Locations:
Search IconSearch
September 26, 2016/Neurosciences

Magnetic Resonance Fingerprinting: A New Window into Multiple Sclerosis

Feasible quantification of MS tissue damage may be at hand

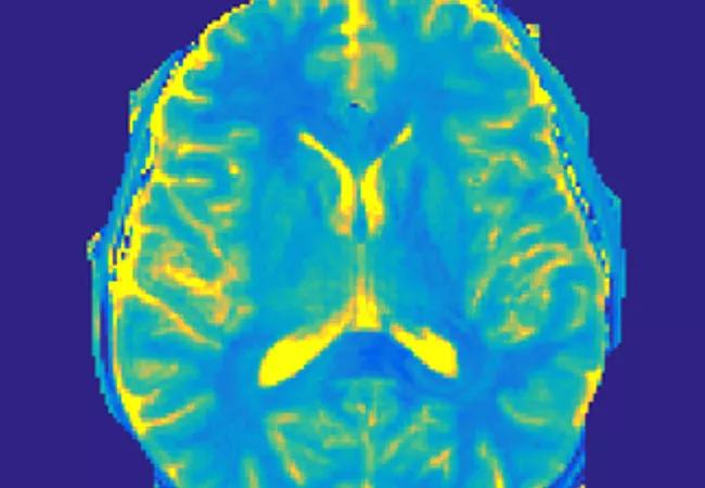
16-neu-1937-ontaneda-650×450

By Daniel Ontaneda, MD, MSc; Kunio Nakamura, PhD; and Mark Griswold, PhD

Advertisement

Cleveland Clinic is a non-profit academic medical center. Advertising on our site helps support our mission. We do not endorse non-Cleveland Clinic products or services. Policy

Although conventional MRI is an adequate tool for measuring focal inflammatory lesions in multiple sclerosis (MS), there is currently no validated method for specifically measuring demyelination and neurodegeneration in MS. One of the most important obstacles to developing therapies for progressive MS — and a significant unmet need in MS management — is the lack of specificity of conventional MRI to varying types and severity of tissue pathology in MS.

To that end, Cleveland Clinic’s Mellen Center for Multiple Sclerosis Treatment and Research has collaborated with Case Western Reserve University in the application of a revolutionary technology known as magnetic resonance fingerprinting (MRF) to quantitatively assess brain changes in MS. We recently reported findings from the first study applying MRF in patients with MS. After a brief review of MRF, this article shares key findings from that study and looks ahead to next steps in our group’s exploration of this technology’s compelling potential in MS management.

Essentials of MRF technology

MRF has emerged as an alternate imaging method that can successfully address problems associated with conventional and advanced imaging modalities.1 An example MRF image appears at the top of this post. This technology enables the noninvasive quantification of multiple properties of tissue simultaneously through a novel approach to data acquisition, post-processing and visualization.2 Instead of acquiring data by serial implementation of different sequences, MRF uses a randomized acquisition with varying values for image parameters:

  • Flip angle (FA)
  • Repetition time (TR)
  • Echo time (TE)
  • Inversion time (TI)

Advertisement

Data acquisition is conducted with a highly undersampled variable density spiral k-space trajectory. The result of the acquisition is a set of time-resolved images in which the time course for each pixel reflects its underlying tissue properties. A dictionary is created by simulating the signal time courses that could appear in the data based on the pulse sequence used and ranges of T1 and T2 based on physiological limits. Each pixel is then matched to find the dictionary entry that most resembles its characteristics, resulting in a map of the tissue properties for each pixel. This pattern-recognition approach of data analysis makes MRF a robust quantitative imaging technique with high tolerance to motion or artifacts.

Advantages of MRF

Unlike with other imaging methods, the data processing in MRF is specialized to provide direct quantitative estimates of tissue properties of interest. MRF increases the sensitivity, specificity and efficiency of an MR study and thus may lead to new diagnostic testing methodologies. MRF may provide potential biomarkers for disease progression in MS as well as quantitative metrics of drug efficacy. In particular, MRF may be sensitive to molecular-level changes in myelin and neural tissue states.

The new technology offers advantages over conventional MRI in a variety of areas:

  • Quantitation. Whereas conventional MRI is a nonquantitative method in which tissue abnormality is based on a signal intensity map, MRF holds the advantage of providing fully quantitative multimetric MRI properties with minimal post-processing.
  • Subvoxel characterization. In conventional MRI, each voxel of tissue is actually an average of the tissue properties being sampled. By permitting subvoxel characterization of brain tissue, MRF overcomes this problem by enabling detection of multiple tissue properties from a single voxel.
  • Reproducibility. Quantitative data produced with MRF is reproducible across various scanner setups, coils, hardware types and magnet properties.
  • Robustness to motion. MRF acquisition is robust to motion error, whereas conventional MRI is significantly distorted by head movements. Motion is a significant problem when imaging MS patients with more severe disability.
  • Speed of acquisition. Whole-brain acquisition for MRF takes approximately five minutes — a significant improvement over conventional MRI, which for multimodal acquisition takes more than 30 minutes. This means that T1, T2 and proton-density images can be obtained simultaneously with a single acquisition.

Advertisement

First experience with MRF in MS

At the 2016 annual meetings of the American Academy of Neurology and the International Society for Magnetic Resonance in Medicine, our research team presented results from the first MRF study applied in patients with MS.3 We conducted a cross-sectional study to investigate whether MRF detects differences in normal-appearing white matter (NAWM) and normal-appearing gray matter (NAGM) between MS subjects and healthy controls as well as between patients with relapsing-remitting (RR) and secondary progressive (SP) MS (Figure 1). We also sought to understand the clinical relevance of MRF by measuring correlation of MRF findings with clinical disability.

Figure 1. MRF-based T1 maps (left), conventional MRIs (middle) and MRF-based T2 maps (right) from patients with secondary progressive MS (SPMS, top rows), patients with relapsing-remitting MS (RRMS, middle rows) and healthy controls (bottom rows).

Figure 1. MRF-based T1 maps (left), conventional MRIs (middle) and MRF-based T2 maps (right) from patients with secondary progressive MS (SPMS, top rows), patients with relapsing-remitting MS (RRMS, middle rows) and healthy controls (bottom rows).

The study’s 55 subjects consisted of the following:

  • 11 healthy controls
  • 5 patients with clinically isolated syndrome
  • 23 patients with RRMS
  • 16 patients with SPMS

All subjects had been followed for 12 years in a longitudinal study and were scanned at 3T (Trio™, Siemens Medical Solutions, Erlangen, Germany) under written informed consent in an IRB-approved protocol. Subjects were scanned with a fast imaging with steady-state precession (FISP)-based MRF sequence. Data were reconstructed and processed offline in MATLAB (The Mathworks, Natick, Massachusetts). A dictionary with 47,049 elements (T1 range, 20-5,000 ms; T2 range, 10-500 ms) was used for pattern matching to generate quantitative T1, T2 and spin density maps.

Advertisement

The study’s key results included the following:

  • Between healthy controls and the MS groups, T1 values in the thalamus and caudate were significantly different (both P < .01).
  • Between patients with RRMS and those with SPMS, T1 values in frontal NAWM were significantly different, as were T1 and T2 values in T2 lesions (all P ≤ .001).
  • T1 values in frontal NAWM showed the highest correlation with both the Expanded Disability Status Scale (EDSS) and the MS Functional Composite (MSFC) scores (absolute Spearman rank correlation > 0.61), as detailed in Figure 2.
  • T1 and T2 values in T2 lesions also correlated with MSFC score (Spearman rank correlation = –0.679 and –0.582 respectively, P < .001).
Figure 2. Scatter plots showing correlation of T1 values in frontal normal-appearing white matter with Expanded Disability Status Scale (EDSS) score and MS Functional Composite (MSFC) score. Spearman rank correlations were 0.612 for the EDSS and –0.697 for the MSFC.

Figure 2. Scatter plots showing correlation of T1 values in frontal normal-appearing white matter with Expanded Disability Status Scale (EDSS) score and MS Functional Composite (MSFC) score. Spearman rank correlations were 0.612 for the EDSS and –0.697 for the MSFC.

Our findings show that MRF provides simultaneously acquired and intrinsically registered maps of multiple relaxation parameters. In agreement with previous T1-mapping techniques, we also found increased T1 in normal-appearing structures. T2 was increased in certain normal-appearing regions, similar to prior evidence that showed changes in NAWM but not in deep gray matter structures.

In addition to demonstrating differences between healthy controls and patients with MS, MRF distinguished the clinical course of disease even in this small sample size. This indicates a high sensitivity for detecting underlying nonlesional changes in MS and suggests that MRF may provide a window into the pathophysiology of the disease. Significant correlations with the MSFC and EDSS scores likewise suggest that MRF measures capture a clinically meaningful change in normal-appearing tissue.

Advertisement

MRF and pathology

We also have examined potential correlations between MRF and pathology findings through Cleveland Clinic’s MS postmortem program using imaging followed by rapid autopsy.

In this preliminary study (data in preparation for presentation), we imaged four MS cadavers on a 3T Trio scanner using conventional MRI and MRF. On conventional FLAIR MRI, all cases had T2-hyperintense and T1-hypointense lesions. When the brain and spinal cord were removed after scanning, macroscopic evaluation of fixed brain slices revealed that two brains contained no white matter plaques and two brains had white matter lesions. We processed the MRI and MRF data as described for lesional analysis, segmented T2 and T1 lesions, and obtained median MRF-based spin density, T1 and T2 values for each brain. The median values in the two groups showed an interesting trend in T1 and T2 values in T1 lesions (Figure 3).

16-neu-1937-ontaneda-fig3rev-3

Figure 3. Preliminary results from four postmortem brains showing (a) two MS subjects with macroscopically visible white matter plaques (b) and two MS subjects without such plaques. The plots show the median value within T1 hypointense lesions from MRF imaging. Each marker indicates a measurement from a single brain, with filled circles indicating MS subjects with pathologically visible plaques and hollow squares indicating MS subjects without visible plaques.

In light of these findings, quantitative MRF measures seem to hold promise for differentiating T1 lesions into pathologically identified lesions.

Next steps

We are currently conducting a longitudinal study using MRF measures focusing on the thalamus in MS. This study will help determine the sensitivity of MRF over time as well as provide improved image resolution. MRF for use at 7T scanning is now under development as well. We also hope to implement an MRF sequence, known as MRF exchange (MRF-X), that takes chemical exchange effects into account and could have significant sensitivity to myelin content.4

MRF represents a significant advance in radiology. In MS we expect to identify a marker of disease that can be used as a diagnostic test and as a biomarker of disease severity. Several features — fast acquisition, low variability between scanners and robustness to motion — make MRF an ideal potential outcome measure in phase 2 clinical trials.

References

  1. European Society of Radiology (ESR). Magnetic resonance fingerprinting — a promising new approach to obtain standardized imaging biomarkers from MRI. Insights Imaging. 2015;6:163-165.
  2. Ma D, Gulani V, Seiberlich N, et al. Magnetic resonance fingerprinting. Nature. 2013;495:187-192.
  3. Nakamura K, Deshmane A, Guruprakash D, Jiang Y, Ma D, Lee J, Fisher E, Rudick R, Cohen J, Lowe M, Gulani V, Griswold M, Ontaneda D. A novel method for quantification of normal appearing brain tissue in multiple sclerosis: magnetic resonance fingerprinting. Abstract P4.158. Presented at: 68th Annual Meeting of the American Academy of Neurology; Vancouver; April 19, 2016.
  4. Hamilton J, Griswold MA, Seiberlich N. MR fingerprinting with chemical exchange (MRF-X) to quantify subvoxel T1 and extracellular volume fraction. J Cardiovasc Magn Reson. 2015;17(Suppl 1):W35.

Dr. Ontaneda is a staff neurologist in Cleveland Clinic’s Mellen Center for Multiple Sclerosis Treatment and Research.

Dr. Nakamura is a project scientist in the Department of Biomedical Engineering in Cleveland Clinic Lerner Research Institute.

Dr. Griswold is a professor in the Department of Radiology at Case Western Reserve University School of Medicine, Cleveland.

Related Articles

16-NEU-2800-Kubu-101058161-650&#215;450

What Do Patients Want from DBS for Parkinson’s Disease?

New study advances understanding of patient-defined goals

photo of a man sleeping at a desk, with a podcast icon overlay
March 15, 2024/Neurosciences/Podcast

Diagnosis and Management of Idiopathic Hypersomnia (Podcast)

Testing options and therapies are expanding for this poorly understood sleep disorder

illustration of an alzheimer brain and a packet of sildenafil pills
March 11, 2024/Neurosciences/Research

Sildenafil as an Alzheimer’s Candidate Drug: Further Support From Insurance Database and Mechanistic Studies

Real-world claims data and tissue culture studies set the stage for randomized clinical testing

brain scan showing perimesencephalic subarachnoid hemorrhage

Study Supports Less-Strict Monitoring for Nonaneurysmal Perimesencephalic SAH Without Hydrocephalus

Digital subtraction angiography remains central to assessment of ‘benign’ PMSAH

illustrated brain with the letters "AI" on a computer circuit board

As AI Tools Emerge, Be Proactive and Engaged to Shape Their Development

Cleveland Clinic neuromuscular specialist shares insights on AI in his field and beyond

histology image of a gray matter lesion in a multiple sclerosis brain

Study Suggests Protective Role for Microglia at Borders of Gray Matter Lesions in Progressive MS

Findings challenge dogma that microglia are exclusively destructive regardless of location in brain

series of digital-looking brain icons with a podcast button overlay on top
March 1, 2024/Neurosciences/Podcast

Harnessing the Power of AI in Medicine (Podcast)

Neurology is especially well positioned for opportunities to enhance clinical care and medical training

illustration of a neuron affected by multiple sclerosis

Clinical Trials in Progressive MS: An Assessment of Advances and Remaining Challenges

New review distills insights from studies over the past decade

Ad