Locations:
Search IconSearch

Making the Most of Brain Imaging Through Quantitative Volumetric Analysis

Applications in MS, neurodegenerative disease and epilepsy

18-NEU-509-Nakamura-Volumetric-MRI-650×450

By Kunio Nakamura, PhD; James B. Leverenz, MD; and Z. Irene Wang, PhD

Advertisement

Cleveland Clinic is a non-profit academic medical center. Advertising on our site helps support our mission. We do not endorse non-Cleveland Clinic products or services. Policy

Important MRI characteristics of neurological diseases can be obtained from volumetric analysis of brain MRI. Current technologies allow for volumetric analysis to achieve realistic rendering of the cortical surface in an accurate and prompt manner. Cleveland Clinic’s Neurological Institute has been applying this technology across multiple subspecialties. A few examples are profiled below.

Multiple sclerosis

One of Cleveland Clinic’s long-standing research interests in multiple sclerosis (MS) is volumetric brain analysis. Since our first report in 1999 on brain atrophy in MS using brain parenchymal fraction,1 Cleveland Clinic’s Lerner Research Institute and Mellen Center for Multiple Sclerosis have continued to perform quantitative measurement of whole-brain atrophy in both clinical trials and research studies. The method has been applied in more than 20 separate clinical and research studies to date on over 40,000 MRIs collected here and from other centers.

We have also developed methods for measuring cortical thinning, i.e., the cortical longitudinal atrophy detection algorithm (CLADA),2 and for measuring gray matter atrophy using pairwise Jacobian integration.3 These methods are particularly suited for longitudinal studies in that they are designed to detect subtle differences in brain MRIs and quantify the structural change.

More recently, we have studied thalamic atrophy, which occurs early in the course of MS. To this end, we have created a large normative trajectory of thalamic volumes from over 1,500 neurologically normal subjects using publicly available databases to more accurately detect abnormal thalamic volumes4 (Figure 1).

Advertisement

Figure 1. Trajectory of normalized thalamic volumes of 1,552 healthy controls from various publicly available databases and thalamic volumes of patients with MS. Large normative datasets allow more accurate detection of abnormal thalamic volumes. NC = normal controls; RRMS = relapsing-remitting multiple sclerosis; SPMS = secondary progressive multiple sclerosis.

Brain health and neurodegenerative diseases

Cleveland Clinic Lou Ruvo Center for Brain Health is a three-site program that accommodates more than 14,000 patient visits annually at locations in Cleveland, Ohio; Las Vegas, Nevada; and Weston, Florida. In addition to standard MRI imaging, all scans performed by our center can have automated post-imaging volumetric measurements to accurately assess for atrophy and other characteristics, such as severity of white matter changes. We also employ amyloid imaging, FDG-PET and both qualitative and quantitative dopamine transporter imaging (DaTscan™ and DaTQUANT™) (Figure 2).

Figure 2. Ioflupane (DaTscan) images of a patient with parkinsonian symptoms, including tremor. The decreased ioflupane tracer uptake on the left side of the scans indicates depletion of dopamine transporters in the striatum, consistent with a neurodegenerative process. Image courtesy of Mykol Larvie, MD, Cleveland Clinic.

We frequently supplement findings from these advanced imaging modalities with cerebrospinal fluid analysis to confirm atypical Alzheimer’s disease (e.g., early onset, atypical clinical syndrome) and to diagnose rare neurological disorders such as paraneoplastic and prion disease. Imaging findings are frequently integrated in many of the 25-plus active clinical trials in the Lou Ruvo Center for Brain Health research program. Distinctive offerings include clinical trials in pre-symptomatic at-risk patients, repurposing of medications, and treatments for non-Alzheimer’s dementias such as Lewy body disease.

Advertisement

Epilepsy

At Cleveland Clinic’s Epilepsy Center, one recent success with MRI volumetric analysis has been achieved in the diagnosis prediction of patients with epilepsy and Rasmussen’s encephalitis (RE).5 Over the past decade, MRI has become an increasingly important tool in the diagnosis of RE, as well as in assessing disease progression and therapeutic effectiveness. We set out to examine how volumetric measures can help predict RE — i.e., whether the extent of atrophy on MRI can be quantified to predict the probability that a patient with suspected RE truly has RE.

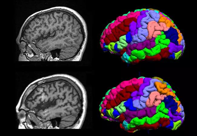
In our study, we included 42 MRI scans from a group of pediatric patients with RE, and performed automated MRI volumetric measurements (one example is shown in Figure 3). Ratios of volumes from the affected hemisphere divided by those from the unaffected hemisphere (such as interhemispheric ratio) were used as input to a logistic regression classifier that was trained to separate patients from controls.

Figure 3. Serial MRIs from a patient with Rasmussen’s encephalitis (RE) — taken at age 10 (top row) and age 17 (bottom row) — and the corresponding volumetric analysis results from BrainSuite software (brainsuite.org). The MRI scans in the left column are T1w images that were used as input to the analysis. Automatic segmentation results are shown on the right; different colors denote different brain anatomical regions. Pronounced atrophy can be observed at the perisylvian region. The interhemispheric ratio showed a marked decrease from 0.79 to 0.70 over the course of seven years of disease. Republished with permission of the American Society of Neuroradiology from Wang et al.,5 AJNR Am J Neuroradiol. 2016;37:2348-2355, ©2016; permission conveyed through Copyright Clearance Center Inc.

Advertisement

Our study showed that automated quantitative volumetric analysis provides accurate separation of RE patients from normal controls and non-RE epilepsy patients (Figure 4) and thus may assist in the diagnosis of RE.

Figure 4. Performance of the classifier constructed using the interhemispheric ratio. Patients with Rasmussen’s encephalitis (RE) are denoted with dots, and non-RE epilepsy controls are denoted with crosses. True positives (TP) are patients correctly identified as patients by the classifier. True negatives (TN) are controls correctly identified as controls. False positives (FP) are controls incorrectly identified as patients. False negatives (FN) are patients incorrectly identified as controls. The vast majority of cases were correctly classified (TP and TN). Republished with permission of the American Society of Neuroradiology from Wang et al.,5 AJNR Am J Neuroradiol. 2016;37:2348-2355, ©2016; permission conveyed through Copyright Clearance Center Inc.

Used in relevant clinical settings, such as initial and follow-up investigations in epilepsy patients with suspected RE, the probability curve that was estimated (see our study5) can potentially provide an objective measure to solidify the confidence of an RE diagnosis. Additionally, with the methodology established in this paper, such patients can be studied prospectively by comparing volumetric findings with surgical pathology/biopsy.

References

  1. Rudick R, Fisher E, Lee J-C, Simon J, Jacobs L. Use of the brain parenchymal fraction to measure whole brain atrophy in relapsing-remitting MS. Neurology. 1999;53:1698-1704.
  2. Nakamura K, Fox R, Fisher E. CLADA: cortical longitudinal atrophy detection algorithm. Neuroimage. 2011;54:278-289.
  3. Nakamura K, Guizard N, Fonov VS, Narayanan S, Collins DL, Arnold DL. Jacobian integration method increases the statistical power to measure gray matter atrophy in multiple sclerosis. Neuroimage Clin. 2014;4:10-17.
  4. Mahajan K, Nakamura K, Vignos M, et al. Thalamic MRI and histopathologic correlations in advanced multiple sclerosis. Neurology. 2017;88(16 Suppl):S2.004.
  5. Wang ZI, Krishnan B, Shattuck DW, et al. Automated MRI volumetric analysis in patients with Rasmussen syndrome. AJNR Am J Neuroradiol. 2016;37:2348-2355.

Advertisement

Dr. Nakamura (nakamuk@ccf.org) is a project scientist in the Department of Biomedical Engineering, Cleveland Clinic Lerner Research Institute.

Dr. Leverenz (leverej@ccf.org) is Director of Cleveland Clinic Lou Ruvo Center for Brain Health, Cleveland.

Dr. Wang (wangi2@ccf.org) is a staff scientist in Cleveland Clinic’s Epilepsy Center and joint staff in the Department of Biomedical Engineering.

Related Articles

16-NEU-2800-Kubu-101058161-650×450

What Do Patients Want from DBS for Parkinson’s Disease?

New study advances understanding of patient-defined goals

photo of a man sleeping at a desk, with a podcast icon overlay
March 15, 2024/Neurosciences/Podcast

Diagnosis and Management of Idiopathic Hypersomnia (Podcast)

Testing options and therapies are expanding for this poorly understood sleep disorder

illustration of an alzheimer brain and a packet of sildenafil pills
March 11, 2024/Neurosciences/Research

Sildenafil as an Alzheimer’s Candidate Drug: Further Support From Insurance Database and Mechanistic Studies

Real-world claims data and tissue culture studies set the stage for randomized clinical testing

brain scan showing perimesencephalic subarachnoid hemorrhage

Study Supports Less-Strict Monitoring for Nonaneurysmal Perimesencephalic SAH Without Hydrocephalus

Digital subtraction angiography remains central to assessment of ‘benign’ PMSAH

illustrated brain with the letters "AI" on a computer circuit board

As AI Tools Emerge, Be Proactive and Engaged to Shape Their Development

Cleveland Clinic neuromuscular specialist shares insights on AI in his field and beyond

histology image of a gray matter lesion in a multiple sclerosis brain

Study Suggests Protective Role for Microglia at Borders of Gray Matter Lesions in Progressive MS

Findings challenge dogma that microglia are exclusively destructive regardless of location in brain

series of digital-looking brain icons with a podcast button overlay on top
March 1, 2024/Neurosciences/Podcast

Harnessing the Power of AI in Medicine (Podcast)

Neurology is especially well positioned for opportunities to enhance clinical care and medical training

illustration of a neuron affected by multiple sclerosis

Clinical Trials in Progressive MS: An Assessment of Advances and Remaining Challenges

New review distills insights from studies over the past decade

Ad