Locations:
Search IconSearch
July 16, 2020/Orthopaedics/Hip & Knee

Patient With Multifocal Avascular Necrosis Undergoes Hip and Knee Preservation Surgeries, Completes Triathlon 1 Year Later

Orthopaedic surgeon discusses complex case

20-ORI-1915903-CQD-AVN-Osteotomy_Hero

By Atul F. Kamath, MD

Advertisement

Cleveland Clinic is a non-profit academic medical center. Advertising on our site helps support our mission. We do not endorse non-Cleveland Clinic products or services. Policy

In 2018, a 30-year-old male presented to Cleveland Clinic’s Center for Hip Preservation with a known history of multifocal avascular necrosis (AVN). Having undergone prior treatments by Atul Kamath, MD for hip and knee issues, his latest presentation involved varus malalignment and AVN of the knee, causing pain and disrupting his active lifestyle. He had thus far recovered successfully from prior treatments under the direction of Dr. Kamath: left hip arthroscopy, bilateral hip core decompression with biologic augmentation, and combined allograft osteochondral transplant and high tibial osteotomy of the right knee.

AVN, also known as osteonecrosis, is a condition caused by a lack of blood supply to the bone tissue, commonly the femoral head. There are numerous etiologies for this disease, with severe multifocal disease a less common presentation. Some studies estimate around 20,000 to 30,000 cases of AVN diagnosed in the U.S. each year.1

The patient, a former Marine and marathoner, was diagnosed with multifocal AVN a few years prior to his clinical encounter at Cleveland Clinic. Prior to my initial encounter with the patient, he had undergone two knee decompression surgeries, but had continued knee pain. At the time of evaluation, we confirmed AVN lesions of the left knee without collapse of the articular surface – in conjunction with varus malalignment – and joint-preservation surgery was recommended for his left knee.

Together, we created a treatment plan for the left knee that included a high tibial osteotomy (Figure 1) to realign the mechanical axis, core decompression of femoral and tibial lesions to improve blood flow and attempt to slow progression of AVN, with harvest of autologous bone marrow concentrate, and lastly a subchondroplasty procedure to augment bone edema lesions.

Advertisement

A complex, multi-approach procedure

The high tibial osteotomy was performed to shift the weight-bearing line from the medial compartment of the knee to the desired position in the lateral compartment consistent with the preoperative plan. A biplanar cutting jig was used to maintain coronal and sagittal plane deformity correction parameters (Figures 2A & 2B). Final anteroposterior and lateral knee views, and long-limb intra-operative imaging revealed excellent alignment and bone graft technique.

Attention was then turned to the AVN treatment portion of the procedure, including core decompression. An aspiration of bone marrow was performed first using specializing needles coated with a heparin solution to prevent cell clotting. Multiple parallel bone cortex access sites were utilized to increase the yield of cells. This bone marrow was aspirated slowly to avoid trauma to the aspirated cells. The bone marrow solution was placed in a centrifugation system to produce bone marrow concentrate suitable for injection2.

Concurrent with centrifugation, the AVN lesions were accessed sequentially. Using fluoroscopic guidance and carefully referencing of preoperative three-dimensional advanced imaging studies, the decompression instruments were malleted through the cortex of the femur and tibia into the necrotic lesions. Power was not used to avoid heat necrosis. Intraoperative fluoroscopy in multiple planes demonstrated that the instruments were within the osteonecrotic lesion.

Next, the progenitor cells (bone marrow concentrate) were injected into the individual AVN sites. The coring instrument was removed taking care to place some cancellous bone into the track. A subchondroplasty procedure was performed on the left medial femoral condyle, with an injection of 3 cc of AccuFill material via the trochar instrumentation. The patient tolerated the procedure without complication.

Advertisement

Figure 1. Bone model demonstrating varus-producing high tibial osteotomy to address varus malalignment of the lower extremity.

Figure 2. Intraoperative views (2A, 2B) of an intraoperative biplanar alignment jig used to perform accurate high tibial osteotomy correction.

A remarkable road to recovery

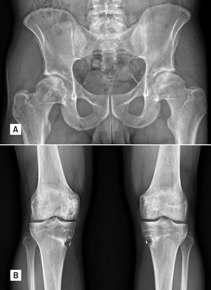
The patient recovered remarkably well. Post-operative imaging demonstrated satisfactory healing and maintained limb alignment (Figures 3A & B). As soon as he completed his dedicated post-operative physical rehabilitation protocol after his most recent knee surgery, he began working with a personal trainer to prepare for an Ironman event, which he would go on to complete less than one year later.

Given the complexity of his condition and the procedure, he will likely require a lifetime of follow-up care. His rehabilitation and athletic prowess is undoubtedly a testament to him and to his psyche and motivation, which provide added benefit to the orthopaedic and biologic care he received at Cleveland Clinic.

Cleveland Clinic Hip Preservation Center

As a specialty center, we treat many patients with rare conditions, like AVN, offering a diverse, multimodal approach to surgical and nonsurgical interventions. Our goal is to work with the patient to leverage advanced techniques to preserve damaged joints, rather than replace them, which was the approach we took in this particular case. This case harnessed both biologic and mechanical techniques to optimize the clinical result. Every patient is different, but in many cases, the longer a person’s original joints can be maintained, the better — even if we can delay a replacement for another 5, 10 or 15 years.

Advertisement

Ours is one of the few centers in the United States that provides this level of comprehensive care for the hip/pelvis and entire lower extremity. We evaluate and treat patients of all ages for consultations and second opinions. Specialists and subspecialists from many areas work together as one unit, and draw on resources from research, to education, to advanced diagnostics and procedural interventions.

Figure 3. Postoperative anteroposterior pelvis (3A) and bilateral knee (3B) radiographs.

References

  1. Moya-Angeler J, Gianakos AL, Villa JC, Ni A, Lane JM. Current concepts on osteonecrosis of the femoral head. World J Orthop. 2015;6(8):590-601. 2015 Sep 18. doi:10.5312/wjo.v6.i8.590
  2. Talathi NS,Kamath AF. Autologous stem cell implantation with core decompression for avascular necrosis of the femoral head. J Clin Orthop Trauma. 2018 Oct-Dec;9(4):349-352. doi: 10.1016/j.jcot.2018.05.014.

Advertisement

Related Articles

X-ray showing leg bones
March 6, 2024/Orthopaedics/Tumor

The Latest in Limb-Sparing Techniques for Pediatric Patients With Sarcoma

Biologic approaches, growing implants and more

Blue illustration of knee with torn ACL in red
February 29, 2024/Orthopaedics/Hip & Knee

Aspiration and Corticosteroid Injection Are Safe After ACL Injury

Study reports zero infections in nearly 300 patients

Swollen knee with scar
February 26, 2024/Orthopaedics/Hip & Knee

Is Joint Inflammation and Pain After Total Knee Arthroplasty an Infection or Gout?

How to diagnose and treat crystalline arthropathy after knee replacement

Dissected knee with robotic pins inside the incision
February 19, 2024/Orthopaedics/Hip & Knee

Intraincisional Pin Placement Is Safe Alternative in Robot-Assisted Total Knee Arthroplasty

Study finds that fracture and infection are rare

Multiple MRI scans of knees
February 12, 2024/Orthopaedics/Arthritis

Arthritis Foundation and Cleveland Clinic to Build National Osteoarthritis Imaging Center

Center will coordinate, interpret and archive imaging data for all multicenter trials conducted by the foundation’s Osteoarthritis Clinical Trial Network

Close up of the one round white pill in female hand.
January 4, 2024/Orthopaedics/Hip & Knee

Patients Use Less Pain Medication After Robot-Assisted Hip Replacement Compared With Conventional Surgery

Reduced narcotic use is the latest on the list of robotic surgery advantages

ORI_Viars_4102672_Hand Surgery Bootcamp – Dr. Styron_08-18-23
December 21, 2023/Orthopaedics/Upper Extremity

Boot Camp Prepares Trainees for Hand Surgery Fellowships

Cleveland Clinic specialists offer annual refresher on upper extremity fundamentals

The Featured Image for the post
November 29, 2023/Orthopaedics/Hip & Knee

What We’ve Learned From 10,000 Robot-Assisted Total Joint Replacements

Cleveland Clinic orthopaedic surgeons share their best tips, most challenging cases and biggest misperceptions

Ad