Locations:
Search IconSearch
October 9, 2017/Genomic Medicine

PTEN Hamartoma Tumor Syndrome: Why Optimal Care Needs to Be ‘All in the Family’

It’s multisystemic across the life span, but neuro features predominate early

17-NEU-981_Parikh-Eng-650×450

By Sumit Parikh, MD, and Charis Eng, MD, PhD

Advertisement

Cleveland Clinic is a non-profit academic medical center. Advertising on our site helps support our mission. We do not endorse non-Cleveland Clinic products or services. Policy

Case vignette

CA was seen for evaluation at Cleveland Clinic’s multidisciplinary PTEN clinic after being diagnosed with a germline pathogenic missense PTEN gene mutation at about 2 years of age. This boy’s diagnosis followed a chromosomal microarray done for evaluation of developmental delay, hypotonia and macrocephaly (> 3 standard deviations above the mean). He was also diagnosed with autism spectrum disorder around the same time. Review of his brain MRI, reported as normal, showed slightly prominent perivascular spaces on T2-weighted imaging with a posterior predominance.

Following CA’s diagnosis, his mother and 3-year-old sister were found to carry the identical PTEN mutation. The mother has a history of Hashimoto’s thyroiditis and a breast tumor. Measurement of her head circumference in clinic showed her to be macrocephalic (59 cm). The family history was also significant for (1) a maternal grandmother with reported macrocephaly and history of breast and uterine cancers, (2) a maternal great-uncle with macrocephaly and hypothyroidism and (3) a maternal great-grandfather with reported macrocephaly, who died from multiple cancers (including of the thyroid, brain and stomach).

Essentials of PTEN hamartoma tumor syndrome

PTEN hamartoma tumor syndrome (PHTS) — caused by heterozygous germline mutations in the phosphatase and tensin homolog (PTEN) gene, a tumor suppressor gene — leads to overgrowth in a variety of tissues and can impact cognitive function, neurological development and cancer risk. The disorder has protean and variable multisystemic manifestations that occur throughout the life span.

Advertisement

While PHTS is associated with a variety of eponymous conditions (Cowden syndrome, Bannayan-Riley-Ruvalcaba syndrome, Lhermitte-Duclos disease and PTEN-related Proteus syndrome), neurological and neurodevelopmental features predominate in childhood. Vascular malformations are increasingly being recognized. Seizures and epilepsy may also occur.

Since the early 2000s, PTEN germline mutation haploinsufficiency has been reported in association with autism, variable cognitive impairment and developmental delay in the pediatric population.1-4 PTEN dysfunction has been recognized to play a role in brain development, including neuronal survival and synaptic plasticity, due to loss of regulation of the PI3K/AKT cell proliferation pathway.5-7

In pediatric patients with PTEN gene mutations, macrocephaly is an invariable accompanying feature and is typically more than 2.5 standard deviations above the mean — and often much greater than that.8 Macrocephaly occurs in about 20 percent of children with autism spectrum disorder. Up to 10 percent of children with macrocephaly and autism may have a PTEN gene mutation that alters their prognosis and plan for preventive care.2,3 In those with the Bannayan-Riley-Ruvalcaba syndrome phenotype, a proximal myopathy, joint hyperextensibility and scoliosis may also occur.

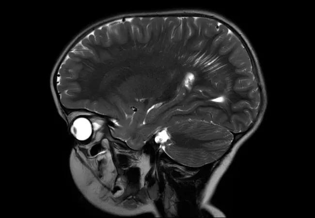
Brain MRI typically shows prominent Virchow-Robin/perivascular spaces with a posterior predominance (Figure 1). Developmental venous anomalies are very common, while high-flow intracranial vascular anomalies such as arteriovenous malformations are uncommon. Cavernomas have also been described. Cerebellar dysplastic gangliocytoma is almost pathognomonic for Lhermitte-Duclos disease, and is rarely seen in children. Lifetime cancer risk is greater than 80 percent, and higher in women than men.

Advertisement

Figure 1. Sagittal (left) and axial (right) T2-weighted images with prominent perivascular spaces showing a posterior predominance in a young child with germline PTEN gene mutation. Images courtesy of Saunder Bernes, MD, Phoenix Children’s Hospital.

PHTS: A two-way street for familial surveillance

PHTS is a complex disorder affecting multiple organs over the life span with differing manifestations based on age. Not only does a diagnosis of PTEN gene mutation require lifetime follow-up for neurological concerns and cancer risk surveillance, but given the syndrome’s genetic nature, there is high risk that a parent will be affected, requiring additional evaluation and surveillance. Similarly, when an adult is diagnosed with a PHTS disorder, it is incumbent on the clinician to ensure screening and evaluation of related children.

Neurological disorders, often genetic, that traverse the life span are increasingly being recognized, and more and more children with once-fatal diseases are surviving into adulthood. These developments, while clearly positive, do create a new clinical need — i.e., for a comprehensive care model that includes both pediatric and adult specialists familiar with these conditions and prepared to provide optimal medical care.

Cleveland Clinic’s multidisciplinary PTEN clinic, established nearly a decade ago, is one of a limited number of programs bringing together a comprehensive team of pediatric and adult providers to ensure coordinated care across the continuum — and the family. The PTEN clinic’s interdisciplinary staff accommodate approximately 50 family visits each year. We are grateful that Cleveland Clinic Children’s place within the overall Cleveland Clinic health system — with sharing of mission, resources and electronic medical records — facilitates the coordinated support that PHTS-affected families invariably need.

Advertisement

References

  1. Goffin A, Hoefsloot LH, Bosgoed E, et al. PTEN mutation in a family with Cowden syndrome and autism. Am J Med Genet. 2001;105:521-524.
  2. Varga EA, Pastore M, Prior T, et al. The prevalence of PTEN mutations in a clinical pediatric cohort with autism spectrum disorders, developmental delay, and macrocephaly. Genet Med. 2009;11:111-117.
  3. Butler MG, Dasouki MJ, Zhou XP, et al. Subset of individuals with autism spectrum disorders and extreme macrocephaly associated with germline PTEN tumour suppressor gene mutations. J Med Genet. 2005;42:318-321.
  4. Hansen-Kiss E, Beinkampen S, Adler B, et al. A retrospective chart review of the features of PTEN hamartoma tumour syndrome in children. J Med Genet. 2017;54:471-478.
  5. Yin J, Schaaf CP. Autism genetics—an overview. Prenat Diagn. 2017;37:14-30.
  6. Keppler-Noreuil KM, Parker VE, Darling TN, et al. Somatic overgrowth disorders of the PI3K/AKT/mTOR pathway & therapeutic strategies. Am J Med Genet C Semin Med Genet. 2016;172:402-421.
  7. Tilot AK, Frazier TW, Eng C. Balancing proliferation and connectivity in PTEN-associated autism spectrum disorder. Neurotherapeutics. 2015; 12:609-619.
  8. Mester JL, Tilot AK, Rybicki LA, Frazier TW, Eng C. Analysis of prevalence and degree of macrocephaly in patients with germline PTEN mutations and of brain weight in Pten knock-in murine model. Eur J Hum Genet. 2011;19:763-768.

Dr. Parikh is Head of the Neurogenetics and Neurometabolism Program in Cleveland Clinic’s Center for Pediatric Neurosciences.

Advertisement

Dr. Eng is Chair of Cleveland Clinic’s Genomic Medicine Institute.

Related Articles

DNA

Is the MTHFR Gene Mutation Associated With Thrombosis?

The relationship between MTHFR variants and thrombosis risk is a complex issue, but current evidence points to no association between the most common variants and an elevated risk

HVI_Kelley_4277155_Patient Procedure Shoot- First in Human Trial
October 27, 2023/Genomic Medicine

Cleveland Clinic Treats First Patient With Investigational Gene Therapy for Hypertrophic Cardiomyopathy

One-time infusion of adenovirus-based therapy is designed to restore heart muscle function

23-NEU-4035612-CQD-Hero-650×450
August 17, 2023/Genomic Medicine

Parkinson’s Disease Research in Women (Podcast)

Studying gender-specific health factors promises new insight into diagnosis, prognosis, treatment

23-NEU-3989309-CQD-Hero-Podcast-650×450 (1)
July 3, 2023/Genomic Medicine

Genetics of Parkinson’s Disease in Latino Populations (Podcast)

Consortium is uncovering risk factors that spur disease development in an understudied group

23-CCC-3620671-CQD-650×450-1
February 22, 2023/Genomic Medicine/Research

Determining Autism, Cancer Risk in Patients with PTEN Hamartoma Tumor Syndrome

Cleveland Clinic researchers receive $2 million grant from the National Institutes of Health

22-NEU-2638258 genetics_650x450
August 8, 2022/Genomic Medicine

The Case for a Precision Medicine Approach to Training Epilepsy Clinicians

New Cleveland Clinic fellowship fosters expertise in the genetics of epilepsy

21-URL-2361635 CQD 650×450
June 23, 2022/Genomic Medicine

Managing Refractory Hypocalcemia in an Asymptomatic Patient During Pregnancy

Renal genetic testing confirms diagnosis, guides management

22-NEU-2832861-epilepsy-evaluation-in-infant-650×450
April 6, 2022/Genomic Medicine

Prediction Model Aids in the Early Diagnosis of Dravet Syndrome

Integrates genetic and clinical data to distinguish from GEFS+ and milder epilepsies

Ad