Locations:
Search IconSearch
August 21, 2018/Neurosciences/Research

Neurologic Worsening Seen with Intensive BP Lowering After Intracerebral Hemorrhage

Targeting SBP to less than 140 mm Hg led to more acute cerebral ischemia and neurologic deterioration

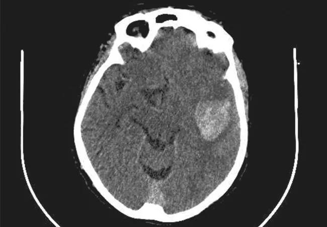
18-NEU-4868-ICH-650×450

Patients in a single tertiary care facility who were hospitalized for primary intracerebral hemorrhage (ICH) and managed with a systolic blood pressure (SBP) target of less than 140 mm Hg developed more acute cerebral ischemia on MRI and neurologic deterioration than patients whose SBP goal was less than 160 mm Hg.

Advertisement

Cleveland Clinic is a non-profit academic medical center. Advertising on our site helps support our mission. We do not endorse non-Cleveland Clinic products or services. Policy

So finds a retrospective study with a historical controls recently published online in Neurology.

“Although high blood pressure puts a patient at risk for hemorrhagic stroke, lowering blood pressure too much right afterwards makes matters worse,” says stroke neurologist Ken Uchino, MD, Director of Research and Education in Cleveland Clinic’s Cerebrovascular Center and a senior author of the study. “This study adds to the evidence that we should not be too aggressive with lowering blood pressure following an intracerebral hemorrhage.”

Study design

The study reviewed records of 286 consecutive patients with acute primary ICH admitted to Cleveland Clinic during 2013 and 2014. In 2013, the institutional protocol was an SBP target of less than 160 mm Hg; in 2014, the target was reduced to below 140 mm Hg.

According to Dr. Uchino, the change in targets was prompted by the INTERACT2 trial, published in the New England Journal of Medicine (2013;368:2355-2365), which found that early intensive blood pressure lowering (within six hours of ICH onset) resulted in better functional outcomes. Notably different from the clinical trial, the lower blood pressure target was applied to all patients with acute ICH, regardless of time since hemorrhage onset.

To qualify for the current study, a brain MRI with diffusion-weighted imaging had to have been performed within two weeks of a patient’s admission. Those with ICH due to trauma, vascular malformations or tumors were excluded, as were patients who had emergent surgical evacuation or digital subtraction angiography prior to MRI, or if death or withdrawal of life support occurred within the first 72 hours. The inclusion criteria were met by 119 patients.

Advertisement

Patients were treated acutely with IV nicardipine, then chronically with oral medications within 24 to 72 hours of admission, to achieve the SBP targets. Nursing orders specified that the provider was to be notified for mean arterial pressures less than 65 mm Hg; no floor was specified for SBP levels.

The primary outcomes were the presence of acute cerebral ischemia on MRI and acute neurologic deterioration during hospitalization, defined as at least a 4-point increase in the NIH Stroke Scale. Two separate analyses were conducted, comparing:

  • Patients with target SBP of less than 160 mm Hg (n = 62) versus those with target SBP of less than 140 mm Hg (n = 57)
  • Patients with (n = 28) versus without (n = 91) acute cerebral ischemia evident on MRI

Study results

Compared with patients with the higher target SBP, patients with the lower target (< 140 mm Hg) had:

  • A higher rate of cerebral ischemia (32 vs. 16 percent; P = .047)
  • A higher rate of neurological deterioration (19 vs. 5 percent; P = .022)
  • More days spent in the neurointensive care unit (median 3 days vs. 2 days; P = .014)
  • More days spent in the hospital (median 7 days vs. 6 days; P = .02)

Analyzing the data from the perspective of who did or didn’t develop cerebral ischemia, no significant differences in SBP were found at admission, but patients with acute cerebral ischemia had significantly lower mean SBP over the subsequent 24 hours and lower minimum SBP over 72 hours. Having an SBP below 120 mm Hg was a significant predictor of acute cerebral ischemia.

Advertisement

What explains the findings?

According to Dr. Uchino, there were good theoretical reasons for thinking that intensive blood pressure lowering should be helpful during an acute hemorrhagic stroke — that is, to stop the bleeding. But these findings, as well as those of the ATACH-2 study (N Engl J Med. 2016;375:1033-1043), call that reasoning into question.

“For most patients, bleeding into the brain has probably stopped within a few hours of the onset of the stroke,” Dr. Uchino speculates. “After that point, too little blood pressure will more likely lead to poorer outcomes from ischemia.”

In search of the right balance

Dr. Uchino says that, as a result of this study, Cleveland Clinic has instituted two changes for treating patients hospitalized with an ICH:

  • The SBP target has been raised back to less than 160 mm Hg.
  • If SBP falls below 120 mm Hg, medications are immediately given to raise it.

He adds that while this is a retrospective study from a single institution, such analyses can reveal important information and reviewing outcomes in this way is an important part of quality assurance in healthcare.

“Almost any medical therapy has potential harm as well as benefits,” he says. “Studies like this one bring us closer to finding the right balance.”

Advertisement

Related Articles

illustration of an alzheimer brain and a packet of sildenafil pills
March 11, 2024/Neurosciences/Research
Sildenafil as an Alzheimer’s Candidate Drug: Further Support From Insurance Database and Mechanistic Studies

Real-world claims data and tissue culture studies set the stage for randomized clinical testing

22-NEU-2959102-CQD-Hero-650&#215;450
June 15, 2022/Neurosciences/Research
MINDS Study Will Assess Lifestyle Interventions for Slowing Brain Pathology in Preclinical Stages

New grant-funded investigation illustrates impact and reach of Cleveland Clinic Brain Study

22-NEU-2671014-CQD-650&#215;450-Type
March 9, 2022/Neurosciences/Research
A Closer Look at the Cleveland Clinic Brain Study

How the new longitudinal investigation could become the Framingham Heart Study of brain health

20-NEU-1959738 powered-exoskeleton-for-gait-training_650x450
October 23, 2020/Neurosciences/Research
Study Signals Potential of Powered Exoskeleton for Gait Training in Multiple Sclerosis

Pilot findings show good patient acceptance and safety, early hints of efficacy

20-NEU-1990660-sleep-symptoms-in-health-workers-650&#215;450
October 21, 2020/Neurosciences/Research
Electronic Screening for Sleep Disorders Among Healthcare Workers Is Feasible – and Sorely Needed

Study finds high prevalence of symptoms, willingness to seek treatment

20-NEU-1946228 neurofilaments_650x450
September 9, 2020/Neurosciences/Research
Serum Neurofilament Light as a Progressive MS Biomarker: Guideposts for the Road Ahead

Panel outlines research priorities around a promising alternative to imaging markers

20-NEU-1951118_Impella-temporary-LVAD_650x450_ (1)
September 4, 2020/Neurosciences/Research
Study Finds Clues to Acute Neurologic Events With Short-Term Impella Cardiac Support

Suspected factors include antithrombotic intensity, time on device, presence of thrombocytopenia

20-NEU-1929179 deep-brain-stimulation-for-TBI_650x450
September 3, 2020/Neurosciences/Research
Could DBS of the Cerebellar Dentate Nucleus Enhance Post-TBI Rehabilitation?

Preclinical studies will assess whether method developed for stroke recovery curbs deficits after brain injury

Ad