Locations:
Search IconSearch

Improving Risk Stratification in Dilated Aorta with Trileaflet Aortic Valve

Indexing aortic root area to patient height adds prognostic value

17-HRT-196-Aortic-Ratio-CQD-Feat

Determining when to operate on patients with a dilated proximal ascending aorta and trileaflet aortic valve may have just gotten easier, thanks to a new analysis. The research — a large observational cohort study from Cleveland Clinic — indicates that indexing aortic root area to patient height provides independent and improved stratification for mortality risk as compared with aortic diameter alone.

Advertisement

Cleveland Clinic is a non-profit academic medical center. Advertising on our site helps support our mission. We do not endorse non-Cleveland Clinic products or services. Policy

“There has been controversy about the stage at which we should intervene in these patients,” says cardiologist Milind Desai, MD, corresponding author of the study, which was published in Circulation in late 2016. “Questions have surrounded whether it should be based on when the aorta reaches some absolute diameter or rather reaches a certain size ratio relative to the patient’s height, body mass index or body surface area.”

Absolute size vs. contextual size

A 2010 joint guideline document from a number of medical and surgical societies relies on absolute size thresholds, recommending surgery in cases of trileaflet aortic valve with an ascending aortic diameter 5.5 cm or greater for patients with noninherited aortic aneurysms and between 4 and 5 cm in patients with inherited aortopathies.

But these recommendations are based on consensus opinion rather than large outcomes datasets, and observations from the International Registry of Acute Aortic Dissection show that about 40 percent of patients have an aortic diameter less than 5 cm at time of presentation with type A aortic dissection.

The recommendations also fail to account for patient size and sex. “An aortic cutoff size of a 5-foot-2-inch individual is not likely to be the same as the one for a 6-foot-8-inch individual,” notes Dr. Desai, who is also Professor of Medicine at Cleveland Clinic Lerner College of Medicine.

A number of experts have therefore suggested indexing aortic dimensions using patients’ body surface area or height. About 15 years ago, Cleveland Clinic cardiac surgeon and co-author of the new Circulation study Lars Svensson, MD, PhD, proposed the use of a ratio of aortic area to patient height, and he published findings showing that a ratio > 10 cm2/m was associated with aortic dissection in patients with bicuspid aortopathy and Marfan syndrome.

Advertisement

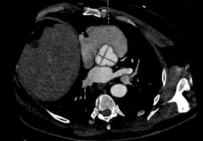
Sample cross-sectional image from a patient with a trileaflet aortic valve and a dilated aortic root. This patient’s ratio of aortic root cross-sectional area to height was 10.4 cm2/m.

Sample cross-sectional image from a patient with a trileaflet aortic valve and a dilated aortic root. This patient’s ratio of aortic root cross-sectional area to height was 10.4 cm2/m.

“Nevertheless, until now, no large analyses had looked at the incremental prognostic value of this index in the context of a dilated aortic root and ascending aorta in patients with a trileaflet aortic valve,” says Dr. Svensson, Chairman of Cleveland Clinic’s Miller Family Heart & Vascular Institute.

Some clarification from a large cohort study

That prompted Drs. Svensson, Desai and colleagues to undertake the new study published in Circulation, which evaluated 771 consecutive patients with trileaflet aortic valve and concomitant aortopathy evaluated at Cleveland Clinic from 2003 to 2007. All patients had:

  • A dilated (≥ 4 cm) aortic root and ascending aorta as identified on transthoracic echocardiogram
  • Confirmation of the initial echo measurement by contrast-enhanced CT angiogram or MR angiogram

The ratio of aortic root area over height was calculated for all patients, and a cutoff of > 10 cm2/m (based on the earlier reports mentioned above) was designated abnormal. Patients were followed for a mean of 7.3 ± 2.6 years, during which all-cause death rates were tracked.

Key findings included the following:

  • On multivariable analysis, an abnormal aortic root area/height ratio (> 10 cm2/m) was significantly and independently associated with risk of death, conferring a hazard ratio of 4.04 (95% CI, 2.69-6.23).
  • Incorporation of the ratio into a clinical model (consisting of Society of Thoracic Surgeons score, medication types, and presence/absence of inherited aortopathies, hypertension, hyperlipidemia, aortic regurgitation and right ventricular systolic pressure) significantly increased the model’s prognostic value.
  • Cardiovascular surgery was significantly associated with improved survival across the overall cohort.
  • 44 percent of patients with an aortic root diameter between 4.5 and 5.5 cm — i.e., who would not qualify for surgery under current guidelines — had an abnormal aortic root area/height ratio. A full 78 percent of deaths in this subgroup occurred in those with an abnormal aortic root area/height ratio.
  • Findings were comparable when ascending aortic measurements were used in the ratio.

Advertisement

A clear role in clinical decisions

“These findings show that an aortic root area/height ratio > 10 cm2/m has significant and independent prognostic value in stratifying risk among patients with trileaflet aortic valve and dilated aorta,” say Drs. Desai and Svensson. “The ratio has a clear role in clinical decision-making.”

Co-author Brian Griffin, MD, Section Head of Cardiovascular Imaging, notes that it remains to be prospectively determined whether the ratio is a better guide than aortic root diameter for deciding when to proceed with surgical repair. “It is notable, however, that almost half the patients in this dataset not meeting the criterion of a diameter greater than 5.5 cm had an abnormally high ratio of aortic root area to height,” he says.

“I suspect that treatment guidelines will eventually change to reflect the prognostic utility of the ratio in this population,” concludes Dr. Desai. In the meantime, he and his Cleveland Clinic colleagues are working on additional studies to improve risk stratification and help with better surgical timing in various aortopathies.

Advertisement

Related Articles

19-HRT-6507 Vitals-650×450

Rani duplicate post Check Out These Outcomes

A sampling of outcome and volume data from our Heart & Vascular Institute

illustration of the human heart focused on the left atrial appendage

Takeaways From Updated STS Guidelines for Surgical Treatment of Atrial Fibrillation

Concomitant AF ablation and LAA occlusion strongly endorsed during elective heart surgery

illustration of a figure-of-8 stitch for aortic valve repair

Figure-of-8, Hitch-Up Stitch Is Safe and Durable in Bicuspid Aortic Valve Repair

Large retrospective study supports its addition to BAV repair toolbox at expert centers

histology image of lung tissue showing spread through air spaces (STAS)

Lung Cancer Study Links Preoperative Factors With Spread Through Air Spaces

Young age, solid tumor, high uptake on PET and KRAS mutation signal risk, suggest need for lobectomy

x-ray of bone fracture in a forearm

TRAVERSE Substudy Links Testosterone Therapy to Increased Fracture Risk in Older Men With Hypogonadism

Surprise findings argue for caution about testosterone use in men at risk for fracture

echocardiogram showing severe aortic regurgitation

Early Referral for Enlarged Roots Critical to Prevent Residual AR After Aortic Root Replacement With Valve Reimplantation

Residual AR related to severe preoperative AR increases risk of progression, need for reoperation

photo of intubated elderly woman in hospital bed

Proteomic Study Characterizes Markers of Frailty in Cardiovascular Disease and Their Links to Outcomes

Findings support emphasis on markers of frailty related to, but not dependent on, age

3D transesophageal echocardiographic images

New Leaflet Modification Technique Curbs LVOT Obstruction Risk in Valve-in-Valve TMVR

Provides option for patients previously deemed anatomically unsuitable

Ad