Locations:
Search IconSearch
June 22, 2016/Neurosciences/Research

Real-World Study Gives Glimpse of How Two Oral MS Drugs Stack Up

Findings suggest an edge for fingolimod over dimethyl fumarate

19-NEU-970-Hersh-650×450

It’s been several years since the disease-modifying therapies fingolimod and dimethyl fumarate (DMF) were approved by the FDA as oral alternatives to injectable therapies for relapsing-remitting multiple sclerosis (MS), yet no head-to-head clinical trials have compared the two agents. Now Cleveland Clinic researchers have done the next best thing by conducting a 775-patient cohort study to comparatively assess them in real-world practice at 12-month follow-up.

Advertisement

Cleveland Clinic is a non-profit academic medical center. Advertising on our site helps support our mission. We do not endorse non-Cleveland Clinic products or services. Policy

And the findings suggest that fingolimod may hold a few advantages — namely, that patients are less likely to discontinue medication early in the course of treatment and are at lower risk for enhancing MS lesions on brain MRI (Figure) as compared with patients taking DMF. Results also showed that DMF-treated patients tended to relapse earlier compared with fingolimod-treated patients.

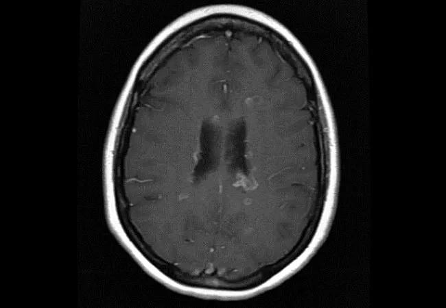
19-NEU-970-Inset

Figure. MRIs of the brain showing characteristic lesions of MS (left panel) with associated gadolinium enhancement (right panel) consistent with active inflammatory disease activity.

“Both fingolimod and DMF are newer medications, and both were found to be moderately highly efficacious in phase 3 trials against standard injectables,” explains lead investigator Carrie M. Hersh, DO, MS, a neurologist at Cleveland Clinic Lou Ruvo Center for Brain Health in Las Vegas and Cleveland Clinic’s Mellen Center for Multiple Sclerosis Treatment and Research. “We wanted to compare how they worked — and how often they were discontinued — in the real world.”

Propensity scoring to adjust for patient differences

To that end, Hersh and colleagues searched the Mellen Center’s electronic database and identified all patients who were treated with one or the other drug within one year of FDA approval — September 2010 for fingolimod (Gilenya®), and March 2013 for DMF (Tecfidera®).

The two treatment groups differed in several ways at baseline. Fingolimod recipients were more likely to be Caucasian and had longer mean disease duration, a higher proportion of relapsing-remitting disease, and more severe baseline lesion burden.

Advertisement

The investigators used two different propensity scoring methods to adjust for those differences and several others related to patient demographics, disease history, MRI findings, clinical measures, and patient-reported outcomes. “We wanted the two groups to look as similar as possible, so that essentially the only difference was the medicine they were taking,” says Dr. Hersh.

Results in brief

Before propensity score weighting, there were no differences between the groups in the study’s primary outcome measures: annualized relapse rate (ARR), drug discontinuation, or new brain lesions on MRI at 12 months.

Overall, the study’s 458 DMF recipients experienced a total 69 relapses during 423.5 patient-years of treatment, for an on-treatment ARR of 0.16, whereas the 317 fingolimod recipients collectively had 38 relapses over 298 patient-years, for an ARR of 0.13.

Even after propensity score weighting, there were no differences between the groups at 12 months in the following measures:

  • ARR
  • Overall MRI activity
  • Discontinuation rate
  • Proportion of patients with at least 20 percent worsening on the Timed 25-Foot Walk (T25-FW)
  • Scores on the Patient Health Questionnaire-9 depression test

However, the following between-group differences did emerge after propensity score weighting:

  • DMF recipients had nearly three times the number of gadolinium-enhancing lesions on MRI (odds ratio [OR] = 2.90 [95% CI, 1.24-6.57]), indicating that their illness was less well-controlled
  • DMF recipients discontinued therapy earlier due to side effects (OR = 1.35; 95% CI, 1.05-1.74), which included gastrointestinal symptoms and flushing.
  • DMF recipients experienced clinical relapses sooner (OR = 1.64; 95% CI, 1.10-2.46).

Advertisement

Implications for practice

Dr. Hersh presented these findings at the 2016 annual meeting of American Academy of Neurology. She and her colleagues also combined their data with those from a team at the University of Colorado, which had come up with similar real-world results. The Colorado group also presented their two-year data pointing in the same direction, and Dr. Hersh expects Cleveland Clinic’s two-year results to be available soon.

She says the findings don’t mean that patients with MS who are doing well on DMF need to be switched. “If their disease is well-controlled and they’re not having significant side effects, they should stay on DMF,” she advises.

But the results should be considered for patients with MS who are naïve to both drugs, Dr. Hersh believes. “Physicians trying to choose between the two can use our data to help make informed clinical decisions,” she says. “Most outcomes are comparable, but based on MRI data alone, it looks like fingolimod might have an edge over DMF.”

Advertisement

Related Articles

illustration of an alzheimer brain and a packet of sildenafil pills
March 11, 2024/Neurosciences/Research
Sildenafil as an Alzheimer’s Candidate Drug: Further Support From Insurance Database and Mechanistic Studies

Real-world claims data and tissue culture studies set the stage for randomized clinical testing

22-NEU-2959102-CQD-Hero-650×450
June 15, 2022/Neurosciences/Research
MINDS Study Will Assess Lifestyle Interventions for Slowing Brain Pathology in Preclinical Stages

New grant-funded investigation illustrates impact and reach of Cleveland Clinic Brain Study

22-NEU-2671014-CQD-650×450-Type
March 9, 2022/Neurosciences/Research
A Closer Look at the Cleveland Clinic Brain Study

How the new longitudinal investigation could become the Framingham Heart Study of brain health

20-NEU-1959738 powered-exoskeleton-for-gait-training_650x450
October 23, 2020/Neurosciences/Research
Study Signals Potential of Powered Exoskeleton for Gait Training in Multiple Sclerosis

Pilot findings show good patient acceptance and safety, early hints of efficacy

20-NEU-1990660-sleep-symptoms-in-health-workers-650×450
October 21, 2020/Neurosciences/Research
Electronic Screening for Sleep Disorders Among Healthcare Workers Is Feasible – and Sorely Needed

Study finds high prevalence of symptoms, willingness to seek treatment

20-NEU-1946228 neurofilaments_650x450
September 9, 2020/Neurosciences/Research
Serum Neurofilament Light as a Progressive MS Biomarker: Guideposts for the Road Ahead

Panel outlines research priorities around a promising alternative to imaging markers

20-NEU-1951118_Impella-temporary-LVAD_650x450_ (1)
September 4, 2020/Neurosciences/Research
Study Finds Clues to Acute Neurologic Events With Short-Term Impella Cardiac Support

Suspected factors include antithrombotic intensity, time on device, presence of thrombocytopenia

20-NEU-1929179 deep-brain-stimulation-for-TBI_650x450
September 3, 2020/Neurosciences/Research
Could DBS of the Cerebellar Dentate Nucleus Enhance Post-TBI Rehabilitation?

Preclinical studies will assess whether method developed for stroke recovery curbs deficits after brain injury

Ad