Locations:
Search IconSearch
February 2, 2017/Orthopaedics/Foot & Ankle

A New Concern: Ankle Valgus after Hindfoot Fusion

Valgus tibiotalar tilt tough to treat, common

16-ORT-2647 Miniaci ConsultQD_650x450

By Sara Lyn Miniaci-Coxhead, MD

Advertisement

Cleveland Clinic is a non-profit academic medical center. Advertising on our site helps support our mission. We do not endorse non-Cleveland Clinic products or services. Policy

Arthrodesis of the hindfoot is a common, reliable option for treatment of arthritis and deformity involving the subtalar, talonavicular and calcaneocuboid joints. The development of valgus tibiotalar tilt of the ankle joint has been noted as a complication of these procedures. Only limited data examine the incidence and predictive factors of valgus tibiotalar tilt following hindfoot fusion. We sought with this study to define the incidence of valgus tibiotalar tilt, and to identify any pre- or postoperative radiographic parameters that may predict its postop development.

Valgus tibiotalar tilt tough to treat, common

Valgus tibiotalar tilt is a tough phenomenon to treat given deltoid ligament insufficiency and the limited options for deltoid ligament reconstruction. In addition, ankle joint incongruity leads to accelerated wear due to increased eccentric contact pressures. This can lead to ankle arthritis, another difficult problem with limited surgical treatment options.

We retrospectively reviewed all patients over a 10-year period who underwent a subtalar, subtalar and talonavicular (double), or subtalar, talonavicular and calcaneocuboid (triple) arthrodesis. Exclusion criteria included an ankle arthrodesis, a revision procedure, total ankle arthroplasty or a deltoid ligament reconstruction at the time of the index procedure. Patients were also excluded if the indication for surgery was a cavus foot deformity or Charcot arthropathy, or if they did not have a complete set of weight-bearing foot and ankle radiographs (pre- and postoperative).

Advertisement

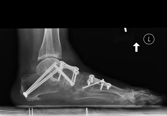
16-ORT-2647 Miniaci ConsultQD Inset 1

Figure 1. Preop (above) and postop (below) radiographs of a patient who developed tibiotalar tilt postop.

A total of 187 patients were eligible for the study. The average age was 52 (11 to 82) years. The most common indication for surgery was adult-acquired flatfoot deformity (92, 49.2 percent), followed by arthritis (83, 44.4 percent). The most common procedure was a triple arthrodesis (101, 54 percent). A total of 51 patients (27.3 percent) developed valgus tibiotalar tilt postoperatively, at an average time of 3.6 months after surgery (Figure 1).

Standardized measurements were taken on both pre- and postoperative films. These measurements were previously described as appropriate in the evaluation of pes planus. We found that an increase in preoperative Meary’s (lateral talar-first metatarsal) angle (hazard ratio 1.039, CI: 1.002-1.077; P < 0.05) was associated with development of valgus tibiotalar tilt. An increase in postoperative Meary’s angle (hazard ratio 1.052, CI: 0.999- 1.108, P = 0.0528) approached significance for development of tibiotalar tilt. We found that patients with larger or undercorrected deformities were more likely to develop tibiotalar tilt.

16-ORT-2647 Miniaci ConsultQD Inset 2

Figure 2. A. A large preoperative deformity. B. An undercorrected deformity.

Fusion and deltoid ligament attenuation lead to tilt

A review of multiple cadaver studies revealed that the development of valgus tibiotalar tilt appears to be related to strain and incompetence of the deltoid ligament. In a patient with a flatfoot deformity, weight-bearing forces dissipate throughout the hindfoot, allowing the tibiotalar joint to remain in appropriate alignment. However, once the hindfoot is fused, it lacks flexibility. This rigidity, combined with deltoid ligament attenuation, leads to eccentric forces through the tibiotalar joint, producing valgus tibiotalar tilt.

Advertisement

Alert patients to risk, assess deltoid

This information has an important impact on our surgical practice. First, high-risk patients should be informed about the risks and consequences of valgus tibiotalar tilt.

Operative planning should center on a reconstruction-based procedure rather than a fusion when feasible, as this would allow hindfoot flexibility. Also, surgeons should assess and consider possible reconstruction of the deltoid ligament at the time of correction, in hopes of preventing tibiotalar tilt.

Our ongoing research in this area will compare the outcomes of patients who do and do not develop tibiotalar tilt. We are also examining the role of deltoid ligament stress during a hindfoot fusion and the efficacy of deltoid ligament reconstruction at the time of the index procedure. The more we learn about the development and impact of tibiotalar tilt, the more we can avoid further morbidity for our patients.

Dr. Miniaci-Coxhead is associate staff in the Department of Orthopaedic Surgery. She would like to acknowledge coauthors for this project, A. Samuel Flemister, MD, and John P. Ketz, MD, at the University of Rochester, Department of Orthopaedics and Rehabilitation, in Rochester, NY.

Advertisement

Related Articles

X-ray showing leg bones
March 6, 2024/Orthopaedics/Tumor

The Latest in Limb-Sparing Techniques for Pediatric Patients With Sarcoma

Biologic approaches, growing implants and more

Blue illustration of knee with torn ACL in red
February 29, 2024/Orthopaedics/Hip & Knee

Aspiration and Corticosteroid Injection Are Safe After ACL Injury

Study reports zero infections in nearly 300 patients

Swollen knee with scar
February 26, 2024/Orthopaedics/Hip & Knee

Is Joint Inflammation and Pain After Total Knee Arthroplasty an Infection or Gout?

How to diagnose and treat crystalline arthropathy after knee replacement

Dissected knee with robotic pins inside the incision
February 19, 2024/Orthopaedics/Hip & Knee

Intraincisional Pin Placement Is Safe Alternative in Robot-Assisted Total Knee Arthroplasty

Study finds that fracture and infection are rare

Multiple MRI scans of knees
February 12, 2024/Orthopaedics/Arthritis

Arthritis Foundation and Cleveland Clinic to Build National Osteoarthritis Imaging Center

Center will coordinate, interpret and archive imaging data for all multicenter trials conducted by the foundation’s Osteoarthritis Clinical Trial Network

Close up of the one round white pill in female hand.
January 4, 2024/Orthopaedics/Hip & Knee

Patients Use Less Pain Medication After Robot-Assisted Hip Replacement Compared With Conventional Surgery

Reduced narcotic use is the latest on the list of robotic surgery advantages

ORI_Viars_4102672_Hand Surgery Bootcamp &#8211; Dr. Styron_08-18-23
December 21, 2023/Orthopaedics/Upper Extremity

Boot Camp Prepares Trainees for Hand Surgery Fellowships

Cleveland Clinic specialists offer annual refresher on upper extremity fundamentals

The Featured Image for the post
November 29, 2023/Orthopaedics/Hip & Knee

What We’ve Learned From 10,000 Robot-Assisted Total Joint Replacements

Cleveland Clinic orthopaedic surgeons share their best tips, most challenging cases and biggest misperceptions

Ad