Locations:
Search IconSearch

Image of Note: Septal Wall Subtleties in a Young Athlete

Echo findings in young athletes are not always what they seem

Septal Wall Subtleties in a Young Athlete

By Dermot Phelan, MD, PhD

Advertisement

Cleveland Clinic is a non-profit academic medical center. Advertising on our site helps support our mission. We do not endorse non-Cleveland Clinic products or services. Policy

A white male high school basketball player undergoes an ECG and echocardiogram after presenting with atypical chest pain. Although the ECG is unremarkable, he is disqualified from competitive sports because of concern for hypertrophic cardiomyopathy (HCM) after the echo reveals septal wall thickness of 1.5 cm. He has no family history of HCM.

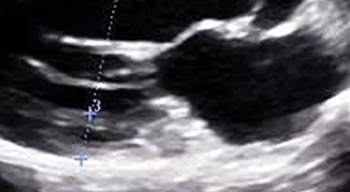
He comes to Cleveland Clinic’s Sports Cardiology Center for a second opinion. The septal wall measurements are confirmed on echocardiogram (left image below). While up to 18 percent of African-American athletes have septal wall thickness greater than 12 mm, this finding is unusual in a white athlete. However, diastolic function and longitudinal strain are normal (see systolic strain profile at bottom of post).

Series of three echo and MRI images from page 3 of Summer Cardiac Consult

He performs well on a metabolic stress test (VO2 max is 64.3 mL/kg/min), and MRI reveals no scar and a normal mitral valve apparatus. Close evaluation of the MRI reveals that the septal measurement from long-axis view was overestimated due to a tangential cut through the septum and inclusion of right ventricular trabeculation (middle image above). The true septal measurement is determined to be 11 mm (right image above). The collective findings are believed to be related to “athlete’s heart,” and the patient is allowed to return to play.

Systolic strain bull’s eye profile

The patient’s systolic strain profile.

For more on athlete’s heart, see this companion Consult QD post .

Advertisement

Related Articles

19-HRT-6507 Vitals-650×450

Rani duplicate post Check Out These Outcomes

A sampling of outcome and volume data from our Heart & Vascular Institute

illustration of the human heart focused on the left atrial appendage

Takeaways From Updated STS Guidelines for Surgical Treatment of Atrial Fibrillation

Concomitant AF ablation and LAA occlusion strongly endorsed during elective heart surgery

illustration of a figure-of-8 stitch for aortic valve repair

Figure-of-8, Hitch-Up Stitch Is Safe and Durable in Bicuspid Aortic Valve Repair

Large retrospective study supports its addition to BAV repair toolbox at expert centers

histology image of lung tissue showing spread through air spaces (STAS)

Lung Cancer Study Links Preoperative Factors With Spread Through Air Spaces

Young age, solid tumor, high uptake on PET and KRAS mutation signal risk, suggest need for lobectomy

x-ray of bone fracture in a forearm

TRAVERSE Substudy Links Testosterone Therapy to Increased Fracture Risk in Older Men With Hypogonadism

Surprise findings argue for caution about testosterone use in men at risk for fracture

echocardiogram showing severe aortic regurgitation

Early Referral for Enlarged Roots Critical to Prevent Residual AR After Aortic Root Replacement With Valve Reimplantation

Residual AR related to severe preoperative AR increases risk of progression, need for reoperation

photo of intubated elderly woman in hospital bed

Proteomic Study Characterizes Markers of Frailty in Cardiovascular Disease and Their Links to Outcomes

Findings support emphasis on markers of frailty related to, but not dependent on, age

3D transesophageal echocardiographic images

New Leaflet Modification Technique Curbs LVOT Obstruction Risk in Valve-in-Valve TMVR

Provides option for patients previously deemed anatomically unsuitable

Ad