Locations:
Search IconSearch
December 16, 2014/Neurosciences

Hydrocephalus: Can We Help the Brain Adapt to a Chronic Squeeze?

A closer look at how function is preserved

690×380-Hydrocephalus

By Mark Luciano, MD, PhD, FACS, and Abhishek Deshpande, MD, PhD

Advertisement

Cleveland Clinic is a non-profit academic medical center. Advertising on our site helps support our mission. We do not endorse non-Cleveland Clinic products or services. Policy

What happens to a child’s brain when it is compressed by expanding ventricles? It is well understood that when anything enlarges relatively quickly in the closed skull, whether a tumor or growing ventricles, pressure rises and blood flow to the brain is threatened. At the same time, masses like the cerebral ventricles also may enlarge more slowly and the brain may anatomically and functionally accommodate to some extent.

In chronic hydrocephalus, dramatic thinning of the cortex may be observed, but it is accompanied by a surprisingly high level of cognitive function. This raises a series of questions:

  • What is compressed or missing in that thinned cortical mantle?
  • How is function preserved?
  • Can we learn how to help the brain cope even better with the compression of chronic hydrocephalus or any other chronic deforming force?

At Cleveland Clinic Children’s Center for Pediatric Neurology and Neurosurgery, we have been actively working to address those questions for more than a decade.

A surprising finding from our early work

We began by asking what specifically is compressed when the brain is squeezed by expanding ventricles. Previous work by others had indicated that the low-pressure vessels, such as capillaries and venules, were the most vulnerable and that neurons themselves would be resistant to the compression. In our first studies, we indeed also found reduced vascularity and, specifically, a reduced density of capillaries in the early weeks of hydrocephalus development.1 This reinforced a general hypothesis that hydrocephalus disrupted neuronal function in part by decreasing cerebral blood flow.

Advertisement

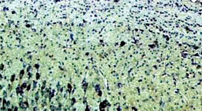
However, our longer-term findings, after 12 weeks of hydrocephalus, were a surprise: There was a dramatic two- to threefold increase in capillary density that suggested the creation of new vessels, or angiogenesis. Could new blood vessel growth in chronic hydrocephalus (Figure 1) be an adaptive response to a state of low blood flow and relative hypoxia?

Figure 1. Photomicrographs showing increased blood vessel density in the canine hippocampus with chronic hydrocephalus (left) relative to a surgical control (right). DG = dentate gyrus; gcl = granule cell layer.  Reprinted from Neuroscience (Dombrowski et al4), ©2008 Elsevier BV.

Figure 1. Photomicrographs showing increased blood vessel density in the canine hippocampus with chronic hydrocephalus (left) relative to a surgical control (right). DG = dentate gyrus; gcl = granule cell layer. Reprinted from Neuroscience (Dombrowski et al4), ©2008 Elsevier BV.

More findings suggestive of angiogenesis

Subsequent studies further suggested an angiogenic response to chronic hydrocephalus. Hypoxia, an established trigger for angiogenesis, was observed. CSF oxygen saturation was lower in chronic hydrocephalus, improved with shunting and decreased again with shunt removal.2 Receptors for vasoactive endothelial growth factor (VEGF), a promoter of angiogenesis, increase in the hydrocephalic hippocampus and caudate (Figure 2)3,4 and decrease with shunting. Finally, VEGF levels are measurable in human and animal CSF and are elevated in hydrocephalus.5 In many but not all cases, increased VEGF receptor densities correlated with increased density of capillaries.

Figure 2. Photomicrographs showing increased expression of the VEGFR-2+ receptor in the hippocampal CA2/3 region in canine chronic hydrocephalus (left) relative to surgical control (right). Reprinted from Neuroscience (Dombrowski et al4), ©2008 Elsevier BV.

Figure 2. Photomicrographs showing increased expression of the VEGFR-2+ receptor in the hippocampal CA2/3 region in canine chronic hydrocephalus (left) relative to surgical control (right). Reprinted from Neuroscience (Dombrowski et al4), ©2008 Elsevier BV.

Advertisement

Remaining questions center on the role of VEGF changes

Although the story emerging is consistent with an adaptive angiogenic response to chronic hydrocephalus, the role of VEGF increases and angiogenesis is still unknown. The effects of VEGF on blood vessel permeability and tissue edema also have been suggested to play a pathophysiologic role in fluid accumulation. VEGF may indeed be increasing capillary density in some situations, but whether this translates into more blood flow to tissue is uncertain. Other known effects of VEGF, such as neuroprotection, also may be pivotal in any attempt to mitigate the injury of hydrocephalus. This is especially intriguing in view of the observation of increased VEGF receptors on neurons in the hydrocephalus-affected hippocampus.4

To explore the role of VEGF changes in hydrocephalus, current studies focus on the net effect of blocking VEGF systems in experimentally induced hydrocephalus with an eye toward answering the following:

  • Does VEGF stimulation in chronic hydrocephalus result in an adaptive response?
  • Can we use this physiologic response as an avenue to improve function in children or adults with chronic ventriculomegaly?

These questions underlie the vision that will guide this research in the coming years — a vision we look forward to helping carry out.

About the Authors

Dr. Luciano is a pediatric neurosurgeon in the Center for Pediatric Neurology and Neurosurgery. He can be reached at 216.444.5747 or lucianm@ccf.org.

Dr. Deshpande, a neuroscience researcher in the Department of Neurological Surgery, is the recipient of a Young Investigator Development Grant from the Hydrocephalus Association for the study of angiogenesis in hydrocephalus. He is participating in a pilot study to block VEGF in hydrocephalus. He can be reached at deshpaa2@ccf.org.

Advertisement

References

1. Luciano MG, Skarupa DJ, Booth AM, et al. Cerebrovascular adaptation in chronic hydrocephalus. J Cereb Blood Flow Metab. 2001;21(3):285-294.

2. Fukuhara T, Luciano MG, Brant CL, Klauscie J. Effects of ventriculoperitoneal shunt removal on cerebral oxygenation and brain compliance in chronic obstructive hydrocephalus. J Neurosurg. 2001;94(4):573-581.

3. Deshpande A, Dombroski SM, Leichliter A, et al. Dissociation between vascular endothelial growth factor receptor-2 and blood vessel density in the caudate nucleus after chronic hydrocephalus. J Cereb Blood Flow Metab. 2009;29(11):1806-1815.

4. Dombrowski SM, Deshpande A, Dingwall C, Leichliter A, Leibson Z, Luciano MG. Chronic hydrocephalus-induced hypoxia: increased expression of VEGFR-2+ and blood vessel density in hippocampus. Neuroscience. 2008;152(2):346-359.

5. Yang J, Dombrowski SM, Deshpande A, Krajcir N, Luciano MG. VEGF/VEGFR-2 changes in frontal cortex, choroid plexus, and CSF after chronic obstructive hydrocephalus. J Neurol Sci. 2010;296(1-2):39-46.

Advertisement

Related Articles

photo of a man sleeping at a desk, with a podcast icon overlay
March 15, 2024/Neurosciences/Podcast
Diagnosis and Management of Idiopathic Hypersomnia (Podcast)

Testing options and therapies are expanding for this poorly understood sleep disorder

illustration of an alzheimer brain and a packet of sildenafil pills
March 11, 2024/Neurosciences/Research
Sildenafil as an Alzheimer’s Candidate Drug: Further Support From Insurance Database and Mechanistic Studies

Real-world claims data and tissue culture studies set the stage for randomized clinical testing

brain scan showing perimesencephalic subarachnoid hemorrhage
Study Supports Less-Strict Monitoring for Nonaneurysmal Perimesencephalic SAH Without Hydrocephalus

Digital subtraction angiography remains central to assessment of ‘benign’ PMSAH

illustrated brain with the letters "AI" on a computer circuit board
As AI Tools Emerge, Be Proactive and Engaged to Shape Their Development

Cleveland Clinic neuromuscular specialist shares insights on AI in his field and beyond

histology image of a gray matter lesion in a multiple sclerosis brain
Study Suggests Protective Role for Microglia at Borders of Gray Matter Lesions in Progressive MS

Findings challenge dogma that microglia are exclusively destructive regardless of location in brain

series of digital-looking brain icons with a podcast button overlay on top
March 1, 2024/Neurosciences/Podcast
Harnessing the Power of AI in Medicine (Podcast)

Neurology is especially well positioned for opportunities to enhance clinical care and medical training

illustration of a neuron affected by multiple sclerosis
Clinical Trials in Progressive MS: An Assessment of Advances and Remaining Challenges

New review distills insights from studies over the past decade

photo of woman looking anxious on a couch
February 22, 2024/Neurosciences/Neuromuscular
Success of POTS Treatment Reduced by Concurrent Anxiety

Guidance from an expert on distinguishing — and co-managing — the disorders

Ad