Locations:
Search IconSearch

Neuromuscular Ultrasound: Defining Its Growing Utility in Managing Peripheral Nerve Disease

Benefits include excellent resolution, dynamic field of view

Shook-690×380

By Steven Shook, MD

Advertisement

Cleveland Clinic is a non-profit academic medical center. Advertising on our site helps support our mission. We do not endorse non-Cleveland Clinic products or services. Policy

High-resolution ultrasound has emerged as a useful tool to guide the management of patients with peripheral nerve entrapments, tumors, trauma and other surgically amenable pathology. The procedure is a valid and reliable method of evaluating peripheral nerves,1 offering excellent resolution and a flexible, dynamic field of view.

A Complement to Other Diagnostic Modalities

Neuromuscular ultrasound offers particular utility when skillfully combined with clinical examination findings and electrodiagnostic techniques. When paired with electromyography (EMG), the traditional gold standard for evaluating peripheral nerve disease, ultrasound meaningfully impacts the clinical approach in up to 43 percent of cases, typically by identifying potentially surgically amenable intraneural and adjacent pathology as well as variant anatomy.2 In patients with suspected traumatic nerve lesions, ultrasound modifies the treatment plan in 58 percent of cases, primarily by providing early evidence of nerve discontinuity.3 Ultrasound also can identify symptomatic peripheral nerve lesions not apparent by EMG.

Ultrasound and MRI are both increasingly used for visualizing peripheral nerves. A recent study comparing the two modalities suggested that ultrasound is more sensitive than MRI, has equivalent specificity and is better at identifying multifocal lesions.4 For these reasons, ultrasound is typically the initial imaging modality for peripheral nerve assessment, except when nerves lie very deep within the body or beneath bone.

At the Fore of Shaping Ultrasound Use

Neuromuscular ultrasound is used as part of the comprehensive evaluation offered by Cleveland Clinic’s Peripheral Nerve and Plexus Surgery Program, a specialized multidisciplinary clinic designed to diagnose and treat brachial and lumbosacral plexus disorders as well as focal neuropathies of the upper and lower extremities, including peripheral nerve tumors, trauma and entrapment.

Advertisement

This clinic is directed out of Cleveland Clinic’s Neuromuscular Center, which is actively involved in neuromuscular ultrasound guideline development through participation in the American Association of Neuromuscular and Electrodiagnostic Medicine (AANEM) Ultrasound Task Force.5

Neuromuscular Center staff have likewise trained numerous medical professionals in neuromuscular ultrasound technique through lectures and hands-on instruction at Cleveland Clinic’s main campus, at the Wake Forest Baptist Medical Center Program for Medical Ultrasound, and at annual meetings of the American Academy of Neurology, the American Society for Neuroimaging and the International Society of Peripheral Neurophysiological Imaging.

Here are some leading indications for which specialists in the Neuromuscular Center and elsewhere are applying neuromuscular ultrasound as its use continues to evolve.

Carpal Tunnel Syndrome

Carpal tunnel syndrome (CTS) is the most common peripheral nerve entrapment. Increased cross-sectional area of the median nerve at the level of the pisiform bone (a marker of the proximal carpal tunnel) is considered the most reliable and clinically useful parameter, and it is accurate for the diagnosis of CTS.5

In addition to diagnosing CTS, ultrasound can identify structural causes of CTS and important anatomic variations that impact the surgical approach. Persistent median artery (PMA) within the carpal tunnel (estimated incidence of 10 to 26 percent) also can be demonstrated. When not identified preoperatively, PMA can complicate an endoscopic carpal tunnel release ‒ or an open release if a tourniquet is used. Ultrasound imaging may thus guide CTS surgical planning and improve patient outcomes.

Advertisement

Ulnar Nerve Entrapment

There is increasing evidence that ultrasound can localize ulnar nerve entrapment at the elbow when EMG is equivocal and that it can identify relevant pathology and anatomic variants.6 At the same time, interest is growing in the use of ultrasound to guide surgical intervention for patients with ulnar nerve entrapment and to diagnose patients with deterioration after ulnar nerve transposition.7

Intraneural Ganglion Cysts

Patients with foot drop may be diagnosed with a common peroneal neuropathy at the fibular head based on EMG findings. Although either long-standing compression or acute trauma affecting the nerve may be the cause, an intraneural ganglion cyst is identified in up to 18 percent of these patients (see Case Profile 1, below).

When identified in a timely manner, intraneural ganglion cysts are surgically amenable, with good postoperative outcomes. The presence of pain at the knee or neuropathic pain in the peroneal nerve distribution, a mass lesion, and fluctuating symptoms increase the pretest probability of finding an intraneural ganglion cyst, particularly in patients with no history of weight loss, immobility or leg crossing.8

Peripheral Nerve Tumors

Peripheral nerve tumors also are readily identified by ultrasound. Tumor types include lesions derived from adjacent non-neural sheath tissues, such as desmoid tumor and nodular fasciitis (see Case Profile 2, below), as well as benign peripheral nerve sheath tumors (e.g., schwannomas, neurofibromas, perineurioma and granular cell tumor) and malignant peripheral nerve sheath tumors.

Advertisement

The primary role of ultrasound in nerve tumor management is localization for biopsy/surgical planning. It also has been suggested that serial evaluation of asymptomatic lesions ‒ monitoring for change in size or morphology ‒ may prove useful in patients with known neurocutaneous disorders, such as neurofibromatosis.

Nerve Trauma

Identification of complete nerve transection can guide the decision to pursue earlier surgical intervention in patients with nerve trauma. EMG cannot differentiate complete nerve transection until reinnervation begins beyond six weeks. Ultrasound is both sensitive and specific for early identification of transection, and is used in acute presurgical planning to localize the injury site and proximal/distal nerve stumps. For management of remote nerve trauma, ultrasound can identify stump neuromas and reveal excessive perineural scar tissue.

Patients who remain symptomatic after peripheral nerve exploration and surgical intervention present a special clinical challenge. Although delayed recovery is expected, early identification of graft discontinuity, nerve encasement by scar tissue or neuroma formation prompts surgical revision and potentially improves patient outcomes.

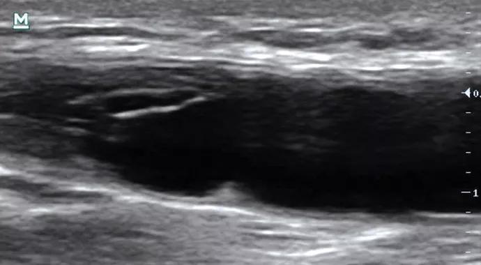
Shook-Profile1

Case Profile 1: Painful Foot Drop

A 49-year-old man presented with a painful right foot drop. He had no history of weight loss, immobility or leg crossing. EMG showed severe axon loss affecting the tibialis anterior and peroneal longus muscles. Ultrasound revealed an oblong tender, hypoechoic, power-Doppler-negative lesion within the peroneal nerve with significant posterior acoustic enhancement (longitudinal and transverse views below), consistent with an intraneural ganglion cyst. Surgical decompression of the peroneal nerve with external and internal neurolysis and removal of the intraneural ganglion cyst were performed (intraoperative image below), with resolution of pain and improvement of ankle and toe dorsiflexion to near full power.

Advertisement

Shook-Profile2

Case Profile 2: Progressive Radial Neuropathy

A 31-year-old woman presented with dorsal left hand and forearm numbness that progressed to wrist and finger drop over several months. Neurological exam revealed sensory loss in the distribution of the left radial nerve and weakness of left wrist/finger extension. EMG showed a left radial neuropathy. Ultrasound (longitudinal view above) revealed a hypoechoic, noncompressible, power-Doppler negative soft tissue mass (arrows) within the antecubital fossa completely surrounding and compressing the radial nerve. The epineurium was intact within the mass. The mass was resected surgically with decompression and internal/external neurolysis of the radial nerve (intraoperative image above). Pathology revealed nodular fasciitis, a benign mesenchymal tumor arising from fascia. The patient’s pain resolved, and weakness was significantly improved at her four-month follow-up appointment.

Dr. Shook is a staff neurologist in the Neuromuscular Center in Cleveland Clinic’s Neurological Institute.

REFERENCES

  1. Cartwright MS, Demar S, Griffin LP, et al. Validity and reliability of nerve and muscle ultrasound. Muscle Nerve. 2013;47:515-521.
  2. Padua L, Aprile I, Pazzaglia C, et al. Contribution of ultrasound in a neurophysiological lab in diagnosing nerve impairment: a one-year systematic assessment. Clin Neurophysiol. 2007;118:1410-1416.
  3. Padua L, Di Pasquale A, Liotta G, et al. Ultrasound as a useful tool in the diagnosis and management of traumatic nerve lesions. Clin Neurophysiol. 2013;124:1237-1243.
  4. Zaidman CM, Seelig MJ, Baker JC, et al. Detection of peripheral nerve pathology: comparison of ultrasound and MRI. Neurology. 2013;80:1634-1640.
  5. Cartwright MS, Hobson-Webb LD, Boon AJ, et al. Evidence-based guideline: neuromuscular ultrasound for the diagnosis of carpal tunnel syndrome. Muscle Nerve. 2012;46:287-293.
  6. Beekman R, Visser LH, Verhagen WI. Ultrasonography in ulnar neuropathy at the elbow: a critical review. Muscle Nerve. 2011;43:627-635.
  7. Ng ES, Wilder-Smith E, Lim A. High-resolution ultrasonography in the detection of postoperative recurrence of ulnar neuropathy. Muscle Nerve. 2011;43:451-452.
  8. Young NP, Sorenson EJ, Spinner RJ, Daube JR. Clinical and electrodiagnostic correlates of peroneal intraneural ganglia. Neurology. 2009;72:447-452.

Related Articles

16-NEU-2800-Kubu-101058161-650×450

What Do Patients Want from DBS for Parkinson’s Disease?

New study advances understanding of patient-defined goals

photo of a man sleeping at a desk, with a podcast icon overlay
March 15, 2024/Neurosciences/Podcast

Diagnosis and Management of Idiopathic Hypersomnia (Podcast)

Testing options and therapies are expanding for this poorly understood sleep disorder

illustration of an alzheimer brain and a packet of sildenafil pills
March 11, 2024/Neurosciences/Research

Sildenafil as an Alzheimer’s Candidate Drug: Further Support From Insurance Database and Mechanistic Studies

Real-world claims data and tissue culture studies set the stage for randomized clinical testing

brain scan showing perimesencephalic subarachnoid hemorrhage

Study Supports Less-Strict Monitoring for Nonaneurysmal Perimesencephalic SAH Without Hydrocephalus

Digital subtraction angiography remains central to assessment of ‘benign’ PMSAH

illustrated brain with the letters "AI" on a computer circuit board

As AI Tools Emerge, Be Proactive and Engaged to Shape Their Development

Cleveland Clinic neuromuscular specialist shares insights on AI in his field and beyond

histology image of a gray matter lesion in a multiple sclerosis brain

Study Suggests Protective Role for Microglia at Borders of Gray Matter Lesions in Progressive MS

Findings challenge dogma that microglia are exclusively destructive regardless of location in brain

series of digital-looking brain icons with a podcast button overlay on top
March 1, 2024/Neurosciences/Podcast

Harnessing the Power of AI in Medicine (Podcast)

Neurology is especially well positioned for opportunities to enhance clinical care and medical training

illustration of a neuron affected by multiple sclerosis

Clinical Trials in Progressive MS: An Assessment of Advances and Remaining Challenges

New review distills insights from studies over the past decade

Ad