Locations:
Search IconSearch

Preserving Kidneys in the Face of Large Complex Tumors and Poor Function

With a careful technique, surgeons can perform PN for tumors once deemed unresectable

With improvements and evolution in robotic technology, robotic partial nephrectomy (RPN) is proving more and more successful for larger, complicated tumors.

Advertisement

Cleveland Clinic is a non-profit academic medical center. Advertising on our site helps support our mission. We do not endorse non-Cleveland Clinic products or services. Policy

Jihad Kaouk, MD, Director, Center for Robotic and Image-Guided Surgery, Glickman Urological & Kidney Institute, and colleagues published a retrospective study in The Journal of Urology, in which they examined preoperative factors associated with conversion from partial to radical nephrectomy (RN).

“These are very complex cases that have been deemed poor candidates for RPN due to high tumor complexity, and they tend to be older and have poorer kidney function,” Dr. Kaouk notes. “If the entire kidney is removed, some of these patients will end up needing dialysis. So we are sparing them consequences that could hurt them as much or more than the cancer itself.

“We have been able to perform successful partial nephrectomies in 97 percent of patients who fit this profile at our institution,” Dr. Kaouk says, citing study results.

For this approach to be successful, three criteria must be met.

“First, the residual kidney must be viable,” Dr. Kaouk says, noting that postsurgery, a kidney remnant volume of less than 30 percent of original tissue volume may not be functional. An estimated glomerular filtration rate (eGFR) lower than 40 ml/min/1.73 m2 for bilateral kidneys and 20 ml/min/1.73 m2 for a solitary kidney will significantly increase the risk of postsurgery dialysis.

“Second, we must be able to resect the entire tumor and obtain negative margins,” he says. “In addition to completely resecting the cancer and preserving a viable kidney remnant, we must be able to achieve hemostasis and minimize the risk of postoperative bleeding.”

Advertisement

Older, sicker patients with bigger tumors

The study involved 1,023 RPN cases performed at Cleveland Clinic between 2010 and 2015. Researchers compared successfully completed and converted cases, assessing tumor characteristics and preoperative and oncological outcomes.

They found 3 percent, or 42 out of 1,023 cases, required conversion to RN. The most common reasons for conversion included failure to achieve negative margin on frozen sections, suspicion of advanced disease and failure of progress due to sticky and inflammatory fat or difficult anatomy. The conversion patients also had larger and more complex tumors.

Extending indications for RPN

The investigation’s conversion rate from RPN to RN was slightly higher than those reported in other published observational studies, which may be due to the fact that Cleveland Clinic attracts and treats patients with more complex tumors.

“We performed successful partial nephrectomies in 97 percent of these patients with complex kidney tumors,” Dr. Kaouk offers. “By extending indications for partial nephrectomy, we were able to avoid dialysis for some of these patients, and this is a very gratifying outcome.”

Figure 1. CT scan of the abdomen (coronal) showing a 6.6 cm right renal mass on a solitary kidney with segmental renal vein thrombosis (arrow). R.E.N.A.L. score 10a.

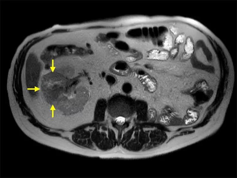
Figure 2. MRI of the abdomen (axial) showing a 6.6 cm right renal mass on a solitary kidney. R.E.N.A.L. score 10a

Figure 3. MRI of the abdomen (coronal) showing a 6.6 cm highly complex right renal mass on a solitary kidney with a R.E.N.A.L. score of 10a.

Advertisement

Related Articles

Man sitting at kitchen table with blood pressure monitor and pill bottles

Should Patients Take Blood Pressure Medications in the Evening to Enhance Cardiovascular Benefit?

Clinicians should individualize dosing practices based on patient risk factors and preferences

Drawing of surgeon's fingers pressing into a patient's body

Low Anterior Access Enhances Outcomes in Single-Port Robotic Urologic Surgeries

Pioneering and refining the approach in pyeloplasty, nephrectomy and more

Drawing of a pink bulb with two tubes coming out of the top

Predicting Post-Op GFR: AI Algorithm Is as Accurate as Clinical Model

Fully-automated process uses preop CT, baseline GFR to estimate post-nephrectomy renal function

Arm of Black patient having kidney dialysis

GFR Equations: How Will Eliminating the Race Coefficient Affect Black Patients?

Could mean earlier treatment, but also could have negative effects

Man examining prescription bottle in kitchen
February 27, 2024/Urology & Nephrology/Urology

Oral Medication Offers New Option for Testosterone Replacement

Unlike earlier pills, new drugs do not cause liver toxicity

URL_Pavelko_3777858_Urology_Dr. Lundy in Clinic_04-26-23_LDJ
January 30, 2024/Urology & Nephrology/Urology

Starting the Conversation About Male Infertility

Male factors play a role in about half of all infertility cases, yet men often are not evaluated

URL_Mould_4456309_Dr. Jihad Kaouk during Procedure_12-12-23

Using One Single-Port Robot for Both Kidney Transplant Donor and Recipient

Surgeons choreograph nearly simultaneous procedures, sharing one robot between two patients

Senior at the Doctors

Study Assesses the Utility of Renal Genetic Testing in Black Patients

Identifying barriers in the renal genetic assessment of Black patients

Ad