Locations:
Search IconSearch

Images of Note: Pott’s Puffy Tumor

Uncommon presentation with preseptal and nasal swelling

16-eye-2531-potts-cqd-inset-2

A 77-year-old female with a history of chronic sinusitis presented with left periorbital pain for five days. The patient showed preseptal and left nasal swelling upon examination (Image A). She was given oral antibiotics to combat the cellulitis.

Advertisement

Cleveland Clinic is a non-profit academic medical center. Advertising on our site helps support our mission. We do not endorse non-Cleveland Clinic products or services. Policy

16-eye-2531-potts-cqd-inset-1

Imate A: Cellulitis in medial canthal region

Despite compliance with these antibiotics, the patient’s condition did not improve. Instead, she saw a dramatic increase in swelling five days after she started oral antibiotics (Image B).

16-eye-2531-potts-cqd-650x450

Image B: Frontal sinus abscess

Julian Perry, MD, staff ophthalmologist at Cole Eye Institute, explained, “This patient presented with this uncommon entity in our outpatient service. Externally, it looked like acute dacryocystitis. However, the slightly anterior nature of the abscess increased our suspicion for a process arising from the frontal sinus.”

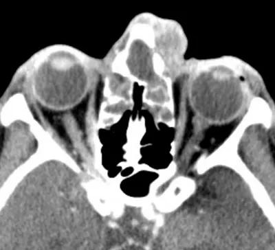
16-eye-2531-potts-cqd-inset-2

Image C: CT showing dense opacification of frontal sinus with anterior table erosion.

A CT scan was ordered.

CT imaging revealed a destructive infection within the frontal sinus, causing some erosion of the anterior table. The abscess extended along the inferior portion of the frontal sinus (Image C). Pott’s puffy tumor typically manifests with swelling on the forehead associated with the frontal sinusitis and subperiosteal abscess. However, the patient’s symptoms and the CT imaging confirmed Dr. Perry’s theory that she had a rare presentation of Pott’s puffy tumor.

The patient’s symptoms were resolved with the combination of endoscopic treatment and extended intravenous antibiotics.

These images originally appeared in: Ganapathy P, Chundry R, Perry JD. Pott’s puffy tumor: a rare presentation. Ophthal Plast Reconstr Surg. 2016 Aug 16. [Epub ahead of print]. Reproduced with permission from Wolters Kluwer.

Advertisement

Related Articles

OCT scan showing dry AMD

Autoimmune Disease Linked With Higher Risk of Macular Degeneration

Early data shows risk is 73% higher in patients with lupus, 40% higher in patients with rheumatoid arthritis

Target with areas marked in different colors: blue, green and yellow

Motion-Tracking Brillouin Microscopy Detects Keratoconus Before It’s Clinically Evident

Identifies weak spots in the cornea before shape change occurs

Closeup of an eye looking at a needle preparing to inject medication into the eyeball

Measuring the Impact of Ongoing Aflibercept Treatment in Diabetic Retinopathy

Study highlights the value of quantitative ultra-widefield angiography

Eye doctor looking into a man's eye

Faricimab Improves Results for Most Patients on Prior Therapy for nAMD

Switching medications may decrease treatment burden and macular fluid

23-EYE-4215262-CQD-Thyroid-eye-disease-tips-general-ophth-hero

Managing Thyroid Eye Disease: Insights for General Ophthalmologists

Interventions abound for active and stable phases of TED

23-EYE-4310740-CQD-Cataract-surgery-following-refractive-mv

How to Optimize Outcomes for Patients Having Cataract Surgery After Refractive Surgery

Corneal imaging and interpretation play a major role

The Featured Image for the post
November 14, 2023/Ophthalmology/News & Insight

The Art of Ophthalmic Imaging

Cole Eye Institute imaging specialists are equal parts technician, artist and diagnostician

23-EYE-4284060-CQD-Myopia-progression-children

Use Caution When Treating Myopia in Children With Intermittent Exotropia

Effect of low-dose atropine and dual-focus contact lenses is unknown in patients with comorbid eye conditions

Ad