Locations:
Search IconSearch

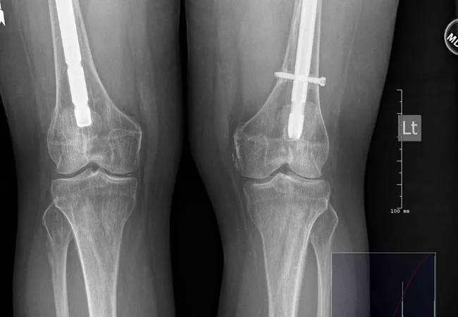
Late, Severe Effects of Hypophosphatasia

A case study from Chad Deal, MD, illustrates how patients may present

18-RHE-1290-Deal-HPP-650×450
Bone Aches & Breaks: Is It HPP?

Rheumatologists most commonly see the adult form of hypophosphatasia (HPP), one of six major forms of the disease. The adult form is characterized by muscle pain, muscle weakness, recurring stress fractures, osteomalacia, a history of dental abnormalities and calcium pyrophosphate dihydrate crystal deposition in the cartilage (CPPD). Only a few small cohort studies characterize adult HPP in terms of clinical, radiographic and laboratory presentation.

Advertisement

Cleveland Clinic is a non-profit academic medical center. Advertising on our site helps support our mission. We do not endorse non-Cleveland Clinic products or services. Policy

Clinicians should take notice of persistent hypophosphatasemia, consider the diagnosis of HPP and be cautious when considering potent antiremodeling therapy in these adults since the underlying disorder is a defect in mineralization (osteomalacia), not osteoporosis.

Treating hypophosphatasia

Asfotase alfa has revolutionized the treatment of HPP. Asfotase alfa (Strensiq®), a mineral-targeted recombinant TNSALP, was approved by regulatory agencies in many countries in 2015 for pediatric-onset HPP. Adult treatment is off-label, but since the disease is the result of a genetic variant present at birth, all cases are in essence pediatric, even though those with mild disease may first present for evaluation much later in life. Most of these patients will have had unrecognized disease manifestations in their youth, such as premature loss of primary teeth before the age of five. The tooth loss is characterized by loss of the entire tooth with root intact and is a result of insufficient mineral in the cementum that covers the tooth and anchors the root to the periodontal ligament.

Prior to the availability of asfotase alfa, teriparatide had been used in several case reports with mixed success. Unlike using an antiresorptive agent, an anabolic agent like teriparatide is not likely to be harmful. Since the data on treatment with asfotase alfa is in children, the treatment of adults with HPP is less formulated. Shapiro and Lewiecki suggest treatment of adults be considered one or more of the following is present and determined to be clinically significant and attributable to HPP:

  • Musculoskeletal pain requiring prescription pain medications, especially chronic opioids.
  • Disabling polyarthropathy or chondrocalcinosis.
  • Major low-trauma fracture (e.g., spine, hip, humerus, pelvis) attributable to HPP.
  • Delayed or incomplete fracture healing or fracture nonunion.
  • Repeated episodes of orthopedic surgery for complications of HPP, especially for nonunion and delayed union fractures.
  • Disabling functional impairment (e.g., mobility, gait, activities of daily living) assessed by validated measures.
  • Low bone mineral density by DXA: T-score -2.5 in postmenopausal women and men age 50 years and older, or Z-score -2.0 in younger adult women and men in patients with fractures.
  • Radiological evidence of nephrocalcinosis.

Advertisement

Related Articles

Medical illustration of hand with discolored fingers

Coexistence of Erythromelalgia and Raynaud’s Phenomenon

Treatment strategies require understanding of pathomechanisms

Squamous cell skin cancer

Skin Cancer Risk in Immunosuppressed Patients

Education, prevention strategies and monitoring serves this at-risk group

esophageal plaques

Esophageal Plaques and Systemic Sclerosis

Treatment for scleroderma can sometimes cause esophageal symptoms

Lupus clinic

Coordinated Care, Education and Research

Lupus Clinic providers collaborate to advance treatment and understanding

Psoriatic arthritis

Psoriatic Arthritis: Unlocking the Age Factor

Older Psoriasis Patients May Experience Quicker Transition

Mixed connective tissue disease rash

A Little Bit of Everything: Mixed Connective Tissue Disease

Cleveland Clinic’s Rheumatic Lung Disease program treats patients with complex conditions

Skin lesions

Case Study: Joint Pain, Angioedema, Confusing Rash

Symptoms complement one another

Virtual coaching

Boosting Mental Health Access for Patients with Psoriatic Disease

E-coaching program is tailored for those with the disease

Ad