Locations:
Search IconSearch

Infiltrative Renal Masses: More Common Than Previously Thought and Often Unrecognized

Study examines how infiltrative features affect prognosis

Infiltrative Renal Masses: More Common Than Previously Thought and Often Unrecognized

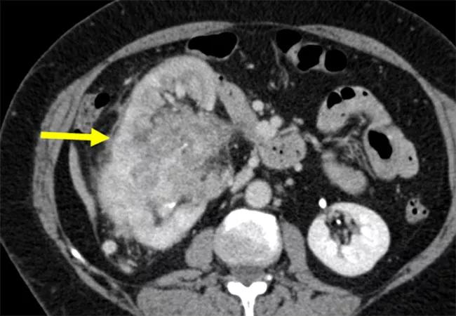
Most renal masses are solid and well-defined. A minority are infiltrative renal masses (IRMs) which have a poorly defined interface with the normal parenchyma and markedly irregular shape. It is well established that IRMs are mostly malignant and aggressive. The differential diagnosis includes poorly differentiated renal cell carcinoma (RCC), urothelial carcinoma (UC), lymphoma, metastatic cancer and sometimes inflammatory or infectious causes.

Advertisement

Cleveland Clinic is a non-profit academic medical center. Advertising on our site helps support our mission. We do not endorse non-Cleveland Clinic products or services. Policy

A recent Cleveland Clinic analysis of 265 radiologically documented IRMs from 2008-2017 at the center found that 138 patients (52%) were deceased from renal malignancy, with a median time from diagnosis to death of only five months.

Yet, until recently, the standard practice in radiology hasn’t been to routinely assess or document IRMs. To better understand the prevalence and significance of IRMs, investigators in Cleveland Clinic’s Glickman Urological and Kidney Institute conducted a retrospective study of how infiltrative features affect prognosis and also looked at the fidelity of documentation of infiltrative features. The findings appear in European Oncology Urology.

Study population and analysis

From 2012 to 2014, 2,032 renal tumor patients underwent partial nephrectomy (PN) or radical nephrectomy (RN) at Cleveland Clinic. Of that group, the investigators identified 522 patients (median age 64) with renal tumors with one or more aggressive pathologic features, including: RCC stage ≥pT3a and/or Fuhrman grade 4, sarcomatoid/rhabdoid features, or poorly differentiated unclassified subtype; collecting duct or renal medullary carcinoma; high-grade UC; unclassified malignant histology or malignancy other than RCC/UC; or pathologic lymph-node involvement. All tumors had preoperative contrast-enhanced imaging (CT or MRI) which was required for inclusion in the study. Surgical treatment was based on surgeon preference.

The analysis considered patient and tumor characteristics, pathologic findings, surgical outcomes and patient survival.

Advertisement

Results confirm IRM aggressiveness

Based on a blinded, independent review by two radiologists, 133 IRMs were identified in the cohort. They represent 25% of all patients with locally advanced stage and/or aggressive histology, a higher incidence compared with most other studies in the literature. Of that number, 109 IRMs were imaged at Cleveland Clinic and could be evaluated regarding documentation of infiltrative features. Only 42 (39%) were documented as IRMs within the radiology reports and only four by the surgical team. The IRMs that were documented tended to be extensively infiltrative and those that were undocumented were more likely to be focal.

Compared with non-IRMs, the IRMs had significantly larger tumor size and increased tumor complexity. On final pathology, 103 IRMs (77%) were diagnosed as RCC and 59 (57%) had sarcomatoid/rhabdoid or other poorly differentiated features. Undocumented IRMs were significantly larger than documented IRMs, which is likely due to the lower percentage of UC cases in the undocumented cohort.

Regarding outcomes, the two-year cancer-related mortality (CSM) was 29% for IRM patients and 6% for non-IRM patients; poor prognosis was observed in both documented and undocumented IRMs. “This study shows that IRMs have a markedly worse prognosis than non-IRMs. It is significant that the IRMs had much more unfavorable outcomes than the non-infiltrative masses, which also had aggressive pathologic characteristics. They are also more common than we realized,” says Steven C. Campbell, MD, PhD, urologic surgeon and a member of the Section of Urologic Oncology in Cleveland Clinic’s Glickman Urological and Kidney Institute.

Advertisement

Documentation and clinical implications

While this study was being conducted, in late 2018, the Society of Abdominal Radiology guidelines were changed to recommend routine documentation of whether infiltrative features are present within a renal mass. “We are always looking for genetic or biologic markers for tumor aggressiveness. That information is often readily available on an imaging scan. In my practice, I am seeing more IRMs because I am looking for them,” says Dr. Campbell.

Identifying IRMs from the start has significant clinical implications. “If you know that the renal mass is infiltrative, you are more likely perform a radical nephrectomy. You could also do a more comprehensive metastatic evaluation and might consider a renal mass biopsy,” says Dr. Campbell.

Follow-up study in progress

The investigators are currently analyzing the scans of the renal cancer patients who were treated from 2012-2014 and were not included in the study. “We are looking at every scan to find out if there were additional IRMs we didn’t detect,” says Dr. Campbell.

Advertisement

Related Articles

Man sitting at kitchen table with blood pressure monitor and pill bottles

Should Patients Take Blood Pressure Medications in the Evening to Enhance Cardiovascular Benefit?

Clinicians should individualize dosing practices based on patient risk factors and preferences

Drawing of surgeon's fingers pressing into a patient's body

Low Anterior Access Enhances Outcomes in Single-Port Robotic Urologic Surgeries

Pioneering and refining the approach in pyeloplasty, nephrectomy and more

Drawing of a pink bulb with two tubes coming out of the top

Predicting Post-Op GFR: AI Algorithm Is as Accurate as Clinical Model

Fully-automated process uses preop CT, baseline GFR to estimate post-nephrectomy renal function

Arm of Black patient having kidney dialysis

GFR Equations: How Will Eliminating the Race Coefficient Affect Black Patients?

Could mean earlier treatment, but also could have negative effects

Man examining prescription bottle in kitchen
February 27, 2024/Urology & Nephrology/Urology

Oral Medication Offers New Option for Testosterone Replacement

Unlike earlier pills, new drugs do not cause liver toxicity

URL_Pavelko_3777858_Urology_Dr. Lundy in Clinic_04-26-23_LDJ
January 30, 2024/Urology & Nephrology/Urology

Starting the Conversation About Male Infertility

Male factors play a role in about half of all infertility cases, yet men often are not evaluated

URL_Mould_4456309_Dr. Jihad Kaouk during Procedure_12-12-23

Using One Single-Port Robot for Both Kidney Transplant Donor and Recipient

Surgeons choreograph nearly simultaneous procedures, sharing one robot between two patients

Senior at the Doctors

Study Assesses the Utility of Renal Genetic Testing in Black Patients

Identifying barriers in the renal genetic assessment of Black patients

Ad