Locations:
Search IconSearch
April 5, 2016/Orthopaedics/Hip & Knee

Maintaining Normal Medial Meniscus Function After ACL Reconstruction

Improvement needed in meniscus repair techniques

16-ORT-632-Andrish-Hero-Image-Set

By Morgan Jones, MD, MPH, Richard Parker, MD, Kurt Spindler, MD, and Jack Andrish, MD

Advertisement

Cleveland Clinic is a non-profit academic medical center. Advertising on our site helps support our mission. We do not endorse non-Cleveland Clinic products or services. Policy

A Multicenter Orthopaedic Outcomes Network (MOON) study led by Cleveland Clinic researcher/orthopaedic surgeon Morgan H. Jones, MD, MPH, found that partial meniscectomy, meniscus repair and older age were all predictors of increased joint space narrowing in the medial compartment.

This finding may explain why both partial meniscectomy and meniscus repair are associated with worse patient-reported outcomes in recent cohort and registry studies of anterior cruciate ligament (ACL) reconstruction.

Risk factors for posttraumatic osteoarthritis

The results were obtained through radiographs in young, active patients two to three years after ACL reconstruction. While ACL reconstruction can reliably restore knee stability and place athletes back on the playing field, the development of posttraumatic osteoarthritis is a concern of patients and their caregivers.

Recent data from cohort studies, including those published by MOON, as well as data from registries such as the Swedish National Anterior Cruciate Ligament Register, demonstrate worse patient-reported outcome scores and treatment failures in patients with partial meniscectomy or meniscus repair. These results challenge the conventional wisdom and numerous small observational studies that suggest medial meniscus repair at the time of ACL reconstruction restores normal meniscus function and prevents the onset of osteoarthritis.

Assessing joint changes

We assembled a unique cohort to assess the early onset of posttraumatic osteoarthritis after ACL reconstruction. The group consists of patients from the MOON cohort who were 35 or younger at the time of ACL reconstruction, sustained injuries during sporting activities, and had no prior surgery to either knee and no reinjury during the follow-up period. This group of patients allowed us to assess changes in the joint related to the ACL injury and the surgery rather than pre-existing injury or degenerative change. We also chose patients with a normal contralateral knee to compare radiographs between injured and uninjured legs.

Advertisement

We obtained posteroanterior radiographs of the knee using the metatarsophalangeal (MTP) joint positioning technique, in which the knees are slightly bent and the MTP joint is even with the front of the X-ray cassette. We employed the semi-automated electronic measurement technique developed by Jeffrey Duryea, PhD, at Brigham and Women’s Hospital in Boston. This method traces the outline of the femoral condyle and the tibial plateau and measures the minimum joint space width in the medial compartment of the knee, as well as the joint space width at fixed points along the joint surfaces. This produces measurements that are accurate to 0.3 mm.

Unexpected findings

16-ORT-632-Andrish-Inset-Illustration-02

Method of obtaining posteroanterior radiographs of the knee using the MTP joint positioning technique. Knees are slightly bent and the MTP joint is even with the front of the X-ray cassette. This method produces measurements that are accurate to 0.3 mm

Our results showed that medial compartment joint space width was slightly greater overall in the ACL-reconstructed knees compared with the contralateral normal knees, which probably represents cartilage swelling that occurs as the earliest manifestation of osteoarthritis. In addition, we showed that patients with meniscectomy showed about 0.6 mm of narrowing in the medial compartment, while patients with meniscus repair showed about 0.3 mm of narrowing in the medial compartment. This joint space narrowing is evidence of more advanced osteoarthritis and is not reversible.

And although all of our patients were young (< 35 years old at the time of surgery), the older patients in the cohort showed more joint space narrowing than the younger patients. We also controlled for articular cartilage status, BMI and sex in the model, but none of those factors were significant predictors of joint space differences.

Advertisement

A case for improving repair techniques

In conclusion, plain radiographs measured with a semi-automated system can detect joint space differences in the knee as early as two years after ACL reconstructions in young, active individuals. Even in this young cohort, older patients had more joint space narrowing — and both meniscectomy and meniscus repair are associated with increased joint space narrowing.

These findings demonstrate the importance of maintaining normal medial meniscus function after ACL reconstruction, both by moving patients to surgery before reinjury episodes cause progressive damage to the meniscus and by continuing to improve meniscus repair techniques.

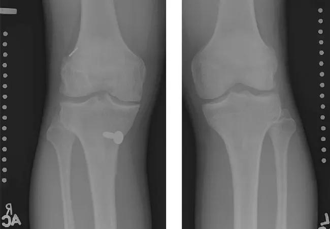
Images from a 13-year-old female patient who had a normal medial meniscus and a medial compartment mJSW 1.97 mm wider on the ACL-reconstructed side compared with the contralateral control side.

Dr. Jones is a staff physician with Cleveland Clinic’s Center for Sports Health specializing in sports injuries of the knee, shoulder, foot and ankle. Dr. Parker is an orthopaedic surgeon and President of Marymount Hospital. Dr. Spindler is Vice Chairman of Research at Cleveland Clinic’s Orthopaedic & Rheumatologic Institute and principal investigator of the MOON study. Dr. Andrish is an orthopaedic surgeon on the retired staff at Cleveland Clinic.

Advertisement

Related Articles

X-ray showing leg bones
March 6, 2024/Orthopaedics/Tumor

The Latest in Limb-Sparing Techniques for Pediatric Patients With Sarcoma

Biologic approaches, growing implants and more

Blue illustration of knee with torn ACL in red
February 29, 2024/Orthopaedics/Hip & Knee

Aspiration and Corticosteroid Injection Are Safe After ACL Injury

Study reports zero infections in nearly 300 patients

Swollen knee with scar
February 26, 2024/Orthopaedics/Hip & Knee

Is Joint Inflammation and Pain After Total Knee Arthroplasty an Infection or Gout?

How to diagnose and treat crystalline arthropathy after knee replacement

Dissected knee with robotic pins inside the incision
February 19, 2024/Orthopaedics/Hip & Knee

Intraincisional Pin Placement Is Safe Alternative in Robot-Assisted Total Knee Arthroplasty

Study finds that fracture and infection are rare

Multiple MRI scans of knees
February 12, 2024/Orthopaedics/Arthritis

Arthritis Foundation and Cleveland Clinic to Build National Osteoarthritis Imaging Center

Center will coordinate, interpret and archive imaging data for all multicenter trials conducted by the foundation’s Osteoarthritis Clinical Trial Network

Close up of the one round white pill in female hand.
January 4, 2024/Orthopaedics/Hip & Knee

Patients Use Less Pain Medication After Robot-Assisted Hip Replacement Compared With Conventional Surgery

Reduced narcotic use is the latest on the list of robotic surgery advantages

ORI_Viars_4102672_Hand Surgery Bootcamp &#8211; Dr. Styron_08-18-23
December 21, 2023/Orthopaedics/Upper Extremity

Boot Camp Prepares Trainees for Hand Surgery Fellowships

Cleveland Clinic specialists offer annual refresher on upper extremity fundamentals

The Featured Image for the post
November 29, 2023/Orthopaedics/Hip & Knee

What We’ve Learned From 10,000 Robot-Assisted Total Joint Replacements

Cleveland Clinic orthopaedic surgeons share their best tips, most challenging cases and biggest misperceptions

Ad