Locations:
Search IconSearch

Improvement Seen in Use of Abatacept in Nonsevere Relapsing Granulomatosis with Polyangiitis (Wegener’s)

Encouraging Pilot Study Paves Way for Randomized Trial

Pathology-Image_Langford_690x380pxl

By Carol A. Langford, MD, MHS

Advertisement

Cleveland Clinic is a non-profit academic medical center. Advertising on our site helps support our mission. We do not endorse non-Cleveland Clinic products or services. Policy

Although treatment options for granulomatosis with polyangiitis (GPA) have increased, 50 to 70 percent of patients continue to experience a disease relapse following successful remission induction. Relapses can be similar to or different from the patient’s initial presentation and can range from mild to severe. Nonsevere relapses in particular remain a common occurrence that can result in incremental damage and require long-term use of glucocorticoids.

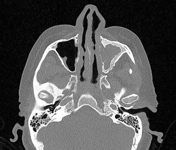
Nonsevere disease covers a wide spectrum of disease manifestations (Figure), which can have a substantial impact on patient quality of life. Management of nonsevere relapses has remained a challenge for which there has been an unmet therapeutic need.

Abatacept-CT_Fig-Top_Langford_590pxl-width

Abatacept-CT_Fig-Bottom_Langford_590pxl-width

Figure. Two aspects of nonsevere GPA as would have been eligible for treatment in the abatacept trial. (Top) CT demonstrating sinus mucosal disease. (Bottom) CT showing a lung nodule in a patient without respiratory compromise.

The Vasculitis Clinical Research Consortium (VCRC) conducted a pilot study examining abatacept in nonsevere relapsing GPA, the results of which were published in 2013 (Langford et al. Ann Rheum Dis. 2013 Dec 9 [Epub ahead of print]). Support for this study and the VCRC was provided by the National Institutes of Health.

The exploration of abatacept in GPA was based on a mechanistic rationale that supported a role for activated CD4 T cells in the pathogenesis of GPA. By containing CTLA4, abatacept blocks the engagement of CD28 with its ligand, thereby inhibiting T cell activation. Based on reasoning that blockage of T cell activation might impact GPA disease pathogenesis, together with the favorable side effect profile seen with its use in rheumatoid arthritis, abatacept was an attractive agent to explore in nonsevere GPA.

Advertisement

This open-label pilot study enrolled 20 patients with nonsevere relapsing GPA. All patients received IV abatacept 10 mg/kg on days 1, 15 and 29, and every four weeks thereafter. Prednisone up to 30 mg daily was allowed within the first two months, and patients on methotrexate, azathioprine or mycophenolate mofetil at enrollment continued these agents without dosage increase. Patients remained on study medication until meeting criteria for early termination or until common closing, which was six months after enrollment of the final participant.

High Rates of Improvement and Remission

Of the 20 patients, 18 (90 percent) had disease improvement, 16 (80 percent) achieved remission (defined as a Birmingham Vasculitis Activity Score for Wegener’s granulomatosis [BVAS/WG] of 0) and 14 (70 percent) reached the study common closing date. Six patients (30 percent) met criteria for early termination due to increased disease activity; three of these six achieved remission prior to relapse. During the study, 11 of the 15 patients on prednisone (73 percent) reached 0 mg.

Patient safety was good during the course of the trial, with nine severe adverse events occurring in seven patients.

In this study of 20 patients with nonsevere relapsing GPA, abatacept was well tolerated and was associated with a high frequency of disease remission and prednisone discontinuation. While encouraging, this experience remains insufficient to recommend the use of abatacept in clinical practice. It does, however, support the pursuit of a randomized trial to determine more definitively the effectiveness and safety of abatacept in nonsevere GPA.

Advertisement

New Study to Begin in 2014

In pursuit of these goals, the Abatacept (CTLA4-Ig) for the Treatment of Relapsing, Non-Severe GPA (ABROGATE) trial has been designed and is to begin this year. This study will enroll 150 patients with nonsevere relapsing GPA and includes a randomized treatment period with an open-label extension in patients who experience nonsevere disease worsening or relapse or who do not achieve remission by month 6.

This trial will be conducted by the VCRC in partnership with the European Vasculitis Study Group and other international collaborators.

The ABROGATE trial will join other ongoing VCRC clinical trials in GPA that include:

  • An International, Open Label, Randomized Controlled Trial Comparing Rituximab with Azathioprine as Maintenance Therapy in Relapsing ANCA-Associated Vasculitis (RITAZAREM)
  • Plasma Exchange and Glucocorticoid Dosing In ANCA-Associated Vasculitis (PEXIVAS)
  • The Assessment of Prednisone in Remission Trial (TAPIR)

Physicians with questions about these studies or who want to make referrals should contact Dr. Langford at 216.445.6056 or langfoc@ccf.org.

Dr. Langford is Director of the Center for Vasculitis Care and Research as well as Vice Chair for Research, Department of Rheumatic and Immunologic Diseases at Cleveland Clinic.

Advertisement

Related Articles

Medical illustration of hand with discolored fingers

Coexistence of Erythromelalgia and Raynaud’s Phenomenon

Treatment strategies require understanding of pathomechanisms

Squamous cell skin cancer

Skin Cancer Risk in Immunosuppressed Patients

Education, prevention strategies and monitoring serves this at-risk group

esophageal plaques

Esophageal Plaques and Systemic Sclerosis

Treatment for scleroderma can sometimes cause esophageal symptoms

Lupus clinic

Coordinated Care, Education and Research

Lupus Clinic providers collaborate to advance treatment and understanding

Psoriatic arthritis

Psoriatic Arthritis: Unlocking the Age Factor

Older Psoriasis Patients May Experience Quicker Transition

Mixed connective tissue disease rash

A Little Bit of Everything: Mixed Connective Tissue Disease

Cleveland Clinic’s Rheumatic Lung Disease program treats patients with complex conditions

Skin lesions

Case Study: Joint Pain, Angioedema, Confusing Rash

Symptoms complement one another

Virtual coaching

Boosting Mental Health Access for Patients with Psoriatic Disease

E-coaching program is tailored for those with the disease

Ad