Locations:
Search IconSearch

Pioneering Study Aims to Bring Light to the Shadows Around Pearson Syndrome

First-ever natural history study of a devastating mitochondrial disease

18-NEU-765-Sideroblastic-Anemia-650×450

Of all the mitochondrial diseases, few are as devastating as Pearson syndrome and its follow-on disorder, Kearns-Sayre syndrome. Cleveland Clinic expert Sumit Parikh, MD, is leading a study that aims to elucidate the natural history of the lethal illness and ultimately to ease suffering and prolong life among those affected.

Advertisement

Cleveland Clinic is a non-profit academic medical center. Advertising on our site helps support our mission. We do not endorse non-Cleveland Clinic products or services. Policy

The study is part of Cleveland Clinic’s broader dedication to the field of mitochondrial diseases. Dr. Parikh directs Cleveland Clinic’s Mitochondrial Medicine Center, which serves as one of several national mitochondrial disease centers providing coordinated multidisciplinary care expertise. The Cleveland Clinic program has cared for hundreds of patients with primary mitochondrial diseases, including about 20 with Pearson syndrome.

A Pearson syndrome primer

Typically arising de novo in infancy, Pearson syndrome initially affects the bone marrow and pancreas. “It’s a problem in the mitochondrial DNA but not inherited in the vast majority of cases,” Dr. Parikh explains. “The child is missing a portion of his or her mitochondrial DNA, so the body can’t make healthy energy factories.”

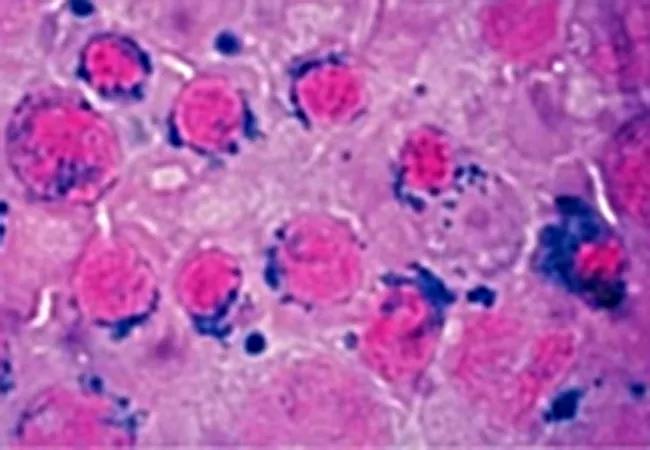
Hematologists are often the clinicians who diagnose Pearson syndrome, based on the finding of sideroblastic anemia (depicted in image above) on a bone marrow biopsy followed by genetic confirmation.

The bone marrow failure leads to an early transfusion dependency. Infants may also have a lack of pancreatic enzymes with malabsorption, failure to thrive and liver steatosis. In the past, patients typically died in infancy or childhood. Now, with medical management of those conditions, affected children are at least surviving infancy into childhood.

Patients will typically remain stable through approximately age 4 or 5 years, at which point they start experiencing system problems throughout the body with varying degrees of severity. Many will go on to develop Kearns-Sayre syndrome, with cognitive decline, ophthalmoplegia, retinal disease, cardiac conduction defects, ataxia, myopathy, thyroid/parathyroid deficiencies, mitochondrial diabetes and renal tubular dysfunction.

Advertisement

“All these manifestations have to do with areas of the body most reliant on mitochondrial energy production,” Dr. Parikh notes. “They’re classic mitochondrial disease symptoms. Kearns-Sayre is one of the most severe types, in that every organ that can be affected by a mitochondrial disease often is affected.”

Today, children who survive Pearson syndrome long enough to develop Kearns-Sayre usually die in adolescence. Thankfully, the condition is believed to affect fewer than 100 people worldwide. A treatment — and, hopefully, a cure — is actively being sought.

Following the syndrome’s natural history

To better understand the natural course of Pearson syndrome, Dr. Parikh and colleagues have launched a multisite, prospective, observational study that recruits patients from sites participating in the North American Mitochondrial Disease Consortium (NAMDC), a network of clinicians and investigators in the U.S. and Canada. The NAMDC maintains a Pearson syndrome patient registry, from which data will be incorporated into the study.

Cleveland Clinic contributes the largest number of study subjects — 14, of whom 10 are still alive at this writing. Dr. Parikh hopes to enroll up to 20. “We want to follow as many patients as possible for as long as we can,” he explains. “Our challenge is that the disease is rare and our patients pass away. Our oldest patient was only 16 when he died.”

No interventions outside of routine care are involved; patients are examined extensively in person once a year, if possible. If not, they are assessed virtually. “We’re collecting data for every organ system to see how the disease progresses and to get a deeper, more intimate understanding,” says Dr. Parikh.

Advertisement

One of many mitochondrial disease collaborations

This study is the first of its kind in Pearson syndrome and among several such studies of a variety of mitochondrial diseases supported with funding from the National Institutes of Health’s Rare Diseases Clinical Research Network. Additional NAMDC studies are examining Alpers disease and pyruvate dehydrogenase complex deficiency.

“For many rare diseases, we don’t know how they evolve or how to guide families,” Dr. Parikh notes. “All the system problems from head to toe aren’t being looked at prospectively. Usually it’s only when patients are symptomatic.”

One aim of studying these conditions’ natural course is to enable researchers to determine whether a particular intervention, such as a drug, is actually making a difference. Another aim, of course, is to inform optimal clinical care.

To that end, Dr. Parikh and colleagues in the Mitochondrial Medicine Society (MMS) recently published two consensus statements on mitochondrial disease management — one on diagnosis in 2015, and one on comprehensive patient management in 2017.

Recommendations from those statements will be implemented in a network of care centers, called the Mitochondrial Care Network, now being established across the U.S. The project is a joint effort of the MMS, the United Mitochondrial Disease Foundation, MitoAction and the Foundation for Mitochondrial Medicine. More than 26 centers submitted applications for the pilot phase, due to begin soon.

Network goals include offering appropriate evaluation and diagnosis for primary mitochondrial diseases, providing comprehensive medical care to affected patients, fostering patient education and promoting participation in clinical trials and registries. “These objectives align fully with Cleveland Clinic’s mission of providing the best comprehensive, multidisciplinary care for patients with mitochondrial diseases, including optimal preventive care and participation in drug trials,” says Dr. Parikh.

Advertisement

Pathology image at top depicts ringed sideroblasts in a case of refractory anemia (iron stain ×100). Reprinted from Gupta et al., J Blood Med. 2010;1:171-182.

Advertisement

Related Articles

16-NEU-2800-Kubu-101058161-650×450

What Do Patients Want from DBS for Parkinson’s Disease?

New study advances understanding of patient-defined goals

photo of a man sleeping at a desk, with a podcast icon overlay
March 15, 2024/Neurosciences/Podcast

Diagnosis and Management of Idiopathic Hypersomnia (Podcast)

Testing options and therapies are expanding for this poorly understood sleep disorder

illustration of an alzheimer brain and a packet of sildenafil pills
March 11, 2024/Neurosciences/Research

Sildenafil as an Alzheimer’s Candidate Drug: Further Support From Insurance Database and Mechanistic Studies

Real-world claims data and tissue culture studies set the stage for randomized clinical testing

brain scan showing perimesencephalic subarachnoid hemorrhage

Study Supports Less-Strict Monitoring for Nonaneurysmal Perimesencephalic SAH Without Hydrocephalus

Digital subtraction angiography remains central to assessment of ‘benign’ PMSAH

illustrated brain with the letters "AI" on a computer circuit board

As AI Tools Emerge, Be Proactive and Engaged to Shape Their Development

Cleveland Clinic neuromuscular specialist shares insights on AI in his field and beyond

histology image of a gray matter lesion in a multiple sclerosis brain

Study Suggests Protective Role for Microglia at Borders of Gray Matter Lesions in Progressive MS

Findings challenge dogma that microglia are exclusively destructive regardless of location in brain

series of digital-looking brain icons with a podcast button overlay on top
March 1, 2024/Neurosciences/Podcast

Harnessing the Power of AI in Medicine (Podcast)

Neurology is especially well positioned for opportunities to enhance clinical care and medical training

illustration of a neuron affected by multiple sclerosis

Clinical Trials in Progressive MS: An Assessment of Advances and Remaining Challenges

New review distills insights from studies over the past decade

Ad