Locations:
Search IconSearch

Not All Joint Pain Is Arthritis: When to Consider Whipple Disease

The clinical picture

RTEmagicC_Kochhar_WhippleDisease_F1.gif

By Gursimran S. Kochhar, MD, Maged Rizk, MD, Deepa T. Patil, MD

Advertisement

Cleveland Clinic is a non-profit academic medical center. Advertising on our site helps support our mission. We do not endorse non-Cleveland Clinic products or services. Policy

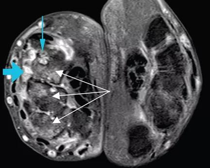
A 47-year-old man who had been diagnosed with rheumatoid arthritis 5 years previously was referred to us for management of bilateral pleural effusions. At the time of his diagnosis, his symptoms included pain and swelling of both wrists and the metacarpal joints of both hands. His serum C-reactive protein level had been elevated at that time, but he had no detectable rheumatoid factor. Findings on magnetic resonance imaging of the hand were very suggestive of rheumatoid arthritis (See image above: Axial T1-weighted magnetic resonance imaging with gadolinium contrast shows synovitis (large blue arrow) along the dorsal aspect of the wrist. Also seen are erosions in the carpal bones (thin blue arrow) and bone marrow edema (white arrows), which is asymmetrical compared with the other wrist, a finding highly suggestive of rheumatoid arthritis.). He had been started on the anti-tumor necrosis factor agent etanercept but his symptoms improved only slightly, and therefore a glucocorticoid had been added. Two years later, he developed abdominal pain, for which he underwent cholecystectomy. However, he continued to have chronic, generalized abdominal pain, and over the next 4 years he lost 25 lb. Upper endoscopy showed no mucosal changes, and multiple random biopsy samples were obtained for histologic evaluation (Figure) as part of his workup for chronic abdominal pain.

Two figures

Figure. (A) The duodenal mucosa shows expansion of the lamina propria by “foamy“ macrophages (black arrow) admixed with eosinophils (yellow arrowhead) and plasma cells (black arrowhead) (hematoxylin and eosin, × 100). (B) Periodic acid-Schiff staining with diastase digestion reveals foamy macrophages containing diastase-resistant bacilli (arrow) (× 200).

Advertisement

Q: What is the diagnosis?

A: As shown in the figure above, staining of duodenal specimens showed intact villous architecture, with focal expansion of the lamina propria by “foamy” macrophages, rare plasma cells, and eosinophils, a key feature of Whipple disease. Periodic acid-Schiff staining showed numerous bacilli within the macrophages, thus confirming the diagnosis of Whipple disease. The diagnosis was also confirmed by polymerase chain reaction testing. Staining for acid-fast bacilli was negative.

When To Consider Whipple Disease

Whipple disease is a rare systemic disease with a very low incidence rate worldwide. Thus, its prevalence is difficult to estimate accurately. It is caused by a gram-positive bacterium, Tropheryma whippelii.1,2 The typical clinical manifestations are diarrhea, abdominal pain, weight loss, and fever. In most patients, these are often preceded by articular symptoms,3 as in our patient, who had articular symptoms for 5 years before he was diagnosed with Whipple disease.

Interestingly, our patient also had pleural effusion, which is uncommon in Whipple disease.4

The pathogenesis of Whipple disease is thought to be related to bacterial replication within macrophages, which leads to a systemic immune response and tissue infiltration by the organism.5 Histologic evaluation is the most common way to confirm the diagnosis.

As our patient’s disease course illustrates, Whipple disease should be part of the differential diagnosis of arthritis, as antibiotic therapy alone leads to a dramatic clinical response.

Our patient was started on a 2-week course of intravenous ceftriaxone followed by oral sulfamethoxazole and trimethoprim, and his abdominal and articular symptoms completely resolved within 4 weeks.

Advertisement

This article originally appeared in the Cleveland Clinic Journal of Medicine, 2013 May;80(5):272-273.

References

  1. Dutly F, Altwegg M. Whipple’s disease and ‘Tropheryma whippelii.’ Clin Microbiol Rev 2001; 14:561–583.

  1. Raoult D, Birg ML, La Scola B, et al. Cultivation of the bacillus of Whipple’s disease. N Engl J Med 2000; 342:620–625.

  1. Relman DA, Schmidt TM, MacDermott RP, Falkow S. Identification of the uncultured bacillus of Whipple’s disease. N Engl J Med 1992; 327:293–301.

  1. Durand DV, Lecomte C, Cathébras P, Rousset H, Godeau P. Whipple disease. Clinical review of 52 cases. The SNFMI Research Group on Whipple disease. Société Nationale Française de Médecine Interne. Medicine (Baltimore) 1997; 76:170–184.

  1. Dobbins WO, Ruffin JM. A light- and electron-microscopic study of bacterial invasion in Whipple’s disease. Am J Pathol 1967; 51:225–242.

Advertisement

Related Articles

Doctor talking with patient

Consider Risk Factors When Deciding Care Path for Postoperative Crohn’s Disease

Strong patient communication can help clinicians choose the best treatment option

Federico Aucejo, MD
February 7, 2024/Digestive/Transplant

New Research Indicates Liver Transplant, Resection as an Option for Patients with CRLM

ctDNA should be incorporated into care to help stratify risk pre-operatively and for post-operative surveillance

Impostor phenomenon
February 6, 2024/Digestive/Research

Recognizing the Impact of Impostor Phenomenon and Microaggressions in Gastroenterology

The importance of raising awareness and taking steps to mitigate these occurrences

Koji Hashimoto, MD, and team
February 2, 2024/Digestive/Research

Combined Cardiac Surgery and Liver Transplant Is a New Option for Highly Selected Patients

New research indicates feasibility and helps identify which patients could benefit

Ajita Prabhu, MD
January 29, 2024/Digestive/Case Study

Case Study: Repair Surgery for Patient with Hernia and Abdominal Damage

Treating a patient after a complicated hernia repair led to surgical complications and chronic pain

liver
December 8, 2023/Digestive/Research

MILU Improves Outcomes Among Critically Ill Patients with Advanced Liver Disease

Standardized and collaborative care improves liver transplantations

CQD-4306360-robotic-1
December 4, 2023/Digestive/Innovation

First Robotic Sleeve Gastrectomy Using Magnets in the US Performed at Cleveland Clinic

Fewer incisions and more control for surgeons

alcohol
November 17, 2023/Digestive/Research

Younger Patients with Alcohol-Associated Hepatitis Present to the ED More Often, Research Shows

Caregiver collaboration and patient education remain critical

Ad