiple sclerosis brain

Study Suggests Protective Role for Microglia at Borders of Gray Matter Lesions in Progressive MS

Findings challenge dogma that microglia are exclusively destructive regardless of location in brain

series of digital-looking brain icons with a podcast button overlay on top
March 1, 2024/Neurosciences/Podcast

Harnessing the Power of AI in Medicine (Podcast)

Neurology is especially well positioned for opportunities to enhance clinical care and medical training

illustration of a neuron affected by multiple sclerosis

Clinical Trials in Progressive MS: An Assessment of Advances and Remaining Challenges

New review distills insights from studies over the past decade

Ad