Locations:
Search IconSearch

Multidisciplinary Team Facilitates Timely Approach to Central Nervous System Vasculitis

Best way to ensure right diagnosis in challenging disease

Hajj-Ali_Calabrese-Hero-Image-690x380pxl

By Rula Hajj-Ali, MD, and Leonard Calabrese, DO

Advertisement

Cleveland Clinic is a non-profit academic medical center. Advertising on our site helps support our mission. We do not endorse non-Cleveland Clinic products or services. Policy

Cleveland Clinic has been a leader in care and research in the field of central nervous system (CNS) vasculitis for more than 25 years, developing criteria for its diagnosis that are employed widely today. We recently established a multidisciplinary care team that is highly qualified to evaluate and treat patients with suspected CNS vasculitis. Taking a multidisciplinary approach is enormously important in evaluating these patients to ensure the right diagnosis in this tremendously challenging disease.

Vasculitis affecting the CNS remains one of the most complex forms of vascular inflammatory disease. Multiple factors contribute to our relative lack of understanding of CNS vasculitis, including its rarity, the lack of an efficient noninvasive test, a paucity of pathological material to study and the absence of animal models simulating the disease.

Vasculitis affecting the CNS can be classified into primary and secondary forms:

  • Primary angiitis of the CNS (PACNS) is vasculitis confined to the CNS, including the brain and spinal cord and their coverings.
  • Secondary vasculitis of the CNS implies vascular inflammation of the CNS as part of a larger process such as infection, connective tissue disease or other systemic disorders.

A Condition Rife with Diagnostic Challenges

Although several tools are available to assist in the diagnosis of CNS vasculitis, many challenges remain in critically assessing their diagnostic sensitivity and specificity. Diagnostic studies include routine laboratory testing, cerebrospinal fluid assessment, neuroimaging studies, cerebral angiography and biopsy of CNS tissues. Screening laboratory studies performed on blood have little positive predictive value. Also, the specificity of these tests is too low to secure a diagnosis. Various tests for chemistries and autoantibodies as well as cultures and other investigations are useful for ruling out infectious, systemic inflammatory diseases and other hereditary syndromes. Timely diagnosis is extremely important to ensure accurate treatment before irreversible brain damage occurs. Few clinicians are highly experienced with this disease. The care and diagnosis of patients with CNS vasculitis require a team of experts who are familiar not only with this disease but also with its mimics to ensure an accurate diagnosis and workup.

Advertisement

A Team Structure to Streamline Care

At Cleveland Clinic’s R.J. Fasenmyer Center for Clinical Immunology, our multidisciplinary team includes neurologists with interest in cerebrovascular and neuroimmunologic diseases, neuroradiologists and interventional radiologists, neurosurgeons, infectious disease specialists and rheumatologists. This team provides personalized, complete care that is coordinated with the right providers, eliminating needlessly long delays between appointments. This allows patients to meet the medical team with expertise in CNS vasculitis to optimize and improve their outcomes.

Exploring Pathogenesis and More

This multidisciplinary approach empowers us to focus not only on patient care but also on striving to clarify the mechanisms and pathogenesis of CNS vasculitis. We are building a repository of clinical data, radiologic findings and biological samples from patients with CNS vasculitis and its mimics. Our goals include investigation of long-term outcomes, discovery of biomarkers and exploration of radiologic studies that may distinguish CNS vasculitis and other mimics. By investigating biomarkers to aid in the diagnosis of CNS vasculitis and develop therapeutic targets against it, we hope to better distinguish it from other cerebral arteriopathies. This, in turn, may lead to reduced costs and morbidity, more effective diagnosis and, ultimately, identification of appropriate therapies.

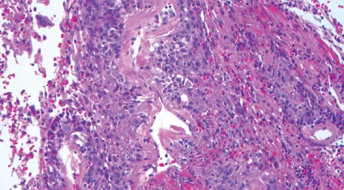
Figure. Histopathologic findings in a patient with granulomatous angiitis of the CNS secondary to amyloidosis

To refer a patient for comprehensive CNS vasculitis assessment or care, contact Dr. Hajj-Ali at hajjalr@ccf.org or 216.444.9643.  

Advertisement

Dr. Hajj-Ali is a staff physician in the Center for Vasculitis Care and Research, Department of Rheumatic and Immunologic Diseases (contact info above).

Dr. Calabrese is Director of the R.J. Fasenmyer Center for Clinical Immunology in the Department of Rheumatic and Immunologic Diseases. He can be reached at calabrl@ccf.org or 216.444.5258.

Advertisement

Related Articles

patient consult
Key Elements for Optimizing Care in People with Vasculitis

Evidence-based therapies, monitoring, prevention and more

RCVL-S
Case: When Central Nervous System Vasculitis Is Suspected

Holistic approach is necessary to ensure a correct diagnosis

21-RHE-2528446-Monitoring-patients-ANCA-associated-vasculitis-CQD_650x450
Keys for Recognizing Drug-Induced Vasculitis

Knowing the affected organs and vessels can help in identifying cause

pulmonary artery stenosis
Takayasu Arteritis Case Study: Pulmonary Embolism or Something Else?

When to consider the possibility of pulmonary artery involvement

21-RHE-2528447-case-extracranial-Giant-cell-arteritis-CQD_650x450
A Challenging Case of Giant Cell Arteritis

When GCA initially presents without cranial symptoms

21-RHE-2528446-Monitoring-patients-ANCA-associated-vasculitis-CQD_650x450
Case Report: Long-Term Monitoring a Must for ANCA-Associated Vasculitis

Relapses are frequent even with long periods of remission

A series of brain MRI images used to help diagnose CNS vasculitis
Neurologic Involvement in ANCA-Associated Vasculitis

Raising awareness of a common manifestation

Ad