Locations:
Search IconSearch
March 1, 2017/Orthopaedics/Hip & Knee

Lateral Meniscus Repair Protects Knee Joint After ACL Reconstruction

Medial repair leads to joint space narrowing; lateral does not

16-ORT-2550-Jones-Hero-Image-650x450pxl

By Morgan H. Jones, MD, MPH; Richard Parker, MD; Kurt Spindler, MD; and Carl Winalski, MD

Advertisement

Cleveland Clinic is a non-profit academic medical center. Advertising on our site helps support our mission. We do not endorse non-Cleveland Clinic products or services. Policy

A recent Multicenter Orthopaedic Outcomes Network (MOON) study we conducted found that partial lateral meniscectomy and lower baseline activity level were associated with narrower lateral compartment joint space width two to three years after ACL reconstruction.

These findings directly contrast those in a previous study of the medial compartment, which showed that both meniscectomy and repair were associated with narrower medial compartment joint space width, and that older patients had more narrowing than younger patients. We presented the more recent study at the Osteoarthritis Research Society International World Congress and at the annual meeting of the American Orthopaedic Society for Sports Medicine.

Assessing joint changes

We assembled a unique cohort to assess the early onset of post-traumatic osteoarthritis after ACL reconstruction. The group consists of patients from the MOON cohort who were 35 or younger at the time of ACL reconstruction, sustained injuries during sporting activities and had no prior surgery to either knee and no reinjury during the follow-up period. This group of patients allowed us to assess changes in the joint related to the ACL injury and the surgery rather than pre-existing injury or degenerative change. We also chose patients with a normal contralateral knee to compare radiographs between injured and uninjured legs.

We obtained posteroanterior radiographs of the knee using the metatarsophalangeal (MTP) joint positioning technique, in which the knees are slightly bent and the MTP joint is even with the front of the X-ray cassette. We employed the semi-automated electronic measurement technique developed by Jeffrey Duryea, PhD, at Brigham and Women’s Hospital in Boston. This method traces the outline of the femoral condyle and the tibial plateau and measures the joint space width across the entire tibial plateau. We used the point at 75 percent from the medial edge to the lateral edge of the tibia to measure the lateral compartment joint space width, as this location has been most sensitive to change in prior studies. This produces measurements that are accurate to 0.3 mm.

Advertisement

Contrasting findings in medial and lateral compartments

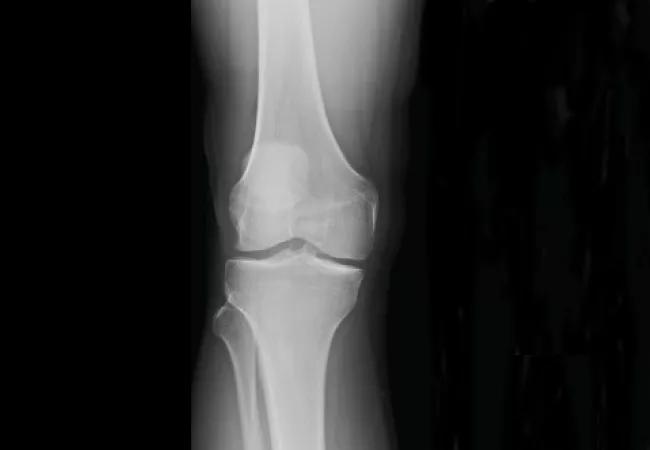
Our results showed that lateral compartment joint space width was slightly narrower in the ACL reconstructed knees compared to the contralateral control knees, which represents the earliest sign of post-traumatic osteoarthritis in this part of the joint (See radiographs).

Radiographs showing lateral compartment joint space width.

Radiographs showing lateral compartment joint space width.

Patients with partial lateral meniscectomy showed about 0.4 mm of joint space narrowing compared to patients with no tear. We saw no significant difference among patients with meniscus repair, untreated stable tear and no tear. This suggests that lateral meniscus repair effectively preserves joint space width and prevents the worsening of post-traumatic osteoarthritis in the lateral compartment after ACL reconstruction. In contrast, our previous study demonstrated that both meniscectomy and repair were associated with narrower joint space in the medial compartment.

Activity level finding warrants more study

We also found that patients with lower activity level at baseline (Marx activity level < 16) had a lateral joint space width approximately 0.3 mm narrower than patients with the highest activity level (Marx = 16). Marx activity level of 16 means that patients are running, cutting, decelerating and pivoting four or more times per week. We did not expect any differences in joint space narrowing related to activity level, and we think that further study is warranted to explain this curious finding.

We also controlled for age, gender, BMI and articular cartilage status, and none of these factors were associated with joint space width.

Advertisement

A case for improved management of meniscal tears

Our findings show that patients who have ACL reconstruction with partial lateral meniscectomy will have increased lateral compartment joint space narrowing compared to those who have a normal lateral meniscus, a lateral meniscus repair or benign neglect of a stable tear. This finding demonstrates the importance of restoring meniscal function through repair whenever possible. It also raises a question of whether other interventions (biologic and pharmacologic therapies, unloader brace, additional surgical treatment) should be selectively applied to patients who have partial lateral meniscectomy at the time of ACL reconstruction to prevent the incidence and progression of post-traumatic osteoarthritis.

Dr. Parker is President of Cleveland Clinic Marymount Hospital, a staff orthopaedic surgeon and head physician for the 2016 NBA Champions, the Cleveland Cavaliers. Dr. Spindler is Vice Chairman of Research at Cleveland Clinic’s Orthopaedic and Rheumatologic Institute. Dr. Winalski is staff in the Imaging Institute.

Advertisement

Related Articles

X-ray showing leg bones
March 6, 2024/Orthopaedics/Tumor

The Latest in Limb-Sparing Techniques for Pediatric Patients With Sarcoma

Biologic approaches, growing implants and more

Blue illustration of knee with torn ACL in red
February 29, 2024/Orthopaedics/Hip & Knee

Aspiration and Corticosteroid Injection Are Safe After ACL Injury

Study reports zero infections in nearly 300 patients

Swollen knee with scar
February 26, 2024/Orthopaedics/Hip & Knee

Is Joint Inflammation and Pain After Total Knee Arthroplasty an Infection or Gout?

How to diagnose and treat crystalline arthropathy after knee replacement

Dissected knee with robotic pins inside the incision
February 19, 2024/Orthopaedics/Hip & Knee

Intraincisional Pin Placement Is Safe Alternative in Robot-Assisted Total Knee Arthroplasty

Study finds that fracture and infection are rare

Multiple MRI scans of knees
February 12, 2024/Orthopaedics/Arthritis

Arthritis Foundation and Cleveland Clinic to Build National Osteoarthritis Imaging Center

Center will coordinate, interpret and archive imaging data for all multicenter trials conducted by the foundation’s Osteoarthritis Clinical Trial Network

Close up of the one round white pill in female hand.
January 4, 2024/Orthopaedics/Hip & Knee

Patients Use Less Pain Medication After Robot-Assisted Hip Replacement Compared With Conventional Surgery

Reduced narcotic use is the latest on the list of robotic surgery advantages

ORI_Viars_4102672_Hand Surgery Bootcamp &#8211; Dr. Styron_08-18-23
December 21, 2023/Orthopaedics/Upper Extremity

Boot Camp Prepares Trainees for Hand Surgery Fellowships

Cleveland Clinic specialists offer annual refresher on upper extremity fundamentals

The Featured Image for the post
November 29, 2023/Orthopaedics/Hip & Knee

What We’ve Learned From 10,000 Robot-Assisted Total Joint Replacements

Cleveland Clinic orthopaedic surgeons share their best tips, most challenging cases and biggest misperceptions

Ad