Locations:
Search IconSearch
December 19, 2014/Urology & Nephrology/Urology

Neoadjuvant Therapy Has Potential to Downsize Renal Tumors Prior to Complex Robotic Nephron-sparing Surgery

Single kidney, multiple renal masses may be indications

Stein-690×380

By Robert J. Stein, MD

Advertisement

Cleveland Clinic is a non-profit academic medical center. Advertising on our site helps support our mission. We do not endorse non-Cleveland Clinic products or services. Policy

Case presentation

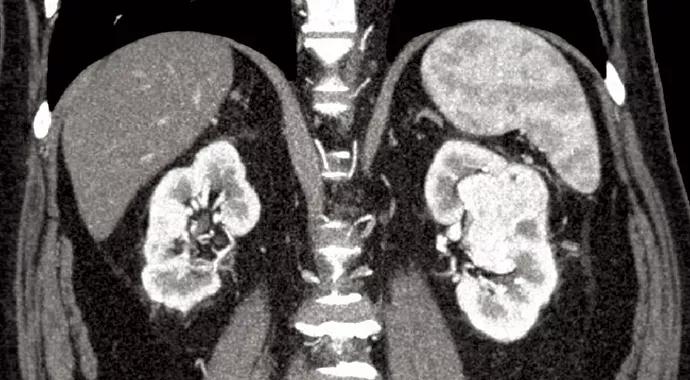
A 75-year-old man presented with a 5.4 cm left renal mass with a RENAL score of 11x (Figure 1). He previously underwent cystectomy and ileal conduit creation in 2007 for bladder cancer, and was two years disease-free from bilateral lung cancer that had been treated with chemotherapy. Radionuclide imaging demonstrated that the left kidney was dominant with 60 percent differential function, and the estimated glomerular filtration rate was 58 mL/min/1.73m2. No evidence of metastatic disease was otherwise identified on radiographic evaluation.

Due to the size and complexity of the renal mass, nephron-sparing surgery was believed to be extremely difficult. Downsizing of the mass to render partial nephrectomy more feasible was considered during preoperative evaluation and planning. Use of a tyrosine-kinase inhibitor such as sunitinib for downsizing the tumor would only be successful if the histology of the tumor was consistent with clear cell renal cell carcinoma. Therefore, a renal mass biopsy was scheduled.

Sunitinib to attempt downsizing

Pathology on the biopsy specimen indeed demonstrated clear cell renal cell carcinoma, and the patient underwent treatment with two cycles of sunitinib to attempt neoadjuvant downsizing. Re-evaluation of the renal mass with CT following treatment revealed a decrease in size of the mass from 5.4 cm to 3.9 cm (Figure 2). Despite the categorization as a complex renal mass, it was believed that nephron-sparing surgery would be more feasible if this tumor were significantly smaller.

Partial nephrectomy

Partial nephrectomy was scheduled and performed within a month of completing neoadjuvant treatment, and was carried out using our standard three-arm robotic approach. Total operative time was 180 minutes, and warm ischemia time was 28 minutes. The patient was discharged on postoperative day four but was readmitted two weeks after surgery and found to have urine extravasation from the left kidney. A perinephric drain was placed by Interventional Radiology, and the fistula eventually resolved spontaneously.

Advertisement

Final pathology was consistent with Fuhrman grade 3 clear cell renal cell cancer involving a branch renal vein with negative surgical margins. Radionuclide scan at two months following surgery demonstrated 42 percent ipsilateral differential renal function, and the estimated glomerular filtration rate was 41 mL/min/1.73m2.

Lessons

This case demonstrates the potential utility of neoadjuvant downsizing of renal masses with tyrosine-kinase inhibitors prior to nephron-sparing surgery. Cases in which this treatment paradigm should be considered are uncommon and usually involve complex tumors in the setting of a solitary kidney or poorly functioning contralateral kidney, or in patients with multiple renal masses. It should be noted that this approach should only be offered for biopsy-proven clear cell renal cell carcinoma, and that a decrease in size of the renal mass is not guaranteed. Experience with neoadjuvant downsizing of renal masses is increasing, and Cleveland Clinic is nearing accrual of a prospective trial using pazopanib for neoadjuvant treatment.

Dr. Stein (steinr@ccf.org) is a Physician in the Department of Urology at Cleveland Clinic’s Glickman Urological & Kidney Institute

Stein-fig1

Figure 1. 5.4 cm complex renal mass (RENAL score 11x) in the dominant left kidney.

Stein-fig2

Figure 2. After neoadjuvant treatment with sunitinib, the renal mass decreased in size to 3.9 cm.

Advertisement

Related Articles

Man sitting at kitchen table with blood pressure monitor and pill bottles

Should Patients Take Blood Pressure Medications in the Evening to Enhance Cardiovascular Benefit?

Clinicians should individualize dosing practices based on patient risk factors and preferences

Drawing of surgeon's fingers pressing into a patient's body

Low Anterior Access Enhances Outcomes in Single-Port Robotic Urologic Surgeries

Pioneering and refining the approach in pyeloplasty, nephrectomy and more

Drawing of a pink bulb with two tubes coming out of the top

Predicting Post-Op GFR: AI Algorithm Is as Accurate as Clinical Model

Fully-automated process uses preop CT, baseline GFR to estimate post-nephrectomy renal function

Arm of Black patient having kidney dialysis

GFR Equations: How Will Eliminating the Race Coefficient Affect Black Patients?

Could mean earlier treatment, but also could have negative effects

Man examining prescription bottle in kitchen
February 27, 2024/Urology & Nephrology/Urology

Oral Medication Offers New Option for Testosterone Replacement

Unlike earlier pills, new drugs do not cause liver toxicity

URL_Pavelko_3777858_Urology_Dr. Lundy in Clinic_04-26-23_LDJ
January 30, 2024/Urology & Nephrology/Urology

Starting the Conversation About Male Infertility

Male factors play a role in about half of all infertility cases, yet men often are not evaluated

URL_Mould_4456309_Dr. Jihad Kaouk during Procedure_12-12-23

Using One Single-Port Robot for Both Kidney Transplant Donor and Recipient

Surgeons choreograph nearly simultaneous procedures, sharing one robot between two patients

Senior at the Doctors

Study Assesses the Utility of Renal Genetic Testing in Black Patients

Identifying barriers in the renal genetic assessment of Black patients

Ad