Locations:
Search IconSearch

Managing Primary Immunodeficiencies: A Case Study in Complexity

Patients need to be monitored for many potential problems

Fernandez_Calabrese-Hero-Image-690x380pxl

By James Fernandez, MD, PhD, and Leonard Calabrese, DO

Advertisement

Cleveland Clinic is a non-profit academic medical center. Advertising on our site helps support our mission. We do not endorse non-Cleveland Clinic products or services. Policy

A 38-year-old woman presented to Cleveland Clinic’s Rheumatology Clinic with new-onset severe headache, left-sided numbness and weakness, nausea, vomiting and an expressive dysphasia. Her long-term history included recurrent sinopulmonary infections and a subsequent diagnosis of common variable immunodeficiency (CVID) based on hypogammaglobulinemia and a lack of specific vaccine responses. She was put on intravenous immunoglobulin replacement therapy at 400 mg/kg in 2004 and switched to subcutaneous immunoglobulin replacement (for greater convenience) in 2008. With regard to her CVID, a chest CT showed granulomatous disease of the lungs (Figure 1), but transbronchial biopsy was nonspecific and there were no signs of infection or other concerning signs. One month before presentation, the patient noted two episodes of visual loss lasting approximately 45 minutes each. On both occasions, neuroimaging studies at a local hospital were negative. She described her recent headaches as sharp, constant, bitemporal and retro-orbital, eventually developing into the “worst headache of my life,” with associated difficulty speaking, left-sided weakness, nausea and vomiting. Imaging at this time (Figure 2) revealed a right frontoparietal lobe hemorrhage. Cerebral angiography was normal, and laboratory results including CBC, ESR, CRP and BMP, were unremarkable.

Figure 1. Chest CTs at presentation show ground-glass opacification and interstitial thickening in both lungs. Atelectasis or scarring is present in the right middle lobe.

Figure 1. Chest CTs at presentation show ground-glass opacification and interstitial thickening in both lungs. Atelectasis or scarring is present in the right middle lobe.

Advertisement

Figure 2. Brain CT at presentation shows a hyperintensity in the subcortical white matter underlying the right supramarginal gyrus with separate patchy hyperintensity in the overlying right frontoparietal lobe. Abnormal hyperintensity is present along the cortex of the right parietal operculum and supramarginal gyrus. No significant mass effect is present.

Figure 2. Brain CT at presentation shows a hyperintensity in the subcortical white matter underlying the right supramarginal gyrus with separate patchy hyperintensity in the overlying right frontoparietal lobe. Abnormal hyperintensity is present along the cortex of the right parietal operculum and supramarginal gyrus. No significant mass effect is present.

Evaluation and Initial Management

Examination revealed an expressive dysphasia, decreased sensation to pinprick on the left side and mild splenomegaly. The patient was started on 40 mg/day of prednisone and experienced improvement in symptoms. She fared well with physical and speech therapy until two months later, when she developed right-sided numbness, hemianopsia and worsening dysphasia. Repeat imaging of the head showed a large hemorrhage at the left temporo-occipital junction (Figure 3). Biopsy of the temporal lobe showed a perivascular noncaseating granuloma consistent with granulomatous angiitis of the central nervous system (Figure 4). The patient was started on prednisone and rituximab, with B-cell depletion subsequently documented. After two doses of rituximab, she experienced worsening dysphasia and right-sided weakness, and brain MRI showed progression of her vasculitis. The rituximab was stopped and infliximab was added to her regimen.

Figure 3. Brain CT two months after presentation shows a large hemorrhage at the left temporooccipital junction with surrounding edema. There is a moderate mass effect on the left lateral ventricle. A small subdural hematoma may be present along the left lateral frontotemporal region.

Figure 3. Brain CT two months after presentation shows a large hemorrhage at the left temporooccipital junction with surrounding edema. There is a moderate mass effect on the left lateral ventricle. A small subdural hematoma may be present along the left lateral frontotemporal region.

Advertisement

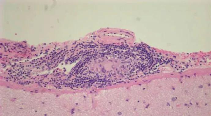
Figure 4. Temporal lobe biopsy findings two months after presentation show a noncaseating granuloma characterized by lymphocytes, epithelioid histiocytes and a multinucleated giant cell in the leptomeninges adjacent to a small artery. Multiple veins in the meninges show perivascular and intramural lymphocytes. These histologic findings are compatible with a primary vasculitis of the central nervous system.

Figure 4. Temporal lobe biopsy findings two months after presentation show a noncaseating granuloma characterized by lymphocytes, epithelioid histiocytes and a multinucleated giant cell in the leptomeninges adjacent to a small artery. Multiple veins in the meninges show perivascular and intramural lymphocytes. These histologic findings are compatible with a primary vasculitis of the central nervous system.

Follow-Up

The patient responded well to prednisone and infliximab, as subsequent neuroimaging showed no further progression. Her weakness and dysphasia slowly improved over months. She is currently receiving prednisone 5 mg daily, infliximab 5 mg/kg every eight weeks and weekly subcutaneous liquid immunoglobulin therapy (Hizentra®). She remains free of severe infections, and her neurological deficits are slowly improving.

Comment

This case demonstrates the complexity characteristic of primary immunodeficiencies. Patients with CVID are at risk for multiple complications, including autoimmune disease, which develops in 20 to 25 percent of cases.1 These patients require continued monitoring for not only infections but also granulomatous disease of the lungs, autoimmune disorders, lymphoma, malabsorption and other complications. For these reasons, a team approach is vital to the overall care of our primary immunodeficiency patients. The Adult Immunodeficiency Clinic within Cleveland Clinic’s R.J. Fasenmyer Center for Clinical Immunology works closely with pulmonologists, hematologists, oncologists and gastroenterologists to provide the best care for patients with primary immunodeficiencies. Colleagues frequently make decisions about care as a team, and constant communication among physicians and with the patient is a necessity. Patients are better served and appreciate a collaborative effort by multiple providers with specific expertise in managing their primary immunodeficiency and the complications related to it. With a growing number of adult immunodeficiencies being identified,2 our Adult Immunodeficiency Clinic is fully committed to advancing the care of patients and initiating research projects in this growing and exciting field.

Advertisement

References

1. Cunningham-Rundles C. Autoimmune manifestations in common variable immunodeficiency. J Clin Immunol. 2008;28(suppl 1):S42-S45.

2. Notararangelo LD, Fischer A, Geha RS, et al, for International Union of Immunological Societies Expert Committee on Primary Immunodeficiencies. Primary immunodeficiencies: 2009 update. J Allergy Clin Immunol. 2009;124:1161-1178.

Dr. Fernandez is an associate staff physician in the Department of Pulmonary, Allergy and Critical Care Medicine in Cleveland Clinic’s Respiratory Institute. He can be reached at 216.444.6933 or fernanj2@ccf.org. 

Dr. Calabrese is Director of the R.J. Fasenmyer Center for Clinical Immunology in the Department of Rheumatic and Immunologic Diseases. He can be reached at 216.444.5258 or calabrl@ccf.org.

Advertisement

Related Articles

Medical illustration of hand with discolored fingers

Coexistence of Erythromelalgia and Raynaud’s Phenomenon

Treatment strategies require understanding of pathomechanisms

Squamous cell skin cancer

Skin Cancer Risk in Immunosuppressed Patients

Education, prevention strategies and monitoring serves this at-risk group

esophageal plaques

Esophageal Plaques and Systemic Sclerosis

Treatment for scleroderma can sometimes cause esophageal symptoms

Lupus clinic

Coordinated Care, Education and Research

Lupus Clinic providers collaborate to advance treatment and understanding

Psoriatic arthritis

Psoriatic Arthritis: Unlocking the Age Factor

Older Psoriasis Patients May Experience Quicker Transition

Mixed connective tissue disease rash

A Little Bit of Everything: Mixed Connective Tissue Disease

Cleveland Clinic’s Rheumatic Lung Disease program treats patients with complex conditions

Skin lesions

Case Study: Joint Pain, Angioedema, Confusing Rash

Symptoms complement one another

Virtual coaching

Boosting Mental Health Access for Patients with Psoriatic Disease

E-coaching program is tailored for those with the disease

Ad